自考题库
首页
所有科目
自考历年真题
考试分类
关于本站
游客
账号设置
退出登录
注册
登录
出自:CT医师
静脉尿路造影时,如在膀胱内见一充盈缺损,应考虑的疾病是()。
A:前列腺肥大
B:膀胱结石
C:输尿管囊肿
D:膀胱肿瘤
E:以上都是
腮腺良性混合瘤的CT特点错误的是()。
A:肿瘤较大时可压迫、推移邻近软组织
B:等密度或稍高密度肿块影
C:不均匀强化
D:可呈分叶状
E:周边强化伴中心坏死提示恶变可能
下列哪一项不符合慢性胆囊炎的CT表现:()
A:胆囊缩小
B:胆囊腔内气液平面
C:胆囊壁增厚
D:胆囊壁钙化
E:常合并结石
下列哪项是影响体素的主要因素:()
A:深度、厚度
B:矩阵尺寸、扫描野
C:厚度、矩阵尺寸
D:深度、扫描野
E:深度、矩阵尺寸、扫描野
35岁男性,右眼痛2个月。CT示有泪腺增大,边缘模糊,眶壁骨质正常,增强扫描示泪腺轻度增强,最可能的诊断是()。
A:泪腺混合瘤
B:泪腺型炎性假瘤
C:格雷夫斯肩(Grave病)
D:泪腺癌
E:泪腺血管瘤
关于鼻咽癌CT表现的描述,下列说法不对的是()。
A:好发于鼻咽隐窝和顶壁
B:早期可表现为鼻咽侧壁平坦、僵直、咽隐窝消失
C:常伴囊变或钙化
D:在注射对比剂后,肿瘤呈轻度强化
E:对骨的侵犯可为单纯性骨破坏、骨质硬化或两者兼有
下列疾病中碱性磷酸酶明显升高的是()。
A:软骨肉瘤
B:骨纤维异常增殖症
C:甲状旁腺功能亢进
D:骨囊肿合并病理性骨折
E:畸形性骨炎
腰椎侧隐窝解剖结构组成包括:()
A:前:椎间盘;外:椎弓根;后:黄韧带;内:硬膜囊
B:前:椎体后缘;外:椎弓根;后:黄韧带;内:神经根袖
C:前:椎间盘与椎体后缘;外:椎弓根;后:上关节突;内:硬膜囊
D:前:椎间盘与椎体后缘;外:椎间孔;后:上关节突;内:神经根袖
E:前:椎间盘与椎体后缘;外:椎间孔;后:黄韧带;内:硬膜囊
IVP的简称是()。
A:膀胱造影
B:腹部平片
C:逆行性肾盂造影
D:静脉性尿路造影
E:尿道造影
下列哪项是原发性肺结核最典型X线征象()。
A:哑铃状双极征
B:肺内浸润阴影
C:纵隔淋巴结肿大
D:NIT淋巴结肿大
E:胸腔积液
关于神经母细胞瘤的描述哪项是错误的()。
A:好发于成年人
B:生长快
C:常有出血坏死和钙化
D:MRI易把肿瘤与肾脏分开
E:MRI易判断肿瘤是否侵入椎管
正常子宫的影像学表现描述不当的是:()
A:子宫颈外缘光滑,与周围分界清,直径小于30mm
B:增强扫描宫颈明显强化,可分出浆膜层、肌层和内膜层
C:MRIT2加权像显示正常宫颈粘膜呈高信号,肌层呈中等信号,之间的连接带呈介于二者之间信号
D:平扫CT提供信息量小,软组织之间缺乏层次
E:检查子宫病变方面MRI优于CT
患者男性,58岁,右颈部肿块3个月,CT示右咽隐窝和耳咽管闭塞。局部有软组织密度肿块,颈部淋巴结肿大,诊断可能为()。
A:鼻咽癌
B:纤维血管瘤
C:腺样体增生
D:神经血管瘤
E:结核
有关结节病描述,错误的是()。
A:淋巴结可呈蛋壳样钙化
B:肿大淋巴结不压迫周围血管
C:纵隔淋巴结肿大而肺门淋巴结不大者多见
D:肺门淋巴结对称性肿大
E:激素治疗效果好
男,36岁,1周前出现全身发热、头痛、乏力,经过对症治疗病情好转,随后再次出现头痛,伴有恶心、呕吐,急到医院检查,MRI检查如图,最可韶的诊断为()。
A:星形细胞瘤
B:转移瘤
C:脑脓肿
D:脑梗死
E:脑内血肿
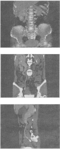
女,42岁,反复右下腹痛1个月,CT检查如图所示,下列诊断正确的是()。
A:右侧输尿管上段结石,其上方输尿管扩张积水
B:右侧输尿管中段结石,其上方输尿管扩张积水
C:右侧输尿管下段结石,其上方输尿管扩张积水
D:右侧输尿管下段结核,其上方输尿管扩张积水
E:右侧输尿管下段炎性狭窄,其上方输尿管扩张积水
下列关于血管母细胞瘤的叙述,哪一项错误?()
A:CT增强扫描可表现为“印戒征”
B:绝大多数发生于后颅凹
C:囊壁上常有一壁结节
D:肿瘤多为囊性,少数为实质性
E:实质性肿瘤增强后呈不均匀性强化
正常男性盆腔结构的描述
不正确
的是:()
A:正常前列腺中偶见钙化斑
B:耻骨联合下缘切面腹股沟浅淋巴结正常直径不大于10mm
C:耻骨联合上缘切面盆腔中线从前往后为前列腺,膀胱和直肠
D:膀胱壁厚度不超过3mm
E:膀胱精囊角为锐角
腕部外伤,临床检查鼻烟窝部肿胀及疼痛,应考虑()。
A:大多角骨骨折
B:舟骨骨折
C:三角骨骨折
D:月骨骨折
E:桡骨远端骨折
纵隔及肺门淋巴结测量多大属于可疑病变:()
A:11~14mm
B:5~8mm
C:15~20mm
D:20~25mm
E:15~25mm
下列哪一项不是卵巢癌腹腔种植的常见部位:()
A:子宫直肠窝
B:右下腹部肠系膜根部的下端
C:左下腹部乙状结肠系膜的上缘
D:盲肠和升结肠外侧的结肠旁沟
E:左侧膈下
肺叶外型肺隔离症的供血动脉来自:()
A:门静脉
B:奇静脉
C:升主动脉
D:腹主动脉
E:降主动脉
大叶性肺炎的病理改变分期,顺序正确的是()。
A:红色肝样变期、灰色肝样变期、充血期、消散期
B:红色肝样变期、充血期、灰色肝样变期、消散期
C:灰色肝样变期、红色肝样变期、充血期、消散期
D:充血期、红色肝样变期、灰色肝样变期、消散期
E:灰色肝样变期、充血期、红色肝样变期、消散期
下列所述哪项与大量心包积液X线征象不符()。
A:卧位透视时见心底阴影增宽
B:心脏普遍增大,心缘各弧消失
C:多数患者见明显肺淤血改变
D:心脏搏动减弱或消失
E:心影大小短期内可明湿改变
患者女,71岁,咳嗽,咳痰,胸部隐痛2个月余,结合影像学检查,最可能的诊断是()。
A:肺癌
B:肺结核
C:肺错构瘤
D:结节病
E:肺转移瘤
多层螺旋CT是指下述哪一项:()
A:可同时重建多个层面图像的CT设备
B:可同时采集多个层面数据的CT设备
C:可同时显示多个层面影像的CT设备
D:可同时存储多个层面影像数据的CT设备
E:可同时处理多个层面影像数据的CT设备
患者,女,22岁,心悸、气短,X线平片示:双肺纹理多,透光差,双肺门大,搏动减弱,食管心房段受压移位,心前间隙变小,最可能的诊断是()。
A:房间隔缺损
B:室间隔缺损
C:动脉导管未闭
D:法洛四联症
E:风湿性心脏病二尖瓣狭窄
下列哪项不是脂肪肝的CT表现()。
A:肝脏密度降低
B:重症可呈负值
C:肝脏密度低于脾脏
D:肝内血管密度相对增高而清楚显示
E:增强扫描可见血管变形或移位
呈速升速降型时间-密度曲线的病灶,或者动脉期呈高密度,门静脉期呈低密度的病灶,除肝细胞性肝癌外,还可见于:()
A:肝血管瘤
B:单发转移瘤
C:胆管细胞性肝癌
D:炎性假瘤
E:肝脓肿
哪项是最容易损伤脊髓的外伤?()
A:下腰椎骨折,骨折碎片进入椎管
B:横突孔骨折伴附件骨折
C:胸椎骨折伴肋骨骨折
D:椎体压缩性骨折伴横突骨折
E:胸椎附件骨折,骨折碎片进入椎管
首页
<上一页
81
82
83
84
85
下一页>
尾页