自考题库
首页
所有科目
自考历年真题
考试分类
关于本站
游客
账号设置
退出登录
注册
登录
出自:放射医学主治医师
肾脊角正常为()
A:5°~10°
B:10~15°
C:15°~20°
D:15°~25°
E:20°~30°
肝内肿块MRITWI呈低信号,TWI为稍高信号,首先考虑()
A:肝转移瘤
B:原发性肝细胞癌
C:肝海绵状血管瘤
D:肝硬化再生结节
E:肝囊肿
关于子宫输卵管造影的目的,错误的是()
A:了解输卵管的形态、粗细及长度
B:了解子宫形态
C:诊断输卵管阻塞
D:诊断子宫位置形态、发育状态和紧张程度
E:确定是否妊娠
脑膜瘤患者行栓塞治疗后头皮痛,可能是由于以下哪支动脉被栓塞所致()
A:耳后动脉
B:腭升动脉
C:咬肌动脉
D:颊动脉
E:颞浅动脉
脊髓空洞症最确切的辅助诊断方法是()
A:脊柱X线平片
B:脊髓造影
C:延迟脊髓CT扫描
D:脊髓MRI
E:腰穿及脑脊液检查
不锈钢制成,属永久性、中央性栓塞物,主要闭塞大口径或主干血管的栓塞物是()
A:异丁基-2-氰丙烯酸盐
B:可脱离性球囊
C:钢圈
D:鱼肝油酸钠
E:碘化油
形态不规则,密度不均匀,位于肾皮质内核()
A:肾结石
B:胆结石
C:肠系膜淋巴结钙化
D:肾结核钙化
E:膀胱结
膀胱输尿管反流,仅见于下列哪种检查()
A:逆行性尿路造影
B:排泄性尿路造影
C:CT尿路造影
D:MR尿路造影
E:以上都可出现
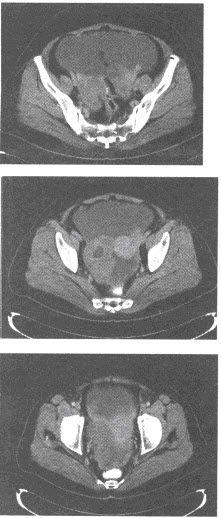
女,53岁,盆腔肿块,伴消瘦乏力,根据所提供的CT图像:
第1题,共2个问题
(单选题)具有确诊意义的检查是()
A:B超检查
B:MRI检查
C:腹水中找到瘤细胞
D:红细胞沉降率明显增高
E:以上均不是
第2题,共2个问题
(单选题)最可能的诊断是()
A:卵巢囊肿
B:卵巢畸胎瘤
C:卵巢浆液性囊腺癌
D:子宫肌瘤
E:卵巢浆液性囊腺瘤
动脉瘤样骨囊肿的描述错误的是()
A:常有外伤史
B:病变部位可闻及血管杂音
C:长骨和脊柱是好发部位
D:病灶边缘可见钙化
E:发生在青少年的长骨病变常位于骨干
放疗和化疗后脊椎MRI的特点或表现是()
A:T
1
值变长
B:T
2
值变短
C:红髓增加
D:黄髓增加
E:黄髓减少
肾结核肾内广泛播散的病理学基础是()
A:血行播散
B:病变位于肾皮质
C:病变位于肾髓质
D:经淋巴管蔓延
E:肾乳头侵蚀形成空洞
食管造影通常可见到下列压迹,除了()
A:主动脉弓压迹
B:左支气管压迹
C:降主动脉压迹
D:左心室压迹
E:左心房压迹
关于单纯性骨囊肿,
不正确
的是()
A:好发于长骨,以肱骨上端最多见
B:边界清楚圆形、卵圆形透亮区
C:病变长轴方向与骨干一致
D:常合并病理骨折
E:常无硬化边
原发性醛固酮增多症最常见于()
A:双侧肾上腺皮质腺瘤
B:单侧肾上腺皮质腺瘤
C:肾上腺癌
D:双侧肾上腺结节增生
E:单侧肾上腺结节增生
扩张型心肌病的CT表现为()
A:左心室呈气球样扩张
B:不伴心肌肥厚
C:心室收缩功能正常
D:可见附壁血栓呈高密度影
E:以上都不对
关于睾丸精原细胞瘤,下列说法
不正确
的是()
A:睾丸最常见的肿瘤
B:睾丸肿大,轮廓光滑
C:MRI表现为T
1
WI等信号、T
2
WI高信号
D:较大者有局灶性纤维化、出血或坏死
E:可伴鞘膜积液、淋巴结转移
老年患者,右眼视力下降半年。CT示眼环局限性增厚,玻璃体腔后一密度均匀的等密度肿块,增强后呈中等均匀强化,最可能的是()
A:血管瘤
B:眶内炎性假瘤
C:眼型Graves病
D:脉络膜黑色素瘤
E:海绵状血管瘤
新月样空气征见于()
A:肺曲霉菌病
B:肺脓肿
C:农民肺
D:肺泡蛋白沉积症
E:肺类风湿性病
患者,男,75岁。头痛3个月,并左侧肢体肌力减低,逐渐加重。CT示右额顶叶有一3.5cm×4.0cm混杂密度,中线右移,增强扫描示不规则花环样强化,其最大可能的诊断是()
A:脑膜瘤
B:转移瘤
C:星形细胞瘤
D:少突胶质细胞瘤
E:胶质母细胞瘤
患者,女性,50岁,右股骨下端疼痛2个月余,近期加重,右股骨下端外侧触及软组织肿块。膝关节CT图像如下,右股骨下端病变考虑为何种疾病可能性大()
A:软骨肉瘤
B:骨肉瘤
C:骨髓炎
D:骨软骨瘤
E:软骨瘤
软组织内钙化或骨化的常见原因
不包括
()
A:出血
B:坏死
C:脂肪瘤
D:结核
E:寄生虫
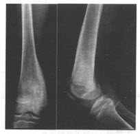
患儿,男,16岁。因右下肢酸痛、行走后加重2个月入院;查体:右股骨下端软组织稍肿,干骺端轻压痛。无全身症状,实验室血尿常规检查无异常发现。
第1题,共3个问题
(单选题)为了进一步诊断,你认为首先需要做哪些检查()
A:X线平片
B:CT
C:MRI
D:放射性核素扫描
E:B超检查
F:血沉
第2题,共3个问题
(单选题)患者左股骨中下段正侧位平片如图,你认为最可能的诊断是什么()
A:慢性骨髓炎
B:疲劳骨折
C:内生软骨瘤
D:骨结核
E:骨母细胞瘤
F:骨样骨瘤
第3题,共3个问题
(多选题)下列哪几项符合该种疾病的诊断()
A:发病年龄多小于30岁
B:患骨疼痛为主
C:疼痛夜间加重
D:起病较快,病程较短
E:多发生于长管状骨
F:服用水杨酸性药物可缓解疼痛
后颅凹CT扫描的基线取()
A:听眦线
B:听眶线
C:听眼线10°
D:听眶线20°
E:听眉线25°
患者,头痛3年。CT示小脑蚓部有一3.0cm×3.5cm高密度影,明显增强。四脑室受压变窄、前移,第三脑室及双侧侧脑室扩大,最可能的诊断为()
A:脑膜瘤
B:髓母细胞瘤
C:脉络丛乳头状瘤
D:血管网状细胞瘤
E:结核
介入治疗中,血管内给予尿激酶的意义是()
A:扩血管
B:抗肿瘤
C:缩血管、止血
D:溶栓
E:降低血液黏度
麦氏(Magenide)孔梗阻引起的脑室扩张是()
A:侧脑室、三脑室、四脑室
B:侧脑室、三脑室、四脑室
C:侧脑室、三脑室、四脑室、导水管
D:侧脑室、三脑室、四脑室、五脑室、六脑室
E:三脑室、五脑室、六脑室
有助于诊断结节性硬化的CT表现是()
A:脑室扩大伴钙化
B:脑表浅部钙化
C:豆状核钙化
D:脑底钙化
E:室管膜下结节样钙化
右肺中叶不张的X线表现为()
A:右肺水平裂外侧部上移
B:侧位呈底向前胸壁、尖指向肺门的三角形阴影
C:正位片底向膈面、尖指向肺门的三角形影
D:纵隔向健侧移位
E:斜裂向前上方移位
人体对X线衰减的叙述,错误的是()
A:骨组织对X线衰减最大
B:空气对X线衰减最小
C:不同组织结构对X线衰减形成影像对比
D:骨对X线衰减相当于铅
E:密度高,X线衰减大
首页
<上一页
80
81
82
83
84
下一页>
尾页