自考题库
首页
所有科目
自考历年真题
考试分类
关于本站
游客
账号设置
退出登录
注册
登录
出自:消化内科学高级职称
胃癌最常见的症状是()。
A:食欲不振
B:恶心、呕吐
C:上腹痛
D:消瘦
E:发热
下列疾病好发部位描述中错误的是( )
A:自身免疫性胃炎——胃体部
B:胃溃疡——胃角和胃窦小弯
C:十二指肠溃疡——十二指肠起始部
D:慢性浅表性胃炎——胃窦部
E:肠结核——回盲部
女,30岁,有Crohn病史5年。近日突然出现剧烈腹痛,伴恶心、呕吐胃内容物,发热,3天未排大便。其原因可能是( )
A:Crohn病复发
B:并发肠梗阻
C:并发癌变
D:瘘管形成
E:发生急性阑尾炎
下列哪一项消化酶在急性胰腺炎并发休克中所起作用最大( )
A:磷脂酶a
B:激肽释放酶
C:弹力蛋白酶
D:脂肪酶
E:淀粉酶
大肠癌好发部位为( )
A:回盲部
B:升结肠
C:直肠
D:乙状结肠
E:降结肠
对原发性肝癌最有协助诊断意义的血清标志物是( )
A:碱性磷酸酶
B:甲胎蛋白
C:γ—谷氨酰转肽酶
D:放射性核素肝扫描
E:异常凝血酶原
营养物吸收不良时,临床表现为粪便量多、色淡,不伴腹胀的是()。
A:脂肪
B:糖
C:蛋白质
D:维生素
E:矿物质
原发性肝癌终末期并发症通常是()。
A:上消化道出血
B:败血症
C:肝癌结节破裂出血
D:肺部感染
E:肝性脑病
GIST的治疗要点有()。
A:争取手术彻底切除或姑息切除原发灶
B:对复发转移不能切除的肿瘤,首选甲磺酸伊马替尼治疗
C:常规放、化疗几乎无效
D:体积较小的GIST不需要手术切除
E:完整彻底切除GIST肿瘤后,不会发生转移和复发
女,30岁,间断上腹痛4年,今日腹痛变为胀痛,出现呕吐,量大,呕叶物为宿食。查体上腹部有振水音,转动体位,症状不能缓解。最可能的诊断是()。
A:肠系膜上动脉综合征
B:胃黏膜脱垂
C:消化溃疡合并幽门梗阻
D:胃癌
E:胃下垂
下列哪项不是原发性胆汁性肝硬化的诊断依据()。
A:血清抗线粒体抗体阳性
B:血清胆红素中度增高,以间接胆红素增高为主
C:有显著皮肤瘙痒、肝大
D:IgM明显增高
E:中年以上女性
急性化脓性腹膜炎主要致死原因中哪一项是
不正确
的( )
A:弥漫性腹膜炎
B:严重水及电解质紊乱
C:中毒性休克
D:局限性腹膜炎
E:麻痹性肠梗阻
夜间上腹痛和背部放射痛突出( )
左侧卧位上腹痛可缓解( )
A:促胃液素瘤
B:胃粘膜脱垂
C:十二指肠球后溃疡
D:胃癌
E:慢性胃炎
下列病例应首选上述哪种治疗方法:
第1题,共1个问题
(配伍题)
肝硬化并发肝性昏迷,血气分析偏碱( )
肝硬化并发上消化道出血以黑粪为主( )
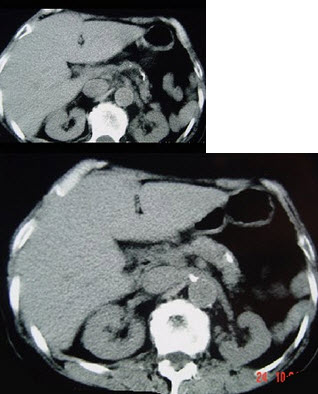
女,54岁,中上腹痛,体重减轻,消化不良,脂肪痢、便量多、泡沫状。影像检查如下图,最佳诊断是( )
A:急性胰腺炎
B:慢性胰腺炎
C:胰腺癌
D:急性出血坏死性胰腺炎
E:胰岛素瘤
男,32岁,慢性肝病6年,每日饮啤酒二瓶已10余年,近1月以来腹胀尿少。化验示ALT80U,HBsAg(+)、HBeAg(+)、HBV-DNA(+),血清胆红素正常,B超示少量腹水。 在上述情况下须尽快做出诊断,哪项检查最确切( )
A:WBC+DC
B:血培养
C:尿常规+培养
D:腹部平片
E:腹水生化常规+培养
慢性活动性肝炎的临床表现有( )
A:病程超过半年
B:腹胀、肝区痛
C:伴关节炎、慢性肾炎
D:肝功能持续异常
E:常有进行性脾大
消化性溃疡慢性穿孔多见于()。
A:胃前壁溃疡
B:胃后壁溃疡
C:球前壁溃疡
D:球后壁溃疡
E:球后溃疡
下述病例最可能的诊断为:
第1题,共1个问题
(配伍题)
有胆囊结石病多年,晚餐后突然上腹部疼痛,阵发加剧,向肩背放射,血清、尿淀粉酶明显升高( )
有胆管结石病多年,突发上腹部疼痛,伴寒战、高热、黄疸及血压下降,烦躁不安,Murphy征(-)( )
有胆管结石病多年,突发上腹阵发性胀痛,伴腹胀,呕吐,血压,血清钙下降,血清,尿淀粉酶正常,可见脐周蓝色改变(Cullen征)( )
下列哪一项不是肠易激综合征的表现()。
A:消瘦
B:失眠
C:便秘
D:腹胀
E:腹泻
女性,38岁,反复上腹痛伴反酸10多年,近来疼痛加剧,服抗酸药等不能缓解。近1周来上腹痛伴呕吐,呕吐有隔夜宿食明确诊断,上述病例需采取的措施是()。
A:腹部B超
B:上消化道气锁双重造影
C:立即行内镜检查
D:胃肠减压后内镜检查
E:腹部CT
嗜酸细胞性胃肠炎的治疗正确的是()。
A:青霉素为首选药物
B:首选手术治疗
C:手术预后较好
D:柳氮磺吡啶为首选治疗药物
E:激素治疗仍为标准治疗方法
女性,20岁,自幼有轻伤后出血不止,伴有关节肿痛,反复鼻出血、牙龈出血1年余,常见皮肤黏膜出血点,自诉月经量过多。首选的治疗措施为()。
A:输血小板悬液
B:输注凝血因子
C:应用免疫抑制剂
D:应用免疫球蛋白
E:大剂量维生素C
上消化道大出血表现为呕血还是便血,取决于( )
A:出血部位
B:出血速度
C:出血量
D:出血时间
E:出血量与贫血是否成比例
乳果糖呼吸氢试验阳性可能提示()。
A:肠道通过加快
B:肠道通过变慢
C:结肠细菌过度生长
D:小肠细菌过度生长
E:直肠细菌过度生长
男,32岁,上腹痛4年,多出现于餐后3小时,进食后可缓解伴反酸,近半个月反复呕吐,吐物为隔宿食。其最可能的诊断是( )
A:胃癌
B:胃溃疡伴幽门梗阻
C:十二指肠溃疡活动期
D:十二指肠溃疡伴幽门梗阻
E:复合性溃疡
患者女,33岁。主因腹痛、右下腹包块、低热、便秘1年入院。3年前有肺结核病史,服药治疗半年。查体:T37.8℃,P90次/min,R28次/min,Bp100/60mmHg。消瘦,贫血貌,浅表淋巴结未肿大。Hb65g/L,ALB30g/L,肝功能正常。2次骨髓穿刺检查均提示:小细胞低色素性贫血。患者胸部X线片示右上肺空洞型肺结核,下腹部CT示回肠末端及回盲部肠壁增厚伴肠系膜根部多发淋巴结肿大。结肠镜示“回盲部溃疡”。给予抗感染治疗无效。
第1题,共3个问题
(多选题)为明确诊断,最需要进一步检查的项目包括()。
A:腹部CT
B:X线钡餐透视
C:腹部X线平片
D:CEA、CA19-9、AFP
E:胸部X线平片
F:逆行胰胆管造影
第2题,共3个问题
(多选题)根据病史,考虑可能的诊断有()。
A:肠结核
B:回盲部淋巴瘤
C:克罗恩病
D:梅毒
E:白塞病
F:细菌性痢疾
第3题,共3个问题
(单选题)考虑该患者最可能的诊断是()。
A:肺结核并肠结核
B:回盲部淋巴瘤
C:克罗恩病
D:梅毒
E:白塞病
F:细菌性痢疾
Zollinger-Ellison综合征的发生与下列胃肠激素分泌过多有关的是()。
A:胰岛素
B:胰高血糖素
C:胆囊收缩素
D:促胰酶素
E:胃泌素
下列哪一项是肝硬化最为常见的死亡原因()。
A:肝性脑病
B:感染
C:原发性肝癌
D:功能性肾衰竭
E:上消化道出血
食管的癌前病变是()。
A:食管炎
B:食管憩室
C:食管狭窄
D:Barrett食管
E:贲门失弛
首页
<上一页
79
80
81
82
83
下一页>
尾页