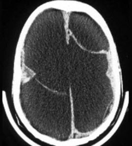
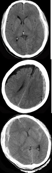
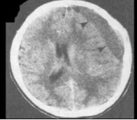
九个月男孩,头明显增大,前囟大而且鼓出,头下垂,双眼有落日征,头部叩诊有破壶音。四肢活动少,双侧Babinski征阴性,体温正常。
第1题,共3个问题
(单选题)最必要的检查是( )
A:X线头颅平片
B:脑电图
C:头颅MRI、CT
D:脑脊液
E:血清胆红素
第2题,共3个问题
(单选题)根据CT表现可能的诊断( ) 
A:先天性脑积水
B:脑性瘫痪
C:颅底凹陷症
D:Litter病
E:胆红素脑病(核黄疸)
第3题,共3个问题
(单选题)有效的症状治疗是( )
A:脑室心房分流术
B:10%甘露醇
C:地塞米松
D:苯海索(安坦)
E:换血