出自:放射医学主治医师

肝内胆管扩张而肝外胆管正常,说明胆道梗阻部位在()
A:肝门部阻塞
B:胆囊管开口下方
C:胆总管下端
D:胆总管中段
E:壶腹部
患者,男,23岁。低热,右胸刺痛,活动后气促,胸片上显示:右下肺野大片致密阴影,上缘呈反抛物线状,该侧肋膈角消失,横膈被掩盖,可能的诊断为()
A:右下肺大叶性肺炎
B:右下肺不张
C:右侧结核性胸膜炎
D:右下肺脓肿
E:右下肺积液
关于胰腺炎错误的是()
A:急性胰腺炎病理改变为胰腺水肿、出血和坏死
B:急性胰腺炎包括急性水肿型和出血坏死型
C:急性胰腺炎常表现为上腹部疼痛,常放射到胸背部,发热和恶心、呕吐
D:慢性胰腺炎在国内多与长期饮酒和营养不良有关
E:慢性胰腺炎常有假性囊肿形成,可有钙化
慢性化脓性涎腺炎表现不包括()
A:腺体明显增大
B:密度增高
C:边界模糊
D:腺体周围结构层次模糊
E:液平面提示脓肿
关于膀胱癌的CT表现,错误的是()
A:突入膀胱腔内的结节肿物
B:肿瘤可以是单发,也可是多发
C:肿瘤可以是带蒂生长
D:肿瘤累及黏膜下层和肌层表现为膀胱壁增厚
E:可区别肿瘤限于黏膜内或侵入黏膜下层
MRI示T1WI信号与子宫肌相似,T2WI呈明显低信号()
A:子宫肌瘤
B:子宫先天畸形
C:畸胎瘤
D:子宫内膜癌
E:卵巢囊腺瘤
下叶肺不张的X线表现描述中哪一项是错误的()
A:在斜位或曝光不足的X线片不显示
B:上叶出现代偿性肺气肿
C:侧位X线片示无气肺叶向后移位
D:肺门向下移
E:正位片上呈底向膈面、高尖指向肺门的三角形阴影
房间隔缺损多发生于()
A:卵圆窝
B:冠状窦口
C:腔静脉窦
D:主动脉隆突
E:室上嵴
心脏有一结构叫卵圆窝,在什么解剖结构上()
A:在左房的左心耳上
B:在房间隔上
C:在肺动脉上
D:在主动脉上
E:在室间隔上
男,61岁,无痛性血尿1个月余,加重3天。患者应首先选择做哪些检查()
A:US
B:CT
C:ECT
D:MRI
E:IVP
F:DSA
骨结核的X线征象()
A:项圈征
B:棕色瘤
C:砂粒状死骨
D:大块死骨
E:Schmorl结节
关于胃的解剖的认识下列哪项是对的()
A:胃可分为胃贲门部、胃底、胃体、胃幽门部四部分
B:成人胃容量约1500ml
C:胃贲门与食管相连,胃幽门与十二指肠相接
D:溃疡病多发器官
E:以上都对
中耳乳突炎最常见的类型是()
A:浆液性
B:化脓性
C:结核性
D:渗出性
E:以上均不是
对脂肪组织抑制具有可靠特异性的是()
A:脂肪饱和法
B:STIR技术
C:化学位移技术
D:Dixon法
E:以上都不是
无需对比剂可进行血管成像的检查有()
A:DSA
B:CT
C:CE-MRA
D:CTA
E:PC法MRA
患者,男,28岁。右肩关节肿痛2个月余、局部软组织肿胀,皮温不高,有轻压痛,关节活动受限。需要采集哪些重要的临床和实验室检查资料()
A:血尿常规
B:体温
C:血沉
D:既往有无肺结核等病史
E:胸片检查结果
F:结核菌素试验

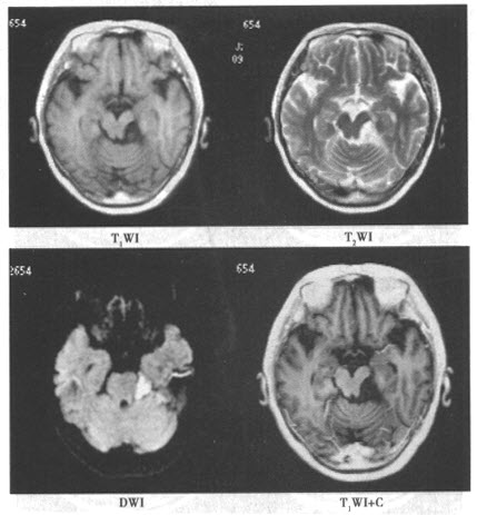
患者,女,28岁。因左侧面部疼痛1年余入院,影像学检查如下图。



第1题,共4个问题
(单选题)该患者最有可能的诊断是()
A:表皮样囊肿
B:脑膜瘤
C:三叉神经鞘瘤
D:蛛网膜囊肿
E:听神经鞘瘤
F:胶质瘤

第2题,共4个问题
(单选题)对该病最具有诊断价值的是()
A:跨颅中、后窝生长
B:内听道扩大
C:钻孔样生长
D:脑膜尾征
E:穿凿样生长
F:以上都不是

第3题,共4个问题
(多选题)对诊断本病具有帮助的影像学征象是()
A:病变形态不规则,呈匍匐形生长
B:沿三叉神经走行生长
C:DWI呈明显高信号
D:与脑脊液信号一致
E:增强扫描未见强化
F:以上都不是

第4题,共4个问题
(多选题)关于该病,以下说法正确的是()
A:根据其发病部位,可分为硬膜内型和硬膜外型,其中硬膜内型约占90%
B:可分为先天性和获得性两种
C:多为囊性,少数为实质性
D:与皮样囊肿相比,表皮样囊肿内含有其他皮肤附件,如毛囊、汗腺、皮脂腺等
E:增强扫描多数不强化,偶尔见囊壁环形强化
F:以上都不是
以下哪种肿瘤易形成肿瘤软骨()
A:骨纤维瘤
B:溶骨型骨肉瘤
C:骨巨细胞瘤
D:骨瘤
E:骨软骨瘤
患者,男,62岁,有无痛性血尿;X线平片可见肾轮廓局限性外凸;尿路造影见肾盏拉长、狭窄和受压变形,下组肾盏边缘不规则,并有不规则充盈缺损出现。

第1题,共4个问题
(单选题)最可能是下列哪一种疾病()
A:肾盂癌
B:肾结核
C:肾母细胞瘤
D:肾癌
E:肾血管平滑肌脂肪瘤

第2题,共4个问题
(单选题)该患者进一步检查首选()
A:B型超声
B:逆行性输尿管造影
C:肾图
D:肾穿刺活检
E:CT

第3题,共4个问题
(单选题)当病变进展形成肾盏、肾盂多发空洞时,下列哪项检查最佳()
A:B超
B:CT
C:X线
D:IVP
E:逆行性尿路造影

第4题,共4个问题
(单选题)该患者的诊断首先考虑为()
A:肾肿瘤
B:肾结石
C:胆囊结石
D:肾结核
E:肠道粪块
关于溃疡性结肠炎的影像表现,错误的是()
A:急性期肠管痉挛激惹呈"线样征"
B:急性期充盈时肠壁边缘呈锯齿状,排空后见小刺状溃疡,溃疡较大时呈T形或领扣状
C:亚急性期黏膜呈颗粒状、息肉状;肠袋变形,肠管僵硬
D:慢性期肠管变短,肠袋消失,肠腔变细,可有回流性肠炎改变,可见结肠扩张
E:30%可发生癌变
下列属于左冠状动脉分支的是()
A:右缘支
B:心室支
C:后降支
D:旋支
E:房室结支
肾上腺皮质腺癌的CT特点是()
A:肿瘤位于肾上腺单侧,小于2cm,低密度网格状,CT值-35~28HU
B:肿瘤位于肾上腺单侧,大于2cm,低密度均匀肿块,CT值35~50HU
C:肿瘤位于肾上腺,单侧多见,直径2~20cm,中央坏死,少数伴钙化,强化显著
D:肿瘤位于肾上腺单侧,体积大,密度不均多伴钙化,侵犯邻近结构
E:肿瘤位于肾上腺单侧,无症状,体积大以脂肪密度为主,CT值-80~-120HU

患者,男,60岁。剧烈咳嗽,持续痰中带血2个月。患者2个月前无诱因出现剧烈咳嗽,痰中带血。近来偶有低热。体重无明显变化。曾口服抗生素,效果不佳。吸烟35年,25支/天。查体:生命体征正常,慢性病容,浅表淋巴结未及肿大。双肺叩诊清音,未闻及啰音。心腹未见异常。可见杵状指。



第1题,共3个问题
(单选题)分析上述病例,你认为最可能的诊断是()。
A:肺结核
B:支气管肺炎
C:肺脓肿
D:支气管扩张
E:肺癌

第2题,共3个问题
(单选题)在下列检查中,最具有确诊意义的检查是()
A:CT
B:痰脱落细胞学检查
C:纤维支气管镜检查
D:MRI
E:胸部平片

第3题,共3个问题
(单选题)此病例CT表现可为()
A:可见空泡征,边缘毛糙、细小毛刺征,分叶征也多见
B:两肺多发或单发大小不等结节或肿块,边缘清楚
C:位置表浅的肺内结节灶,瘤体内有斑点状或爆米花状钙化
D:两肺多发或单发的球形病灶,其周围见刺状突起及与胸膜的条索影
E:肺内见大小结节影,支气管血管束扭曲、聚拢或变形,支气管扩张等
膝关节正中矢状面上的结构不包括()
A:髌骨
B:髌下脂体
C:半月板
D:交叉韧带
E:髁内隆起
以下选项不属于细胞周期特异性药物的是()
A:氟尿嘧啶
B:长春新碱
C:甲氨蝶呤
D:亚硝脲类
E:顺氨氯铂
飞跃时间(TOF)法MRA显示血管的主要机理为()
A:使用了特殊的表面线圈
B:使用了特殊的射频脉冲
C:使用了较长的TR
D:流动血液和相位变化
E:流入扫描层面的未饱和血液受到激发
下列哪种疾病属于原发性心肌病()
A:心肌炎
B:心肌梗死
C:克山病
D:缺血性心肌病
E:高血压性心肌病
室壁瘤的CT征象有()
A:局部心室壁增厚,并见反向运动
B:局部心室壁变薄,并见反向运动
C:室壁向内凹陷,无反向运动
D:室壁向外膨隆,无反向运动
E:室壁变薄,无反向运动
急性化脓性骨髓炎的骨膜下脓肿多形成于()
A:3天以内
B:3~5天
C:5~7天
D:8~10天
E:14天以后
胃的形态可分为()
A:牛角型
B:钩型
C:瀑布型
D:长钩型
E:以上都是