自考题库
首页
所有科目
自考历年真题
考试分类
关于本站
游客
账号设置
退出登录
注册
登录
出自:耳鼻咽喉科住院医师
面瘫患者Schirmer流泪试验阳性,提示面神经病变在()。
A:膝状神经节及以上
B:镫骨肌支以上
C:镫骨肌支与鼓索神经之间
D:鼓索神经分支以下
E:面神经鼓室段
致阻塞性睡眠呼吸暂停低通气综合征(OSAHS)的有关的因素是()。
A:上呼吸道狭窄
B:肥胖
C:内分泌紊乱
D:咽肌麻痹
E:以上都是
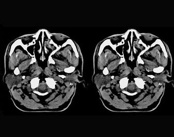
男,61岁,流鼻血三天。如图所示最可能的诊断为()。
A:鼻咽淋巴滤泡增生
B:鼻咽腺样体增生
C:鼻咽纤维血管瘤
D:小唾液腺瘤
E:鼻咽部息肉
肠内营养给予的方式有:按时分次给予,(),()。
声门旁间隙的内界()。
A:弹力圆锥
B:梨状窝内壁粘膜
C:甲状软骨翼板前部内膜
D:会厌前间隙
E:喉弹性膜上部
下列哪种情况较少出现口渴的症状()。
A:同时失水和失盐
B:大脑皮质功能紊乱
C:血浆血管紧张素增高
D:失血
E:细胞外液渗透浓度增高
言语障碍分为言语缺陷和语音缺陷,前者包括()。
A:学语滞迟
B:发声困难
C:言语困难
D:构音困难
E:失语症
低钾血症指血清钾离子浓度低于()。
A:2mmol/L
B:3mmol/L
C:4mmol/L
D:5mmol/L
E:6mmol/L
慢性化脓性中耳炎,鼓膜穿孔边缘有一部分已达鼓沟,该处无残余鼓膜,称为()。
A:中央性穿孔
B:紧张部穿孔
C:边缘性穿孔
D:松弛部穿孔
E:以上都不是
心室颤动电除颤应首选直流电()。
A:150J非同步除颤
B:200~300J同步除颤
C:200~360J非同步除颤
D:360J同步除颤
E:360J非同步除颤
鼻中隔小穿孔直径应小于()。
A:1mm
B:2mm
C:5mm
D:1cm
E:2cm
支配腭帆张肌的神经是()。
A:眼神经
B:上颌神经
C:下颌神经
D:迷走神经
E:舌咽神经
能发出不同频率的闪光照在声带上,用于观察声带运动,能发现其他检查还无法观察到的声带黏膜病变,还可用于鉴别声带麻痹与环杓关节固定()。
A:间接喉镜
B:电子喉镜
C:直接喉镜
D:动态喉镜
E:纤维喉镜
如患者言语含糊不清,讲话缓慢,词句结构均正常时应诊断为()。
A:学语滞迟
B:发声困难
C:言语困难
D:构音困难
E:失语症
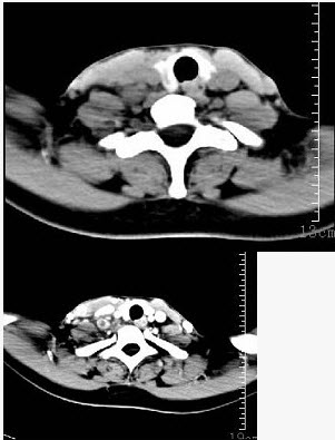
女性35岁,发热、盗汗近3个月,颈部摸到多个结节,CT扫描如图所示,请选择最可能的诊断()。
A:神经鞘瘤
B:结节病
C:淋巴转移癌
D:淋巴结核
E:淋巴瘤
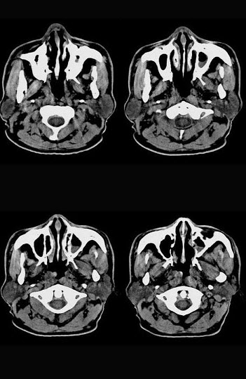
女,14岁,渐进性鼻塞2年余,右眼肿痛数月,CT如图所示,应诊断为()。
A:筛骨骨肉瘤
B:筛骨骨纤维瘤
C:筛骨软骨瘤
D:筛骨结核
E:筛骨骨化性纤维瘤
过多分离气管前软组织可引起()。
A:皮下气肿
B:纵隔气肿
C:气胸
D:出血
E:拔管困难
发现新生儿鼻腔内有表面光滑的肿物,首选()。
A:穿刺
B:取病理
C:局部用血管收缩剂
D:CT扫描
E:上述都不是
镫骨肌收缩()。
A:增加鼓膜张力
B:调节鼓室气压
C:减少鼓膜张力
D:减少内耳压力
E:增加内耳压力
鼻窦黏液囊肿形成的原因有()。
A:鼻窦自然开口完全阻塞后致窦内分泌物潴留而逐渐形成的
B:由迷走神经的上皮细胞发展而来
C:粘膜内黏液腺阻塞,腺体分泌物潴留而逐渐形成
D:胚胎期球状突和上颌突融合部残留
E:长期的炎症刺激
鼻-鼻旁窦恶性肿瘤属T3期病变是因侵犯了()。
A:面颊部皮肤
B:上颌窦后壁
C:眶底
D:前组筛窦
E:筛板
眶骨壁骨炎和骨膜炎的治疗主要是()。
A:切开引流、全身抗炎、促进鼻窦通气引流,后期行鼻窦手术
B:积极治疗急性鼻窦炎
C:即早施行筛窦和蝶窦开放术,全身应用抗生素、糖皮质激素
D:及早施行视神经减压术
E:药物治疗
肝功能损害引起的鼻出血的原因()。
A:凝血障碍
B:小血管损伤
C:破坏造血系统
D:内源性凝血酶原减少
E:外源性凝血酶原减少
1992年6月13日世界麻醉学会联合会通过的国际麻醉安全标准中,麻醉中的监测应包括()。
A:肌松(神经刺激器监测)
B:呼吸与氧合(SPO
2
、ETCO
2
)
C:循环(BP、HR、ECG)
D:体温
E:麻醉深度(吸入麻药的吸入与呼出浓度)
第一、二鳃弓未正常融合可致()。
A:甲状舌管囊肿及瘘
B:第一鳃裂囊肿及瘘
C:第二鳃裂囊肿及瘘
D:第三鳃裂囊肿及瘘
E:气管颈瘘
蜂窝织炎后期(脓肿已形成)应行()。
A:抗炎治疗
B:抗结核治疗
C:抗病毒治疗
D:手术治疗
E:免疫治疗
击出性骨折时引起眼球陷没的原因是()。
A:眼球陷入上颌窦
B:眶内脂肪进入上颌窦中
C:眶腔容积增大
D:眶内脂肪坏死
E:眼外肌病理性缩短
声音嘶哑明显,喉镜检查见一侧声带居于中间位()。
A:单侧不完全性喉返神经麻痹
B:单侧完全性喉返神经麻痹
C:双侧不完全性喉返神经麻痹
D:双侧完全性喉返神经麻痹
E:混合型喉麻痹
可能为甲状舌管囊肿的是()。
A:肿块进行性增大,质地硬,无压痛,与周围组织粘连,活动度差
B:肿块增大迅速,伴有周围组织肿胀、疼痛
C:无痛性肿块,病史在2年以上,质地中等,与周围组织不粘连
D:位于颈前正中,圆形,质软呈囊性,与周围组织无粘连,可随吞咽而活动
E:颈部串珠样包块,压痛轻,可活动,晚期可形成经久不愈的窦道
心包积液()。
A:左室扩大,流出道增宽,室间隔及左室后壁运动减弱
B:室间隔非对称性肥厚,舒张期室间隔厚度与左室后壁之比≥3:1
C:心前壁之前和心后壁之后有液性暗区
D:瓣叶有赘生物及瓣叶穿孔
E:舒张期二尖瓣前叶呈圆拱状,后叶活动度减弱,交界处融合,瓣叶增厚和瓣口面积减小
首页
<上一页
78
79
80
81
82
下一页>
尾页