出自:内分泌学高级职称

下列哪项对诊断妊娠甲亢无帮助( )
A:血中T3、T4升高
B:血FT3,FT4升高
C:体重不随妊娠月数增加
D:休息时脉率大于100次/分
E:四肢近端肌肉消瘦
患者,女,56岁。近2d出现口周麻木、手足抽搐如助产士手,曾有一过性的神志丧失。该患者的实验室检查不会出现下列何种情况()。
A:Chevostek征与Trousseau征阳性
B:肾功能正常
C:血钙低、血磷高、尿钙排出增加、尿磷排出减少
D:头颅CT示转移性钙化
E:心电图可见QT间期延长,T波低平,传导阻滞
1aron侏儒症血浆GH水平严重降低。
男性,48岁,胸骨后甲状腺肿伴甲亢,应该如何治疗( )
A:放射性I治疗
B:抗甲状腺药物
C:甲状腺次全切除术
D:碘剂
E:普萘洛尔
发生甲状腺功能亢进时,血循环甲状腺激素水平升高,下列哪些检查最灵敏( )
A:TT3
B:FT3
C:TT4
D:FT4
E:甲状腺(131)I摄取率
患者,男性,56岁,糖尿病肾病(尿毒症期),突发脑出血2小时,血钾6.50mmol/L,此时应采用哪些措施较为恰当()。
A:10%葡萄糖酸钙静推
B:立即进行血液透析
C:5%-10%的葡萄糖加6-12U胰岛素静滴,促进钾向细胞内转移
D:应用利尿剂
E:低分子钙皮下注射
Turner综合征促身高生长的药物是()。
A:HCG
B:生长激素
C:垂体后叶素
D:雌激素
E:孕激素
下列哪一项不是考核甲亢疗效的指标( )
A:甲状腺吸碘率
B:基础代谢率
C:休息时心率
D:T3、T4水平
E:TSH水平
1型糖尿病中的一个亚型是免疫介导的。其主要证据是( )
A:HLA-DQ、DGB、DR位点的某些等位基因频率增高或减少
B:体液中存往针对胰岛B细胞的抗体
C:伴随其他自身免疫疾病
D:酮症酸中毒倾向
E:起病急,青少年多见

某患者以肥胖就诊,血压160/95mmHg,空腹血糖6.9mmol/L。



第1题,共4个问题
(单选题)如为10岁患儿接诊时应特别注意( )
A:询问生长发育状况和测量身高
B:询问胎儿期发育及出生体重
C:测量外生殖器大小
D:肥胖症和糖尿病家族史
E:寻找皮肤紫纹

第2题,共4个问题
(单选题)如为老年患者,伴剧烈呛咳则应考虑( )
A:高血压病合并肺部感染
B:糖尿病合并肺部感染
C:糖尿病、肺癌
D:肺癌、异位内分泌综合征
E:高血压病、支气管扩张

第3题,共4个问题
(单选题)若为35岁女性,询问病史时最应注意的是( )
A:是否使用糖皮质激素
B:是否使用利尿剂
C:月经情况及是否长期使用避孕药
D:饮食和体力活动史
E:肥胖症和糖尿病家族史

第4题,共4个问题
(单选题)下列各项化验结果中提示应行垂体MRI检查的是( )
A:OGTT有两点异常
B:尿24小时游离皮质醇升高
C:血中皮质醇昼夜节律紊乱
D:皮质醇水平升高,不被小、大剂量地塞米松抑制
E:皮质醇水平升高,不被小剂量地塞米松抑制
在病史与体格检查方面,需要排除GHD的有()。
A:新生儿低血糖,新生儿黄疸期延长
B:有偏食者
C:头部外伤或中枢神经系统感染
D:有家族史和(或)有一位家庭成员是现患者
E:中线颅面畸形
鉴别尿崩症与精神性多饮、多尿的试验是( )
诊断嗜铬细胞瘤有意义的试验是( )
诊断原发性甲状旁腺功能亢进症有意义的试验是( )
诊断胰岛素瘤有意义的试验是( )
A:高渗盐水试验
B:螺内酯试验
C:饥饿试验
D:酚妥拉明试验
E:肾小管磷再吸收试验
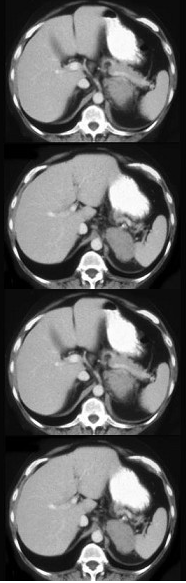
女,47岁,满月脸、向心性肥胖伴高血压1个月,请结合所提供图像,作出诊断( )
A:左肾上腺腺瘤
B:左肾上腺腺癌
C:左肾上腺转移瘤
D:左肾上腺嗜铬细胞瘤
E:左肾上腺增生
甲亢患者适合手术治疗的有( )
A:疑及癌变
B:甲状腺大,伴压迫症状
C:中、重度甲亢,药物治疗无效或复发及不愿长期药物治疗
D:结节性、胸骨后甲状腺肿伴甲亢
E:以上都是
患者女,51岁,因“甲状腺肿大10年,发热1周”来诊。查体:T37.5~38.0℃;咽充血,甲状腺Ⅱ度肿大,表面不平,结节感,质地中等,触痛(+),杂音(-);HR心率85次/min。可能的诊断是()。
A:Graves病
B:慢性淋巴细胞性甲状腺炎
C:亚急性甲状腺炎
D:单纯性甲状腺肿
E:上呼吸道感染
原发性醛固酮增多症临床表现不包括()。
A:多饮、多尿
B:水肿
C:低血钾
D:高血压
E:手足搐搦
Addison病病人,女性32岁,以往常用泼尼松替代治疗,近2个月午后低热,消瘦,胸片正常,血沉50mm/h,ASO250IU/L,RF(-)。

第1题,共4个问题
(单选题)下列哪种治疗最合适的()。
A:加抗痨治疗
B:加免疫抑制剂
C:加芬必得
D:普通抗生素
E:以上都合适

第2题,共4个问题
(单选题)在可能应用的下列哪种药物时,应增加激素替代量,以防止发生Addison危象()。
A:先锋Ⅳ号
B:雷公藤
C:芬必得
D:利福平
E:乙胺丁醇

第3题,共4个问题
(单选题)应考虑其他哪种情况()。
A:结核病,非活动期
B:合并风湿热
C:活动性结核
D:合并类风湿
E:以上都不是

第4题,共4个问题
(单选题)提示:患者出现恶心、血压降低,有脱水表现,化验提示低血糖、低血钠提问:考虑是什么情况()。
A:肾上腺危象
B:甲状腺危象
C:低血糖症
D:药物反应
E:Cushing综合症
某患者以肥胖就诊,血压160/95mmHg,空腹血糖6.9mmol/L。如为10岁患儿接诊时应特别注意()。
A:询问生长发育状况和测量身高
B:询问胎儿期发育及出生体重
C:测量外生殖器大小
D:肥胖症和糖尿病家族史
E:寻找皮肤紫纹
使甲状腺131I率测定结果升高的药物()。
A:土霉素
B:甲苯磺丁脲
C:避孕药
D:甲亢平
E:心得安
产后甲状腺炎患者在妊娠前和妊娠中常有甲状腺功能异常病史。
酮体包括_____、_____和_______。
MEN-2型中关于甲状腺髓样癌,哪项不正确( )
A:起源于甲状腺滤泡旁细胞
B:可分泌多种激素和生物活性物质
C:血清降钙素值明显降低
D:有明显的家族史
E:手术是首选的方法
垂体性甲亢主要是哪一种激素原发性升高( )
A:TRH
B:TSH
C:FT3、FT4
D:rT3
E:以上都不是
关于胰高血糖素瘤的早期诊断线索,叙述正确的有()。
A:糖尿病
B:精神抑郁
C:NME
D:口唇炎、舌炎经氨基酸治疗后症状缓解
E:无原因可查的血管栓塞
小剂量地塞米松抑制试验
中年男性,皮质醇增多症患者。实验室检查:血浆ACTH↑,血、尿皮质醇↑,小剂量及大剂量地塞米松抑制试验不能被抑制。病因诊断考虑( )
A:Cushing病
B:肾上腺皮质腺瘤
C:肾上腺皮质癌
D:异位ACTH综合征
E:长期大量使用糖皮质激素
中年男性,肥胖,“三多”症状不明显,空腹血糖6.0mmol/L,餐后2小时血糖9.2mmol/L,尿糖(-),治疗首选( )
A:中药制剂
B:注射胰岛素
C:口服降血糖药
D:体育锻炼
E:饮食控制+体育锻炼
多尿、多饮、多食和体重减轻症状是诊断糖尿病的主要依据。
病历摘要:患者,女性,36岁,因“易饥多食伴消瘦2月”来诊,2月前患者无明显诱因出现易饥多食,伴体重下降,这2个月来体重减轻10kg,无明显的口渴、多饮、多尿、烦躁、易怒、心悸、发热、咳嗽、胸闷。如果患者身高160cm,体重75kg,空腹血糖8.3mmol/L,早餐后2小时血糖11.9mmol/L,尿微量白蛋白排泄率为15ug/min,眼底荧光造影提示有微血管瘤,出血并有软性渗出,下列哪种(或哪几种)治疗方案可以考虑选用?()
A:单用饮食治疗
B:单用运动治疗
C:联用饮食和运动治疗
D:在饮食运动的基础上单用磺脲类药物
E:在饮食运动的基础上单用双胍类药物
F:在饮食运动的基础上单用噻唑烷二酮类药物
下列哪项是诊断妊娠期甲亢的指标()。
A:血清THHG
B:血清FT4、FT3和TRH
C:血清TT4和TT3
D:血清HCG
E:血清TBG