出自:消化内科学高级职称

下列哪种疾病可见胃泌素增高( )
A:十二指肠球部溃疡
B:慢性胰腺炎
C:浅表性胃炎
D:萎缩性胃体胃炎
E:萎缩性胃窦胃炎
克罗恩病的最常见症状是___________;最常见的并发症是___________。
可引起上消化道出血的十二指肠疾病有()。
A:十二指肠异位胰腺
B:十二指肠球炎
C:十二指肠溃疡
D:十二指肠憩室炎
E:十二指肠壅积症
男,17岁,近10天来食欲不振、恶心、呕吐,伴乏力、尿黄来医院就诊。病前2周曾注射过丙种球蛋白1支。检查:巩膜黄染,肝肋下1.0cm,有轻度触痛,脾肋下未触及。化验:肝功ALT980U/L,AST560U/L、TBil:116.5μmol/L,anti-HAV-IgM阳性,HBsAg阳性,anti-HBe阳性,anti-HBc阳性。其母亲发现为HBV携带者。应诊断为( )
A: 急性乙型肝炎,甲型肝炎病毒携带者
B:急性甲型肝炎,慢性乙型肝炎
C:急性甲型肝炎、急性乙型肝炎
D:被动获得甲型肝炎抗体,急性甲型肝炎,乙型肝炎病毒携带
E:被动获得甲型肝炎抗体,急性乙型肝炎
危险度较高的腺瘤进展为浸润性癌的风险高,危险度不高的腺瘤是()。
A:管状腺瘤伴轻度不典型增生
B:直径1cm的绒毛状腺瘤
C:直径1cm且重度不典型增生的平坦型腺瘤
D:直径2cm且重度不典型增生的管状绒毛状腺瘤
E:直径2cm且重度不典型增生的锯齿状腺瘤
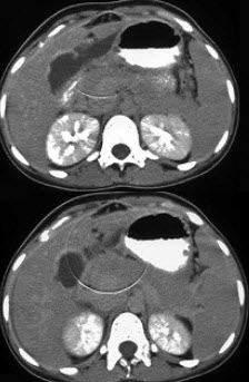
女,45岁,急性右上腹剧痛2小时,向右肩放射,影像检查如图,应诊断为( )
A:急性胆囊炎
B:慢性胆囊炎
C:胆囊穿孔
D:胆囊腺肌增生症
E:胆道梗阻
下面哪项表现最能提示为消化性溃疡()。
A:上腹部饱胀不适
B:上腹疼痛呈节律性
C:柏油样便
D:嗳气、反酸明显
E:上腹部压痛
和肝性脑病程度平行的检查指标是( )
A:血氨水平
B:血γ-氨基丁酸水平
C:Child评分
D:血清清蛋白水平
E:血锰水平
原发性胆汁性肝硬化患者中哪项是错误的( )
A:以中年妇女为多见
B:起病隐匿缓慢
C:可并发夜盲症,骨质疏松,出血倾向
D:谷丙转氨酶持续维持在正常值的4倍以上
E:常伴肝脏肿大
患者女,28岁,妊娠6个月,独自夜宵(蒸蛋羹)后30min上腹痛,恶心,不伴吐泻,无不洁饮食史,来院急诊。查体:T37℃,P80次/min,R14次/min,Bp110/70mmHg。步入诊室,全身皮肤、黏膜无黄染及淤点。双肺呼吸音正常,未闻及干、湿啰音,心率80次/min,律齐,无杂音。下腹膨隆,上腹软,轻度压痛,无反跳痛,肝、脾不大,肠鸣音存在。首选的处理方法是()。(提示:胸、上腹部CT证实为膈疝,左下肺明显不张,纵隔右移。此刻,胎心不正常,无阴道流血,宫缩无异常。)
A:请胸外科急会诊
B:请胃肠外科急会诊
C:请产科急会诊
D:请呼吸内科急会诊
E:急转ICU
肝硬化患者有出血倾向,与下列因素关系最小的是()。
A:肝合成凝血因子减少
B:低白蛋白血症
C:毛细血管脆性增加
D:脾功能亢进
E:胃肠道黏膜炎症糜烂
有关一过性1ES松弛哪种说法不对( )
A:仅见于胃食管反流病患者
B:是影响胃食管反流的重要因素
C:是非吞咽情况下1ES自发性松弛
D:持续时间长于吞咽时1ES松弛
E:是1ES静息压正常的胃食管反流病(GERD)患者的主要发病机制
TIPS(经颈静脉肝内门体分流术)
慢性胆囊炎
自身免疫性肝炎的特征性病理学改变是()。
A:小胆管增生
B:可见Mallory小体
C:界面性肝炎、浆细胞浸润、玫瑰花结
D:汇管区淋巴滤泡形成、胆管损伤、小叶内肝细胞脂肪变性
E:肝细胞内铁颗粒沉积
病例摘要:患者,女性,45岁。因上腹部持续剧烈疼痛20小时入院,活动时疼痛加重,坐位及胸膝位减轻。既往有胆石症病史。体检:T39.5℃,P130次/分,BP12/7kPa(90/52.5mmHg)。巩膜微黄。轻度腹胀,腹软,上腹部明显压痛,肠鸣音减弱。墨菲征阳性。应给予此患者哪些治疗()。
A:禁食
B:胃肠减压
C:肌注阿托品
D:静滴甲氰咪胍
E:吸氧
F:输液
45岁,男性,明显厌食,胃胀满一个月,结膜苍白,上腹部有轻度压痛,肝大肋下1.0cm,脾未触及。胃肠钡餐检查未发现异常。应首选下列哪项检查( )
A:血常规,网织红细胞
B:骨髓穿刺检查
C:腹部肝脾B型超声检查
D:血清胃泌素测定
E:纤维胃镜检查

男,27岁,酗酒后突起上腹剧痛,伴恶心呕吐腹胀,并出现手足抽搦。查体:体温39℃,血压9.3/6.7kPa(70/50mmHg),神志清楚;心率126次/分,律齐,无杂音;腹稍隆,全腹鼓音为主,肠鸣音减弱。



第1题,共2个问题
(单选题)该病人首要的治疗原则是( )
A:抑制胰酶活性
B:补充血容量
C:抗生素治疗
D:抑制胰液分泌
E:镇痛解痉

第2题,共2个问题
(单选题)上述病例应首选的检查方法以明确诊断的是( )
A:血清脂肪酶
B:血尿淀粉酶
C:血清正铁血白蛋白
D:血清K+、Na+、、Cl-、、Ca2+
E:肝功能全套及肾功能
关于食管下段括约肌(LES)的结构与功能,下面哪些说法是不正确的()。
A:正常人LES长3~4cm
B:LES的作用是防止胃内容物反流入食管
C:腹内压升高,胃内压升高可导致LES压力降低
D:一过性LES松弛不发生于正常人
E:正常人休息时LES压为10~30mmHg
胰腺癌最常用的根治手术是()。
A:Whipple手术
B:PTCD
C:ERCP
D:放置支架
E:胆肠吻合
肝性脑病患者昏迷期一般不会出现
A:脑电图异常
B:各种反射消失
C:肌张力降低
D:扑翼震颤
E:抽搐
血浆和血小板内的P选择素含量增高不会见于()。
A:巨血小板综合征
B:肝硬化
C:急性心肌梗死
D:脑血栓
E:自身免疫性疾病
急性糜烂出血性胃炎的常见原因为精神因素
上消化道大出血是指数小时出血量达到()。
A:大于500ml
B:大于1000ml
C:大于1250ml
D:大于1500ml
E:大于2000ml
与原发性肝癌发病最密切的因素是()。
A:肝硬化
B:病毒性肝炎
C:黄曲霉毒素
D:饮用水污染
E:寄生虫
女性患者,60岁。进行性吞咽困难3个月,食管钡剂检查示食管中段有4cm长不规则充盈缺损,最佳治疗方案是()。
A:手术切除
B:全量放射治疗
C:免疫治疗
D:单纯化学治疗
E:中医治疗
肠梗阻的分类。
肝硬化病人因腹泻发生昏迷。查:血钾2.6mmol/L,血钠136mmol/L,血氯化物110mmol/L,血氨146.7μmol/L,血pH7.40。此时宜选用的药物是( )
A:乳果糖
B:谷氨酸钾
C:盐酸精氨酸
D:谷氨酸钠
E:左旋多巴
肝硬化病人蜘蛛痣、肝掌及男性乳房发育等体征产生的原因是( )
A:门脉高压症
B:肝功能不全
C:低蛋白症
D:继发性醛固酮增多
E:垂体性腺功能紊乱
男性,40岁。反复饥饿时中上腹部隐痛10年,伴反酸、嗳气,进食和服制酸剂可缓解,今晨中上腹剧痛后全腹疼痛持续存在。该患者最可能患下列哪一种疾病()。
A:急性胰腺炎
B:胰腺癌
C:胃癌
D:消化性溃疡
E:急性胆囊炎