自考题库
首页
所有科目
自考历年真题
考试分类
关于本站
游客
账号设置
退出登录
注册
登录
出自:神经病学高级职称
蝶鞍区病变出现()。
A:单眼失明
B:同向偏盲
C:象限性盲
D:同向性偏盲伴黄斑回避
E:双颞侧偏盲
婴幼儿的脑积水可以表现为( )
A:头痛,视乳头水肿
B:头围明显扩大,囟门张力高
C:头颅叩诊呈破罐音
D:双眼球呈落日征
E:可有智力障碍和抽搐发作
格林-巴利综合征有哪些临床特点?
左侧半身实体觉和图形觉丧失,病变部位在()。
A:左侧角回
B:左侧中央后回
C:右侧角回
D:右侧缘上回
E:右侧中央后回
如何进行偏头痛的预防性治疗?
试述三叉神经的检查及临床意义。
试述Shy-Drager综合征的治疗。
患者女性,38岁。左睑下垂伴视物成双1周,晨轻暮重。头不痛,不发热。无咀嚼吞咽困难,无四肢无力,无呼吸困难。检查:双瞳孔2.5mm,对光反应正常,左睑下垂,左眼球上视、外展和下视无力,右眼上、下视、内收及外展均受限,向各方向注视均有复视,其余神经系统未见异常。 按照Osserman分型应该为哪一型( )
A:Ⅰ型
B:Ⅱa型
C:Ⅱb型
D:Ⅲ型
E:Ⅳ型
Ⅰ型神经纤维瘤病中有诊断意义的牛奶咖啡斑在青春期前其直径至少大于( )
A:20mm
B:15mm
C:10mm
D:5mm
E:1mm
患者,女性,30岁,劳动中突感剧烈头痛、呕吐,一过性意识不清,醒后颈枕部疼痛,右眼睑下垂、瞳孔大,颈项强直,克氏征(+)。最可能的诊断是( )
A:脑出血合并脑疝
B:脑干出血
C:小脑出血
D:蛛网膜下隙出血
E:急性脑膜炎
脊髓痨
最常见的神经梅毒临床类型为:__________、__________、__________。
能引起反射性晕厥的情况或诱因有( )
A:恐惧、疼痛或看见出血
B:排尿
C:咳嗽
D:偏头痛
E:心律失常
患者,男,27岁,外伤后出现左下肢无力3个月,右下半身麻木,检查右乳头水平以下痛温觉减退,左膝腱反射亢进,左Babinski征(+),左髂前上棘以下音叉振动觉减退,左足趾位置觉减退 为何种损伤( )
A:横贯性损害
B:左半侧损害
C:右半侧损害
D:右侧前角损害
E:左侧前角损害
隐性颅裂( )
显性颅裂( )
A:颅骨缺损
B:颅腔内容物膨出
C:两者均有
D:两者均无
急性脊髓炎不应出现的症状体征是( )
A:压颈试验通畅
B:急性脊髓横贯性损害
C:脑脊液蛋白增高
D:眼球震颤
E:脊髓休克
高度提示MS的两个重要体征是_________、_________。
childhood epilepsy with occipital paroxysms
感觉性共济失调的表现是( )
A:肢体共济失调
B:深感觉障碍
C:躯干平衡障碍
D:凭视觉不能减轻症状
E:凭视觉可减轻症状
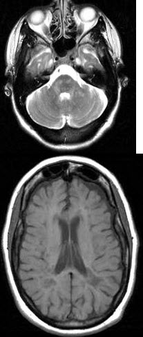
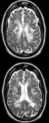
女,56岁,既往有癫痫病史,请结合CT图像选择最可能的诊断( )
A:多发性硬化
B:脑出血
C:脑梗死
D:颅脑肿瘤
E:正常脑实质
神经纤维瘤病可发生下列哪些肿瘤( )
A:颅内肿瘤
B:椎管内肿瘤
C:周围神经肿瘤
D:视神经胶质瘤
E:脊膜瘤
简述脊髓节段与脊椎的关系。
腰穿脑脊液检查诊断蛛网膜下隙出血的优缺点是什么?
可引起脑脊液蛋白细胞分离的疾病有( )
A:急性脊髓炎
B:周期性瘫痪
C:急性脊髓灰质炎
D:脊髓压迫症
E:Guillain-Barre综合征
可引起共济失调的病变部位有( )
A:皮质脊髓束
B:脊髓后索
C:脊髓丘脑侧束
D:脊髓后根
E:小脑
脊髓内脊髓丘脑束的层次排列?
可导致痴呆的代谢性或中毒性脑病常见的有____________、____________、________、________、________等。
表现为一侧节段性分布的痛觉、温觉消失,而触觉、深感觉保留的脊髓损害,应定位于( )
A:脊髓丘脑侧束
B:脊髓后索
C:脊髓后角
D:脊髓前角
E:脊神经根
某老年患者患糖尿病及脑动脉硬化多年,无高血压病史,午睡后发现右半身麻木,手及上肢轻度无力,晚饭后家人发现其症状加重,遂在附近的社区医院静脉滴注血管扩张药,第二日因发现偏瘫进一步加重而来住院,检查发现右侧中枢性面、舌瘫,右上肢肌力0级,右下肢2~3级,右侧Babinski征阳性,右偏身感觉障碍,该患者应最先想到的是( )
A:左侧基底节区脑出血
B:脑干梗死
C:左侧大脑中动脉区脑梗死
D:左侧大脑后动脉区脑梗死
E:以上均不是
帕金森病起病时,肢体累及方式常见为( )
A:一侧上、下肢先累及
B:双侧上肢先累及
C:左上肢、右下肢先累及
D:右上肢、左下肢先累及
E:双下肢先累及
首页
<上一页
78
79
80
81
82
下一页>
尾页