自考题库
首页
所有科目
自考历年真题
考试分类
关于本站
游客
账号设置
退出登录
注册
登录
出自:放射医学主治医师
某男,25岁,腹痛1小时,摄腹部平片。
第1题,共1个问题
(单选题)如该患者诊断为肠梗阻,下列哪项
不正确
()
A:通常立位透视或照片,需要时补充卧位照片
B:起病后6小时即可见X线改变
C:梗阻近端肠管扩大,胀气,伴液气平面
D:根据胀气肠管的形状、数目和分布,可大致判断肠梗阻的部位
E:与肠麻痹的主要区别点是后者无液气平面
关于女性生殖系统的超声检查,错误的是()
A:需适当地充盈膀胱
B:子宫体为均质中等回声
C:子宫内膜的厚度和回声与月经周期有关
D:双侧卵巢显示清晰,4cm×3cm×1cm
E:双侧输卵管显示清晰
T
1
WI中等信号,质子密度加权像中等信号,T
2
WI高信号最可能为下列组织中的()
A:骨皮质
B:肌腱
C:软骨
D:液体
E:钙化灶
肝棘球蚴病的影像表现错误的是()
A:平扫病灶呈大小不一,单发或多发,呈圆形或类圆形,有时呈浅分叶
B:病灶边缘光整、清晰,囊壁密度略高于肝组织,钙化或合并感染时壁明显增厚
C:囊内密度均匀一致,增强后无强化
D:母囊内可见子囊,子囊的数目和大小不一
E:无钙化的子囊密度可高于母囊
男,25岁,外伤后行CT检查,最可能的诊断为()
A:脑膜瘤
B:脑挫裂伤
C:蛛网膜下腔出血
D:硬膜下血肿
E:硬膜外血肿
患者,男,60岁。贫血、腰背部及胸骨疼痛并慢性肾衰竭2年余。头颅X线平片和胸椎CT显示骨质疏松和多发骨质破坏。若为多发性骨髓瘤,MRISETWI上最典型的征象是()
A:“椒盐”征
B:弥漫性高信号
C:椎体压缩骨折
D:合并椎旁脓肿
E:只限于椎弓根受累
患者男性,胃病史多年,胃肠钡餐示胃体大弯侧黏膜皱襞粗大扭曲,胃壁柔软,蠕动存在,应考虑为()
A:慢性肥厚性胃炎
B:淋巴瘤
C:Menetrier病
D:Crohn病
E:静脉曲张
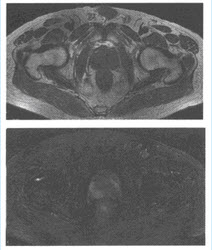
男,68岁,血尿1周,直肠指诊触及质硬结节。
第1题,共6个问题
(多选题)应该做哪些检查()
A:X线平片
B:US
C:MRI
D:DSA
E:ECT
F:CT
第2题,共6个问题
(单选题)患者做MRI检查如下图,最可能的诊断是()
A:前列腺增生
B:前列腺癌
C:前列腺肉瘤
D:前列腺囊肿
E:前列腺炎
F:前列腺囊性腺瘤
第3题,共6个问题
(单选题)多数前列腺癌发生在()
A:周围带
B:中央带
C:移行带
D:周围带与移行带交界部
E:周围带与移行带交界区
F:前肌纤维质
第4题,共6个问题
(单选题)具有确诊意义的检查是()
A:B超检查
B:MRI
C:直肠指诊
D:穿刺活细胞检查
E:血清PSA升高
F:ACT
第5题,共6个问题
(单选题)MRI有利于发现前列腺癌其他部位的骨转移,其中以骨转移最常见,依次为()
A:脊柱、骨盆、股骨近端
B:骨盆、脊柱、股骨近端
C:脊柱、股骨近端、骨盆
D:骨盆、股骨近端、脊柱
E:股骨近端、骨盆、脊柱
F:股骨近端、脊柱、骨盆
第6题,共6个问题
(多选题)前列腺癌从病理上可分为()
A:高分化腺癌
B:移行细胞癌
C:内膜样癌
D:中分化腺癌
E:鳞状细胞癌
F:低分化腺癌
X线表现肺门增大模糊,肺纹理模糊,肋膈角区见KerleyB线,原因是()
A:肺动、静脉瘘
B:肺动脉栓塞
C:肺动脉血流量减少
D:肺动脉高压
E:肺静脉高压
下列描述输尿管结核的影像学改变中,哪项
不正确
()
A:钙化
B:迂曲、延长
C:僵直
D:短缩
E:串珠状
患者,男性,15岁,颅脑MRI平扫及增强扫描图像如下,应诊断为()
A:脑膜瘤
B:胶质瘤
C:小脑母细胞瘤
D:室管膜瘤
E:髓母细胞瘤
胃气钡双重造影时钡剂的浓度最好是()
A:50%~100%W/V
B:100%~150%W/V
C:150%~200%W/V
D:200%~250%W/V
E:250%~300%W/V
关于DSA的叙述,错误的是()
A:摄像机扫描就是将图像数字化
B:DSA矩阵中最小单元为像素
C:图像数字化是将测到的每个像数的衰减值变为数字
D:D/A即为数/模转换
E:数字X线摄影中常用滤波反投影法
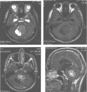
患者,女,38岁。头痛、头晕、耳鸣2年,一侧肢体活动不利近1年。CT平扫示:右侧中后颅窝卵圆形略高密度灶,边缘锐利,右侧岩骨尖,骨质变薄;MRI示TWI呈等信号,TWI呈高信号;CT及MRI增强扫描呈均一强化。本病例最为可靠的MRI影像特征是()
A:牛眼征
B:胡椒盐征
C:靶征
D:脑膜尾征
E:灯泡征
肝硬化的CT表现
不正确
的是()
A:肝脏体积和肝叶比例失调
B:肝裂增宽和肝门区扩大,胆囊常向外侧移位
C:肝脏密度高低不均,纤维化、结节再生、变性坏死和脂肪浸润
D:可出现继发性脾大、腹水、门静脉高压
E:肝硬化增生结节增强后明显强化
鉴别脂肪或出血,应该用()
A:STIR
B:SET1WI
C:FSET2WI
D:FLAIR
E:GRE
髓外硬膜下肿瘤X线脊髓造影表现,描述正确者为()
A:多为部分性梗阻
B:阻塞层面呈杯口状压迹
C:脊髓移位不明显
D:梗阻面呈梳状或锯齿状突然中断
E:部分阻塞时,造影剂呈对称分流
患者,男,患尿毒症长期血液透析4年,近日查体发现肉眼血尿,B超见右肾有一不均质强回声团,CT平扫见肿块内有一钙化,最可能的诊断应为()
A:肾母细胞瘤
B:平滑肌脂肪瘤
C:肾细胞癌
D:肾囊肿出血
E:肾肉芽肿
下列不经过海绵窦内的脑神经为()
A:动眼神经
B:展神经
C:三叉神经运动支
D:舌咽神经
E:三叉神经第二支
男,20岁,足球赛后右膝关节疼痛,行走时交锁。体检:右膝关节肿胀,外侧压痛明显。诊断该疾病准确率较高的是()
A:CT平扫
B:MRI
C:超声
D:X线
E:ECT
下列哪种肾囊肿不是真正的囊肿()
A:单纯性囊肿
B:成人型多囊肾
C:肾盂旁囊肿
D:肾盂周囊肿
E:肾周囊肿
患者,男,48岁。主诉为鼻塞、头痛3个月余,患者3个月前始出现鼻塞、流涕,偶有涕中带血,并伴有头痛,呈阵发性,既往体健,否认高血压、心脏病病史。实验室检查未见明显异常。参考CT图像你的诊断依据是哪些()
A:鼻咽顶后壁软组织增厚达1.5cm,密度不均匀
B:咽隐窝消失,左右两侧轮廓不对称
C:咽旁、颈部淋巴结未见明显肿大
D:颅底及附近骨质有破坏
E:MRI显示软组织及骨质较CT好
F:鼻甲肥大、鼻腔变窄
诊断中央型肺癌,MRI在哪一方面不如CT()
A:确定纵隔内及肺门肿大淋巴结
B:显示肺门部小肿块
C:区分肺癌和肺炎及肺不张
D:确定肺门部与支气管的关系
E:显示支气管壁增厚、破坏,管腔狭窄、阻塞等
不属于
经股动脉穿刺插管并发症的是()
A:股动静脉瘘
B:血管内膜剥离
C:腹膜后血肿
D:假性动脉瘤
E:股静脉栓塞
施加90°脉冲后,关于质子宏观磁化矢量M的描述错误的是()
A:A
B:B
C:C
D:D
E:E
最常见的良性骨肿瘤是()
A:骨软骨瘤
B:非骨化性纤维瘤
C:骨样骨瘤
D:骨嗜酸性肉芽肿
E:动脉瘤样骨囊肿
患者,女,55岁。无明显诱因出现发热,体温38.7℃,1周以来出现肝区疼痛,上腹饱胀,食欲缺乏,乏力,CT检查发现肝脏多发稍低密度病灶,大小不一,CT值30~40HU。
第1题,共2个问题
(单选题)根据以上临床及影像表现,以下疾病的可能性最小的是()
A:肝血管瘤
B:肝细胞癌并肝内转移
C:细菌性肝脓肿
D:肝囊肿合并出血及感染
E:阿米巴性肝脓肿
第2题,共2个问题
(单选题)下一步对确诊最有意义的处理应是()
A:血常规检查
B:临床密切随访
C:超声检查
D:CT增强及动态扫描检查
E:以上都不是
()表现为肾上腺的类圆形或椭圆形小肿块,直径多在2cm以下,边界清楚,均匀一致的低密度
A:嗜铬细胞瘤
B:肾上腺转移瘤
C:肾上腺囊肿
D:肾上腺皮质腺癌
E:肾上腺腺瘤
体现有利原则的是()
A:对有危险或伤害的诊治措施,通过评价,选择利益大于危险或利益大于伤害的行动
B:将有关的类似个案以同样的准则加以处理,而将不同的个案以不同的准则加以处理后,有权选择意愿接受或拒绝医生制定的诊治方案
C:医生在诊断时考虑患者的各方面因素
D:杜绝对患者的有益伤害
于心脏黏液瘤,下列检查不能显示左房黏液瘤的大小及形状的是()
A:CT
B:MRI
C:X线平片
D:X线心血管造影
E:超声心动图
首页
<上一页
78
79
80
81
82
下一页>
尾页