出自:消化内科学高级职称

HBeAg(+)的正确概念是()。
A:病毒复制活跃的指标
B:传染性大的指标
C:病情严重的标志
D:相应的抗体属保护性抗体
E:是病毒外壳的成分之一
食管憩室
急性胰腺炎时尿淀粉酶升高时间是()。
A:病后即刻
B:病后4小时
C:血清淀粉酶升高2小时
D:血清淀粉酶升高的同时
E:与血清淀粉酶平行
肝肺综合征的表现不包括( )
A:慢性肝病的体征
B:呼吸困难、肺水肿
C:低氧血症
D:心源性哮喘
E:卧立呼吸
患者,男性,28岁。十二指肠球溃疡史5年,突感上腹剧痛5小时,继之全腹痛,大汗淋漓。查体:全腹压痛及反跳痛,似有溃疡穿孔可能。

第1题,共5个问题
(单选题)十二指肠穿孔哪一部位较多见()。
A:十二指肠球部小弯侧
B:十二指肠球部前壁
C:十二指肠球部后壁
D:十二指降部
E:十二指水平部

第2题,共5个问题
(多选题)哪项体征有助于溃疡穿孔的诊断()。
A:腹肌紧张
B:腹叩诊呈鼓音
C:肝浊音界消失
D:腹部移动性浊音
E:肠鸣音消失

第3题,共5个问题
(单选题)急性穿孔诊断后几小时内手术效果最好()。
A:48小时
B:12小时
C:24小时
D:8小时
E:10小时

第4题,共5个问题
(单选题)急诊应做哪项检查()。
A:胃镜
B:X线腹部视透
C:X线胸透
D:钡透
E:腹腔试穿

第5题,共5个问题
(多选题)提示:膈下游离气体提问:考虑出现了()。
A:穿孔
B:幽门梗阻
C:溃疡恶变
D:出血
E:腹膜炎
女,26岁,发热、右下腹痛4个月。查体:仅有右下腹轻压痛。全程钡餐示肠呈跳跃征改变。宜采用的治疗方案是( )
男,29岁,发热、腹胀6个月,伴右下腹胀痛1个月。查体:腹膨隆,肝脾未及,右下腹似可及包块,边界不清。腹水呈渗出液改变,X线钡餐见跳跃征。宜采用的治疗方案是( )
女,40岁,右下腹痛、腹泻8个月,6个月前发生粪瘘,确诊为肠结核。用三联杀菌药治疗半年无效。现宜采用的治疗方案是( )
A:异烟肼和利福平短程化疗
B:异烟肼、利福平加链霉素三药联合,疗程与肺结核相同,并行局部注药
C:链霉素、异烟肼、对氨水杨酸长程标准化疗
D:单用异烟肼长程化疗
E:手术治疗
男性,50岁,间断腹痛、腹泻20余年,加重3个月,大便4~5次/天。纳差,体重下降。化验便潜血(±~+),有脓细胞、红细胞。血Hb104g/L。

第1题,共3个问题
(单选题)以下项目提示可能为器质性疾病,但不包括()。
A:病史长达20年
B:便内有脓细胞
C:体重下降
D:大便潜血(+)
E:轻度贫血

第2题,共3个问题
(单选题)此病人最可能的诊断是()。
A:结肠癌
B:溃疡性结肠炎
C:细菌性痢疾
D:肠易激综合征
E:肠道菌群失调

第3题,共3个问题
(单选题)确诊最佳手段()。
A:血液生化
B:粪便找瘤细胞
C:结肠镜
D:腹部CT
E:腹部超声
复合性溃疡的发病机制主要是()。
A:十二指肠肠液反流,胃黏膜屏障受损,氢离子回渗所致
B:幽门排空障碍引起胃窦部潴留,胃泌素增加所致
C:壁细胞总数增加所致
D:神经-内分泌系统功能紊乱
E:遗传因素
对肝肾综合征的治疗,下列哪项不正确()。
A:避免强利尿,单纯大量放腹水
B:严格控制输液量,以减少循环血容量
C:避免服用损害肾功能药物
D:迅速控制上消化道大出血、感染等诱发因素
E:在扩容基础上应用利尿剂
临床表现为突发性右上腹绞痛,疼痛剧烈无法忍受,突然发作,突然中止。查体:腹部平软,无明显压痛,无肌紧张及反跳痛,此病例拟诊为()。
A:消化道穿孔
B:胆道蛔虫症
C:肠虫症
D:急性胰腺炎
E:急性胆囊炎
下列关于克罗恩病的论述哪项是错误的()。
A:病因未明的肠道肉芽肿性炎症
B:病变多见于乙状结肠
C:有发热、腹泻、腹部肿块,瘘管形成,肠梗阻等症状
D:发病年龄在15~40岁
E:本病在国内比较少见
男性,60岁,因胃溃疡合并多次大出血,行胃大部切除术该患者术后5天出现黑便,最可能的原因是()。
A:小弯侧关闭止血不确切
B:吻合口出血
C:吻合口部分黏膜坏死脱落
D:应激性溃疡
E:术后胃内残余血
关于克罗恩病腹泻,不正确的是下列哪项( )
A:病变肠段炎症、蠕动增加和继发性吸收不良所致
B:腹泻常伴里急后重
C:一般无脓血或粘液便
D:病程初期为间歇性发作
E:病程后期为持续性糊状大便
男性,29岁,右上腹饥饿痛反复发作3年,近3天解成形黑便量约500g左右,下列治疗哪项最合适( )
A:禁食+输液+西米替丁
B:立即输血+胃内持续滴注去甲肾上腺素冰盐水+氢氧化铝凝胶
C:输液+大量冰盐水洗胃+制酸剂
D:流汁饮食+输液+法莫替丁
E:手术治疗

病例摘要:女性,20岁,间断低热伴关节痛半年,1周来高热,关节痛加重,轻度头晕。查体:血压120/80mmHg,皮肤无出血点,肝肋下1cm,脾侧位可触及,化验血Hb95g/L,Ret0.065,WBC4.2×109/L,PLT76×109/L,尿蛋白(+++),RBC3~8/HP,偶见颗粒管型。



第1题,共2个问题
(多选题)为明确诊断,下列血液学检查中最有意义的是()。
A:抗核抗体
B:抗中性粒细胞胞浆抗体
C:抗磷脂抗体
D:抗组织细胞抗体
E:抗dsDNA抗体
F:抗ENA抗体

第2题,共2个问题
(单选题)若患者行皮肤活检,SLE最典型的发现是()。
A:真皮浅表部免疫复合物沉积
B:真皮深部出血
C:真皮内色素沉积
D:真皮深部免疫复合物沉积
E:以上都正确
男,42岁,既往体健,2周前健康体检发现脾大。今上午突起呕鲜血200ml,解柏油样大便350ml。 如内科保守治疗后出血停止,长期口服下列哪种药物有可能预防再出血( )
A:洛赛克
B:立止血
C:凝血酶
D:西沙比利
E:普萘洛尔(心得安)
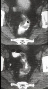
男,53岁,便秘、血便,大便变细,CT如图,应考虑为( )
A:肠Crohn病
B:直肠结核
C:溃疡型直肠癌
D:慢性溃疡性结肠炎
E:直肠淋巴瘤
下列对肝硬化并发上消化道大出血的表述,错误的是()。
A:出血后脾脏缩小
B:常诱发肝性脑病
C:出血后腹水减少
D:可引起出血性休克
E:多表现为突发性大量呕血或黑粪
病例摘要:女性,60岁,间断水肿3年,加重1个月,气短、尿少2天。既往有糖尿病病史2年。查体:血压150/90mmHg,腹水征阳性,下肢明显水肿,其余未见异常。辅助检查:尿蛋白(++++),红细胞0~2/HP,血浆白蛋白20g/L。

第1题,共3个问题
(单选题)对该患者最主要的治疗用药是()。
A:利尿剂
B:糖皮质激素
C:胰岛素
D:血管紧张素转换酶抑制剂
E:抗生素

第2题,共3个问题
(单选题)对该患者确诊和治疗最有意义的检查是()。
A:尿白蛋白排泄率
B:肾功能
C:肾活检
D:肾脏B超
E:X线检查

第3题,共3个问题
(单选题)该患者最可能的诊断是()。
A:慢性肾炎急性发作
B:高血压肾损害
C:糖尿病肾病
D:肾病综合征
E:肾小球肾炎
幽门螺杆菌是一种致病菌,与此菌关系最密切的疾病是( )
A:反流性食管炎
B:胃息肉
C:胃平滑肌瘤
D:Zo11inger-E11ison综合征
E:胃癌
下列在肝纤维化过程中可产生胶原纤维的细胞是()。
A:巨噬细胞
B:受损害的肝细胞
C:胆管上皮细胞
D:肝窦内皮细胞
E:Diss腔Ito细胞
男性45岁,饮酒20余年,3两白酒/日,查体:肝肋下2.0cm,脾肋下5.0cm,化验外周血三系均减少,最可能的原因为( )
A:营养吸收障碍
B:脾功能亢进
C:骨髓合成抑制
D:细菌感染,毒素作用
E:消化道少量出血
男患,30岁,上腹规律性疼痛反复发作5年,夜间重,进食可缓解,近1周来出现黑便1~2次/日,量不多,便隐血试验(+++),Hb100g/L,应首选哪种药物( )
A:氢氧化铝
B:枸橼酸铋钾
C:硫糖铝
D:法莫替丁
E:前列腺素E2的合成剂
对小结节性肝硬化,描述错误的是()。
A:纤维间隔较细
B:假小叶大小一致
C:直径<1mm
D:结节大小相仿
E:最常见
青壮年腹痛多见()。
A:急性阑尾炎
B:先天畸形
C:消化性溃疡
D:胰腺炎
E:蛔虫病
消化性溃疡并发上消化道出血,宜静脉给予()。
A:血浆
B:葡萄糖盐水
C:红细胞悬液
D:晶体溶液及全血
E:白蛋白
K-B纸片琼脂扩散法的说法中错误的是()。
A:nt,R)三个等级
B:检验结果可分为敏感(susceptible,S)、中度敏感(intermediate,Ⅰ)、耐药(resist-C.S表示测试菌能被测定药物常规剂量给药后在体内达到的血药浓度所抑制或杀灭
C:Ⅰ表示测试菌能被测定药物大剂量给药后在体内达到的血药浓度所不能抑制,而在测定药物浓集部位的体液(如尿)中被抑制
D:R表示测试菌不能被在体内感染部位可能达到的抗菌药物浓度所抑制
国内急性胰腺炎的常见病因()。
A:胆道疾病
B:胆胰或胃手术后
C:腹部钝挫伤
D:大量饮酒和暴饮暴食
E:急性病毒感染
男,30岁,近1个月来,右上腹痛,并牵涉至右肩,轻度消瘦,肝脾未扪及。查:WBC7.5×10/L,N0.60,空腹血糖27.75mmol/L。胸透发现右膈抬高。最可能诊断是( )
A:肝结核
B:原发性肝癌
C:门脉性肝硬化
D:阿米巴性肝脓肿
E:慢性胆囊炎
进行性加深的无痛性黄疸,常见于( )
腹痛向右肩部放射,Murphy征阳性常见于( )
腹痛突然加剧,腹肌紧张,肝浊音界消失常见于( )
腹痛伴呕吐、腹胀,血清淀粉酶明显增高常见于( )
阵发性腹痛、腹胀、呕吐,肠鸣音亢进常见于( )
A:溃疡穿孔
B:急性胰腺炎
C:胰头癌
D:急性胆囊炎
E:急性肠梗阻