自考题库
首页
所有科目
自考历年真题
考试分类
关于本站
游客
账号设置
退出登录
注册
登录
出自:神经病学高级职称
慢性脊髓髓外压迫症有哪些主要临床特点?
臂丛神经的组成
A:C
5-7
B:C
6
~T
2
C:C
5
~T
1
D:C
4
~C
8
E:C
7
~T
3
下列关于眼底检查
不正确
的是( )
A:眼球正视前方
B:患者朝向光线充足的方向而坐
C:查右眼时,检查者站在患者左侧
D:查左眼时,检查者站在患者右侧
E:患者眼球可随意转动
男性,8岁,肺结核3年,背痛3天,突然双下肢不能站立,排尿困难2小时。检查:双下肢肌力3级,双侧Babinski征(+),脐水平以下深浅感觉均明显减退。疑为脊椎病变,病变的椎体为()。
A:颈6 ̄7
B:胸2 ̄3
C:胸6 ̄7
D:胸9 ̄10
E:腰1 ̄2
Lambert-Eaton综合征与_________通道异常有关。
下列疾病中不属离子通道病的有( )
A:假肥大型肌营养不良症
B:低钾型周期性瘫痪
C:高钾型周期性瘫痪
D:正常血钾型周期性瘫痪
E:多发性肌炎
脑干功能检查( )
共济运动检查( )
舌咽、迷走神经检查( )
蜗神经检查( )
A:卧立位试验
B:误指试验
C:头眼反射
D:眼心反射
E:Rinne试验
提示脑干损害的定位体征是( )
A:交叉性运动,感觉障碍
B:偏瘫
C:偏盲
D:假性延髓麻痹
E:偏身感觉障碍
可用于失神小发作的药物有( )
A:卡马西平
B:乙琥胺
C:苯巴比妥
D:苯妥英钠
E:拉莫三嗪
青年男患,活动中突发右偏瘫,失语,伴一过性意识障碍及癫痫发作,CT见左大脑中动脉区低密度灶,患者无心脏病。诊断是否可排除脑栓塞并说明?
骨骼肌的“病态疲劳”
试述有先兆的偏头痛的临床分期及表现?
患者,女,27岁,1年前曾因双眼视力减退,震颤,双下肢麻木,大小便潴留就诊,经激素治疗好转,近半个月又出现步态不稳,共济失调。为明确诊断,应首先检查的项目是( )
A:CT扫描
B:脑血流图
C:诱发电位
D:磁共振成像
E:脑电图
下列叙述正确的是( )
A:α-共核蛋白是Pick小体的主要成分
B:异常磷酸化的Tau蛋白是神经元纤维缠结(NFTs)的主要成分
C:β-淀粉样蛋白(Aβ)是老年斑(SP)的主要成分
D:神经元胞浆内Pick小体仅见于Pick病
E:脑内老年斑(SP)和神经原纤维缠结(NFTs)仅见于阿尔茨海默病
简述颞叶病变的症状和体征。
神经梅毒的发病率占梅毒患者的( )
A:1%
B:5%
C:10%
D:15%
E:20%
治疗肝豆状核变性的首选药物是( )
A:硫酸锌
B:二巯基丙醇
C:二巯基丁二钠
D:B族维生素
E:青霉胺
伯氏疏螺旋体对下列哪些药不敏感( )
A:四环素
B:环丙沙星
C:氨苄青霉素
D:头孢曲松
E:利福平
如何区别急性脊髓炎和脊髓压迫症?
浅感觉检查应包括( )
A:痛觉
B:触觉
C:温度觉
D:两点辨别觉
E:触觉定位觉
舌咽、迷走神经检查包括( )
A:悬雍垂有无偏斜
B:吞咽及构音功能
C:软腭抬举是否对称
D:咽反射是否减弱或消失
E:舌前1/3味觉
肌肉本身疾病( )
锥体外系损害,伸肌屈肌张力增高程度相等( )
锥体束损害( )
A:肌张力减低,肌肉松弛
B:折刀式肌张力升高
C:齿轮样僵直
D:铅管样僵直
E:四肢肌肉收缩后不易放松
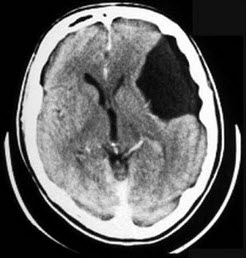
根据图示,应诊断为何种神经系统先天性疾病( )
A:颅底凹陷症
B:Litter病
C:无脑畸形
D:先天性脑积水
E:蛛网膜囊肿
多发性硬化急性发作或病情恶化时,应优先选用( )
A:抗生素
B:维生素
C:神经营养药
D:肾上腺皮质激素
E:止痛药
下述哪项不是晕厥与痫性发作的鉴别点( )
A:先兆症状
B:发作间期脑电图改变
C:发作的地点和时间
D:有否意识障碍
E:舌咬伤及尿失禁
基底动脉尖综合征是指基底动脉尖端分出两对动脉即小脑上动脉和大脑后动脉,其分支供应_____________、__________________、______________、________、____________。
Balo病
agnosia
以下关于视野缺损
不正确
的病变定位是( )
A:一侧视束病变引起双颞侧偏盲
B:一侧视神经病变引起单眼全盲
C:顶叶病变引起双眼同向性下象限盲
D:颞叶病变引起双眼同向性上象限盲
E:一侧枕叶视中枢病变引起双眼同向性偏盲、黄斑回避
节段性感觉障碍可分为哪几型,各有什么临床特点?试述其解剖学基础。
首页
<上一页
77
78
79
80
81
下一页>
尾页