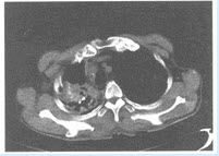
男,67岁,吸烟史45年,既往有肺结核病史。近1个月低热、咳嗽、咳痰,咯血两次,常规抗感染治疗后复查胸部CT,右上肺病灶如图。

第1题,共3个问题
(多选题)可能的诊断有哪些()
A:肺结核
B:念珠菌感染
C:大叶性肺炎实变期
D:周围性肺癌
E:耐药菌性肺炎
第2题,共3个问题
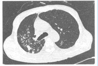
(单选题)本病例痰培养TB菌(+),且其下部层面CT肺窗如图,则图中征象() 

A:双轨征
B:春芽征
C:垂柳征
D:印戒征
E:原发复合征
第3题,共3个问题
(单选题)上述征象的病理基础为()
A:阻塞性肺炎
B:支气管反应性炎性病变
C:结核沿血管播散
D:结核沿支气管播散
E:阻塞性肺气肿