出自:内分泌学高级职称

女性,高血压,58岁。血钾2.0mmol/L。

第1题,共2个问题
(单选题)为进一步确诊应做以下检查除了()。
A:尿常规(pH、比重、PRO)
B:醛固酮测定
C:尿17-羟类固醇
D:低钠试验
E:高钠试验

第2题,共2个问题
(单选题)高血压低血钾可能由下列疾病引起除了()。
A:摄入甘草
B:先天性11-β羟类固醇脱氢酶缺陷
C:异位ACTH综合征
D:原醛
E:肾上腺皮质功能减退
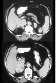
女,32岁,阵发性高血压2年余,请结合所提供图像,作出诊断( )
A:左肾上腺腺瘤
B:左肾上腺腺癌
C:左肾上腺转移瘤
D:左肾上腺嗜铬细胞瘤
E:左肾上腺淋巴瘤
Turner综合征最常见的染色体核型是()。
A:46,Xr(X)
B:46,Xi(Xq)
C:45,X/46,XX
D:45,XO
E:45,X/46,XY
肢端肥大症患者血钙较高时常提示()。
A:患者伴有甲状腺功能亢进
B:患者伴有甲状旁腺功能亢进
C:患者伴有甲状腺功能减退
D:患者钙摄入过多
E:患者有高尿钙、尿结石
患者,男性,58岁,轻度口干、多饮3个月,4天前因头晕、恶心、纳差进行输液治疗,每日约输5%葡萄糖液1000ml,患者逐渐出现嗜睡,1小时前抽搐后昏迷,查体:血压80/60mmHg,皮肤弹性差,病理征(-),血糖35mmol/L,血钠156mmol/L,尿酮体(+)。患者首要的抢救措施为()。
A:立即使用脱水剂
B:补液
C:静脉注射胰岛素
D:抗感染
E:吸氧
一位使用普通胰岛素治疗的糖尿病病人,午餐前尿糖(+++),增加胰岛素剂量的最恰当时刻是()。
A:当日午餐前半小时
B:当日晚餐前半小时
C:次日午餐前半小时
D:次日早餐前半小时
E:即刻
糖尿病酮症酸中毒的主要治疗方案是()。
A:应用中枢兴奋剂,纠正酸中毒
B:纠正酸中毒,补充体液和电解质
C:纠正酸中毒,应用胰岛素
D:补充体液和电解质,应用胰岛素
E:应用中枢兴奋剂及胰岛素

患者,男,55岁。身高172cm,体重80kg。因胃纳亢进易饥,伴心慌、多汗2个月余就诊。体检:明显肥胖,情绪较急躁、皮肤略潮湿,甲状腺不大。心率124次/分,血压140/70mmHg。双手细微震颤(-)。



第1题,共4个问题
(单选题)在初次就诊考虑可能的诊断时,下列哪项考虑是错误的( )
A:可能存在糖尿病
B:可能存在糖耐量异常
C:可以除外甲状腺功能亢进
D:可能存在高胰岛素血症
E:可能存在反复发作的低血糖

第2题,共4个问题
(单选题)为了进一步明确诊断,下列哪项检查首先考虑( )
A:糖基化血红蛋白
B:胰岛素及C肽水平测定
C:24小时尿VMA测定
D:OGTT
E:甲状腺功能测定

第3题,共4个问题
(单选题)此时患者HbAlc8.7%,推测患者血糖水平持续增高至少多长时间( )
A:2~3周
B:2~3个月
C:4~6周
D:2~3天
E:6个月

第4题,共4个问题
(单选题)假如患者此时同时伴有甲状腺功能亢进,下列哪种情况不可能出现( )
A:糖耐量下降
B:高胆固醇血症可能减轻
C:降糖药剂量可能增加
D:低血糖
E:发生心绞痛的机会增大

男性,35岁,反复出现突发性四肢无力,活动不能,夜尿增多。体检:BP180/100mmHg,甲状腺二度,心、肺、腹(-)。实验室检查:晨尿Ph为7.5,尿比重为1.012,血钾为3.6mmol/L,血钠为142mmol/L,血氯为100mmol/L。



第1题,共3个问题
(单选题)该患者检查最可能出现异常的是( )
A:ACTH
B:FT3、FT4、TSH
C:醛固酮
D:皮质醇
E:尿VMA

第2题,共3个问题
(单选题)进一步应做的检查是( )
A:Rigitin试验
B:小剂量地塞米松抑制试验
C:甲状腺吸碘率
D:低钠试验
E:高钠试验

第3题,共3个问题
(单选题)诊断性治疗的最佳选择( )
A:氨苯蝶啶
B:钙通道阻滞剂
C:螺内酯
D:ACEI
E:α-受体阻滞剂
与心血管风险最为相关的是()。
A:颈部脂肪
B:胸部脂肪
C:腹部脂肪
D:腿部脂肪
E:前臂脂肪
甲亢心血管系统体征有哪些表现?
垂体微腺瘤是指瘤体直径()。
A:<10mm
B:<16mm
C:<14mm
D:<12mm
E:<18mm
单纯性甲状腺肿甲状腺髓样癌
对于妊娠期甲亢的治疗哪项不正确( )
A:禁用放射性碘治疗
B:药物治疗首选PTU
C:慎用普萘洛尔
D:不可选择碘剂治疗
E:手术宜于妊娠早期施行
患者女,15岁,因“身高矮于同龄人,青青期无月经”来诊。患者儿童时身高较同龄儿童高,并出现阴蒂肥大,肌肉发达,皮肤较黑。10岁后身高增长减慢,就诊时矮于同龄人,青春期无月经来潮。查体:BP110/70mmHg;身高161cm,体重63kg,指间距154cm,上部量87cm,下部量74cm;全身皮肤色素沉着,毛发重,上唇胡须较重,下颌胡须少许,腹正中线、双下肢毳毛增多,可见喉结,乳房发育差,乳晕色素沉着,小阴茎样阴蒂,约3cm。染色体核型:46,XX。妇科B超:幼稚子宫,卵巢正常。肾上腺CT:双侧肾上腺增粗。

第1题,共3个问题
(单选题)下列实验室检查中符合该患者的是()。
A:血睾酮增高、ACTH增高、17-OHP升高、孕酮降低、皮质醇降低
B:血睾酮增高、ACTH增高、17-OHP降低、孕酮增高、皮质醇降低
C:血睾酮增高、ACTH增高、17-OHP升高、孕酮增高、皮质醇降低
D:血睾酮降低、ACTH增高、17-OHP升高、孕酮增高、皮质醇降低
E:血睾酮增高、ACTH降低、17-OHP升高、孕酮增高、皮质醇降低

第2题,共3个问题
(单选题)患者的性早熟不属于()。
A:非GnRH依赖性性早熟
B:GnRH依赖性性早熟
C:外周性性早熟
D:异性性早熟
E:假性性早熟

第3题,共3个问题
(单选题)诊断应首先考虑()。
A:先天性肾上腺皮质增生症(21-羟化酶缺乏)
B:家族性高睾酮血症
C:特发性中枢性性早熟
D:卵巢肿瘤
E:MuCune-Albright综合征
腺垂体组织受损时,最早出现哪项激素缺乏的症状()。
A:促肾上腺皮质激素
B:催乳素
C:促甲状腺激素
D:促性腺激素
E:生长激素
患者,女,50岁,15年前生育后闭经、食欲不振,平时感冒、腹泻需加用糖皮质激素才能较快恢复。查体:神志清楚,心、肺、腹未见明显异常。 最有效的治疗为( )
A:输葡萄糖盐水加胰岛素
B:输葡萄糖盐水加抗生素
C:静脉滴注ACTH
D:输葡萄糖盐水加氢化可的松
E:输葡萄糖盐水加地塞米松
垂体瘤直径达到多大即可压迫鞍隔而引起严重头痛( )
A:>0.1cm
B:>0.5cm
C:>1cm
D:>2cm
E:>3mm
患者,40岁。1型糖尿病史22年,平时应用胰岛素治疗,血糖控制较稳定。2年来出现双下肢水肿,空腹血糖5~6mmol/L,尿蛋白(++~+++),Cr196μmol/L。在饮食中每日蛋白质含量应为( )
A:1.0g/kg
B:0.8~1.2g/kg
C:1.0~1.2g/kg
D:0.6g/kg
E:0.2g/kg
甲亢最常见类型是( )
A:甲状腺性甲亢
B:下丘脑性甲亢
C:恶性肿瘤伴甲亢
D:HCG相关性甲亢
E:医源性甲亢
预防地方性甲状腺肿,宜使用下列哪种措施( )
A:他巴唑
B:食盐碘化
C:左旋甲状腺素
D:放射性131I治疗
E:手术治疗
男性,39岁,工人。因发热、多汗5年,劳力性心累、双下肢水肿3个月,加重伴咳嗽5天入院。查体:体温正常,P95次/分,BP100/40mmHg,轻度突眼,咽不充血,扁桃体不大,甲状腺二度对称肿大,质软,颈静脉充盈,心界向左扩大,心率110次/分,心律不齐,心音强弱不等,双肺可闻及较多中、细湿啰音,肝肋下4cm,双下肢水肿(++)。请据以上病史提出患者的诊断、诊断依据及治疗原则。
糖原累积症中,不以肝脏病变为主的类型是()。
A:Ⅰ型
B:Ⅲ型
C:Ⅳ型
D:Ⅴ型
E:Ⅵ型
患者男,49岁,因“视物重影2周”来诊。查体:全身一般情况可;视力:双眼均为5.1;向前平视双眼上睑缘在角膜上约2mm,结膜轻度充血,左眼向下运动轻度受限。B超:左眼下直肌增粗,双眼球突出度22mm。最佳治疗方案为()。
A:理疗、针灸治疗
B:手术治疗斜视
C:眼眶减压术
D:抗甲状腺药物+皮质激素治疗
E:眼眶放射治疗
未纳入IDF代谢综合征诊断标准的是()。
A:2型糖尿病
B:高血压
C:血脂异常
D:脂肪肝
E:糖耐量异常
尿碘是监测碘营养水平的公认指标,中度碘缺乏是指尿碘中位数为()。
A:200~100μg/L
B:150~100μg/L
C:100~80μg/L
D:80~50μg/L
E:<50μg/L
简述粘液性水肿昏迷的临床表现及治疗原则?
检测血糖时,最好使用()。
A:全血
B:静脉血浆
C:动脉血
D:静脉血
E:动脉血浆
肾病综合征患者,长期服用泼尼松,出现类Cushing综合征,以下说法不正确的是( )
A:24小时尿游离皮质醇增高 
B:血浆皮质醇增高 
C:双肾上腺萎缩 
D:可出现骨质疏松 
E:ACIH兴奋试验无反应 
女性,46岁,口渴、多饮、多尿、体重下降3年,恶心、呕吐2天,身高165cm,体重50kg,无糖尿病家族史,尿酮体(++),空腹血糖17.9mmol/L 患者目前的治疗( )
A:二甲双胍
B:格列吡嗪
C:瑞格列奈
D:胰岛素
E:罗格列酮