出自:神经病学高级职称

简述失语症的分类。
新型隐球菌脑膜炎与结核性脑膜炎相类似的表现是( )
A:隐匿性起病,慢性病程
B:脑膜刺激征明显
C:有颅内压增高
D:脑脊液常规、生化结果两者相似
E:以上均是
肱二头肌腱反射在脊髓部的节段定位是( )
A:C2-3
B:C3-4
C:C5-6
D:C6-7
E:C7-8
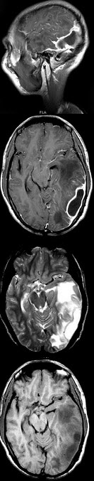
患者,男,70岁,有高血压病史8年,有房颤病史15年,突起右侧肢体无力6小时入院。体查:心率110次/分,率不齐,血压170/100mmHg,神志清楚,双眼左侧凝视,右侧鼻唇沟浅,伸舌偏右,右侧肌力2级。脑MRI见如图所示病灶。 该病灶为哪根血管支配( )
A:大脑中动脉
B:颈内动脉
C:大脑后动脉
D:椎—基底动脉
E:大脑前动脉
生命征
对两性霉素B的用法描述不正确的是( )
A:和氟康唑联合用可减少用量
B:和5一氟胞嘧啶不能联合应用
C:初次用药可以直接达到负荷剂量
D:该药应该根据情况逐渐加量
E:用药总量一般不要超过2000~3000mg
主要是因摄人带有虫卵污染的食物而发病的是( )
因接触疫水后,病原体经皮肤和粘膜侵入人体而发病的是( )
可引起全身性或部分性痫性发作,并且发作形式具有多样性和易转换性特征的是( )
A:脑型血吸虫病
B:脑囊虫病
C:两者均有
D:两者均无
下列哪个属于特殊类型的偏头痛( )
A:眼肌麻痹型偏头痛
B:紧张性头痛
C:低颅压性头痛
D:高颅压性头痛
E:丛集性头痛
intercostal neuralgia
感觉过度
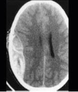
男性,50岁,摔跤后出现头痛2天入院,行头颅CT出现如图所示病变,应诊断为( )
A:硬膜外出血
B:蛛网膜下隙出血
C:脑梗死
D:硬膜下出血
E:脑出血
神经原纤维缠结可见于( )
A:正常老年人
B:Alzheimer病
C:多梗死性痴呆
D:Pick病
E:A1zheimer病路易体型

患者,男性,45岁,既往患有糖尿病史5年。



第1题,共3个问题
(单选题)入院后行如图所示的查体。此项检查称为( )
A:肱二头肌反射
B:跖反射
C:桡反射
D:肱三头肌反射
E:触觉

第2题,共3个问题
(单选题)此项检查的脊髓反射中枢为( )
A:C1~C2
B:C5~C6
C:C3~C4
D:C7~C8
E: 以上都不是

第3题,共3个问题
(单选题)此项检查经何种神经传导( )
A:肌皮神经
B:桡神经
C:尺神经
D:正中神经
E:以上都不是
试述肝豆状核变性的诊断及鉴别诊断?
脑动脉盗血综合征
临床常见的异常脑电图波形有( )
A:三相波
B:局灶性慢波
C:弥漫性慢波
D:癫痫样放电
E:弥漫性、周期性尖波
脑型血吸虫病最常见的临床表现之一为( )
A:脑膜脑炎
B:脊髓肉芽性截瘫
C:癫痫
D:脑神经损害
E:脑出血
痛性眼肌麻痹的典型临床表现除了( )
A:头痛
B:恶心、呕吐
C:单侧眼肌麻痹
D:双侧眼肌麻痹
E:单眼复视
多发性硬化(MS)在亚洲地区的发病率是( )
A:1/10万
B:2/10万
C:3/10万
D:4/10万
E:5/10万
简述短暂性脑缺血发作的病因和发病机制。

女性,60岁。双颞侧持续性头痛3个月,左眼视力减退2天。查体:左视力0.1,右1.0。眼底视网膜动脉变细,静脉充血,左视乳头苍白。双侧颞动脉搏动明显变弱和触痛。脉搏正常,余神经系统无异常。脑MRI无异常。



第1题,共2个问题
(单选题)患者最可能的诊断是( )
A:无脉病
B:颞颌关节病
C:左颈内动脉血栓形成
D:颞动脉炎
E:偏头痛

第2题,共2个问题
(单选题)确诊本病最直接的方法是( )
A:脑脊液检查
B:经颅超声多普勒检查(TCD)
C:脑血管DSA
D:颞颌关节X线片
E:颞动脉活检
脑脊液离体后不久自发凝固,称为Froin综合征,表示蛋白质含量( )
A:多超过5g/L
B:多超过7g/L
C:多超过9g/L
D:多超过10g/L
E:多超过15g/L
Gorstman综合征
中老年人在夜间睡眠时出现的双下肢极度不适感导致睡眠剥夺称为________综合征。
Parasympathetic nervous system
脊髓休克的临床表现及护理上应注意哪些问题?
男,30岁,寒战,高热伴头痛,呕吐10天。头颅MRI平扫及增强扫描见颅内不规则环形强化,应诊断为( )
A:化脓性脑膜脑炎并脑脓肿形成
B:结核性脑膜脑炎并结核瘤形成
C:脑膜及颅内转移瘤
D:星形细胞瘤
E:未见异常
实验性自身免疫性脑脊髓炎(EAE)
关于深感觉传导束( )
A:第二级神经元在脊髓后角
B:由内向外依次来自颈、胸、腰、骶
C:薄束在楔束的外侧
D:受损易出现昂伯症阳性
E:在脊髓前联合交叉
多发性硬化的病理特点是什么?