自考题库
首页
所有科目
自考历年真题
考试分类
关于本站
游客
账号设置
退出登录
注册
登录
出自:放射医学主治医师
常见钡剂造影胃的形态
不包括
()
A:牛角型
B:无力型
C:鱼钩型
D:瀑布型
E:囊袋型
患者,男,30岁,寒战、高热、咳嗽、气促4天。4天前受凉后突然出现寒战、高热,体温40℃,以午后、晚间为重,咳嗽,咳暗红色血痰,右侧胸痛,深吸气及咳嗽时加重,伴气促。右上肺叩诊浊音,语颤增强,可闻及支气管呼吸音。血WBC19×10
9
/L,N90%。
第1题,共3个问题
(单选题)病变在X线下最可能的表现为()
A:呈片状或三角形致密影,致密影内可见支气管充气征
B:呈斑片状模糊致密影,密度不均
C:呈网状及小斑片状影
D:呈浓密的团块状影
E:呈局限性斑片状阴影
第2题,共3个问题
(单选题)针对上述临床症状及体征,最可能的诊断是()
A:大叶性肺炎
B:支气管肺炎
C:支原体肺炎
D:过敏性肺炎
E:金黄色葡萄球菌肺炎
第3题,共3个问题
(单选题)首选的影像学检查是()
A:CT
B:B超
C:胸部平片
D:MRI
E:支气管碘油造影
眼眶柯氏位投照角度为()
A:后前23°位
B:后前37°位
C:后前25°位
D:后前60°位
E:前后37°位
男,26岁,乏力,上腹痛3个月,近来加剧。疼痛以夜间为重,坐起可缓解,向背部放射,胃纳差,近期体重下降。实验室检查正常。 诊断依据是哪些()
A:胆管细胞癌是在肝硬化基础上发生的
B:多发生于青壮年,可出现上腹不适、疼痛、上腹包块之表现
C:病变呈低密度实性病灶,形态不规则,部分病灶内见钙化影
D:增强扫描动脉期病灶有不均质强化,强化程度低于正常肝实质,静脉期病灶强化程度高于动脉期
E:病灶周围见小的卫星灶,病变远侧有局部肝内胆管扩张
F:附件肝叶萎缩和门静脉分支闭塞
支气管与子宫、输卵管造影常用的对比剂是()
A:阿米培克
B:碘海醇
C:碘化油
D:泛影葡胺
E:硫酸钡
患者,男性,40岁,突发腹痛,腹胀逐渐加重,呈阵发性,查肠鸣音亢进,既往有腹部手术史,如图所示,最可能的诊断为()
A:急性腹膜炎
B:胃肠道穿孔
C:急性胰腺炎
D:小肠急性肠梗阻
E:急性阑尾炎
骨肿瘤和肿瘤样病变中,骨皮质膨胀呈“吹泡状”见于()
A:动脉瘤样骨囊肿
B:骨纤维异常增殖症
C:畸形性骨炎
D:骨样骨瘤
E:孤立性骨囊肿
女,35岁,乏力,夜尿多。 患者所作肾上腺CT和MRI平扫及增强图像如下,考虑哪种疾病可能性大()
A:腹腔内肿大淋巴结
B:肾上腺囊肿
C:肾上腺转移瘤
D:肾上腺皮质癌
E:肾上腺腺瘤
F:肾上腺结核
下述哪项是原发恶性骨肿瘤的X线表现()
A:边缘清楚,骨质有破坏,骨膜反应明显
B:边缘模糊,骨质有破坏,骨膜反应不明显
C:边缘模糊,骨质破坏,无骨膜反应
D:边缘模糊,骨质有破坏,骨膜反应明显
E:边缘清楚,骨质有破坏,无骨膜反应
关于DSA中PACS设备的叙述,错误的是()
A:有图像采集设备
B:大容量数据存储设备
C:有胶片冲洗设备
D:数据库管理设备
E:通信设备
显示房间隔的最佳切面是()
A:冠状面
B:横断面
C:矢状面
D:心脏长轴位
E:心脏短轴位
典型卵巢畸胎瘤X线表现为()
A:输卵管受压变形
B:瘤体密度不均
C:卵巢增大,边缘光滑
D:瘤内有透亮区
E:盆腔见骨组织及牙齿影
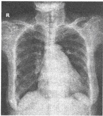
下列图片为哪一型心脏()
A:主动脉型
B:普大型
C:二尖瓣型
D:三尖瓣型
E:烧瓶型
子宫内膜癌中哪种类型最常见()
A:腺鳞癌
B:腺癌
C:透明细胞癌
D:浆液乳头状癌
E:鳞癌
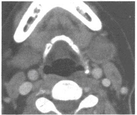
男,50岁,有吸烟史,自觉左侧颌下肿物1个月余。CT增强扫描如下图,应诊断为()
A:左侧颌下淋巴结转移
B:左侧颌下神经鞘瘤
C:左侧颌下淋巴结结核
D:颌下腺多形性腺瘤
E:颌下腺腺淋巴瘤
骨盆骨折时,易受损的是哪一部分尿道()
A:尿道前列腺部
B:尿道球部
C:尿道膜部
D:尿道悬垂部
E:以上都不是
稳定进动快速成像序列要点为()
A:激励角度小于90%
B:每个周期开始前横向磁化矢量均不为零
C:纵向磁化矢量可分解
D:横向磁化矢量可分解
E:纵向磁化矢量大于横向磁化矢量
X线显示成人关节间隙组成包括()
A:骨端和关节腔
B:骨端和关节软骨
C:关节软骨和关节滑液
D:关节软骨、关节腔和关节滑液
E:关节腔和关节滑液
高血压性心脏病心影呈()
A:二尖瓣型
B:主动脉型
C:横位心
D:滴状心
E:靴形心
在下列喉癌类型中,依淋巴转移率由高至低排列为()
A:声门上区癌>声门下区癌>声门区癌
B:声门上区癌>声门区癌>声门下区癌
C:声门区癌>声门上区癌>声门下区癌
D:声门区癌>声门下区癌>声门上区癌
E:声门下区癌>声门上区癌>声门区癌
肺癌伴咯血()
A:颈外动脉栓塞
B:支气管动脉栓塞
C:髂内动脉栓塞
D:颌内动脉栓塞
E:内乳动脉栓塞
关于进动频率的叙述,正确的是()
A:与自旋频率成正比
B:与梯度场及场强成正比
C:与磁旋比成反比
D:与主磁场的场强成正比
E:以上都正确
患者,男,45岁,上腹部不适,食欲缺乏2个月入院,查体触诊可及右上腹部肿块,CT平扫见肝左叶低密度病灶,其内可见小点状钙化影,形态不规则,增强扫描动脉期不均匀强化,静脉期强化程度高于动脉期,病灶远端肝内胆管扩张。
第1题,共2个问题
(单选题)根据以上临床及影像学资料,应首先考虑为()
A:胆管细胞癌
B:肝细胞癌
C:肝腺瘤
D:肝局灶性增生结节
E:其他
第2题,共2个问题
(单选题)影像学表现最需要鉴别诊断的是以下哪种疾病()
A:肝细胞癌
B:肝腺瘤
C:肝局灶性增生结节
D:细菌性肝脓肿
E:其他
患者,女性,61岁,3年前腰椎手术史,术后开始左下肢感觉减退、麻木、无力,左足隐痛,期间无外伤史,左足拇趾曾不明原因窦道形成,后自愈,现左足持续疼痛、肿胀,加重半个月,左下肢跛行。其X线及CT图像如下,诊断左足病变为()
A:疲劳性骨折
B:退行性变
C:Charcot关节
D:撕脱性骨折
E:化脓性关节炎
关于肾上腺血供的描述,正确的是()
A:肾上腺血供来自于肾上腺上、下两支动脉
B:肾上腺上动脉由膈动脉发出
C:肾上腺下动脉多来自于腹主动脉
D:肾上腺上动脉由膈下动脉发出
E:肾上腺中动脉多来自于同侧的肾动脉
患者,男,42岁。因发热、右上腹疼痛2周入院;患者2周前无明显诱因出现发热,食欲缺乏,右上腹疼痛,查体:肝右叶体积增大,右上腹压痛明显,实验室检查:Hb:110g/L,WBC://13.8×10
12
/L,N:78%;X线检查见右膈抬高,右侧胸腔少量积液,上腹部CT平扫见肝右叶大小约5.2cm×4.5cm×3.7cm低密度病灶,边界欠清晰,密度不均匀,CT值为15~52HU,病灶中心可见低密度区。
第1题,共3个问题
(多选题)根据以上临床资料及影像学检查,可基本排除以下哪些疾病()
A:肝囊肿
B:细菌性肝脓肿
C:肝细胞性肝癌
D:胆管细胞癌
E:阿米巴性肝脓肿
F:先天性胆管囊性扩张
G:局灶性脂肪肝
第2题,共3个问题
(单选题)CT平扫病灶出现低密度区最大可能性是因为()
A:病灶中心液化坏死
B:病灶中心脂肪变性
C:病灶中心出血
D:病灶内部组织成分不同
E:病灶内部含有正常肝组织
F:以上都不是
第3题,共3个问题
(多选题)出现以下哪些影像学征象支持细菌性肝脓肿的诊断()
A:病灶边缘不清楚
B:环征或靶征
C:增强扫描病灶周围结构均有不同程度的强化,强化程度常高于肝组织
D:增强扫描病灶内部可见分隔状强化,病灶低密度区未见强化
E:增强扫描动脉期病灶周边呈结节状明显强化,静脉期强化范围增大,向中央呈填充式强化,延迟期呈等密度灶
F:病灶内出现空气影
在诊断中央型肺癌方面MRI检查的特点是()
A:在显示支气管壁增厚、破坏、管腔狭窄、阻塞等方面不及CT
B:MRI可多层面成像,可充分显示肿块与大气管的关系
C:对纵隔及肺门肿大淋巴结的显示优于CT
D:对肿块侵犯大血管及心脏的评价优于CT
E:以上都对
孕妇子宫肌瘤的MRI表现,下列
不正确
的是()
A:肌瘤内部可发生出血性梗死和坏死
B:MRI有助于判断子宫肌瘤的大小、数目和位置
C:孕期子宫肌瘤更容易发生变性
D:子宫肌瘤信号均匀
E:孕妇子宫肌瘤的影像特点与非孕期不相同
骨关节结核感染多通过哪项途径()
A:直接蔓延
B:淋巴系统
C:开放性伤口
D:血液循环
E:呼吸道
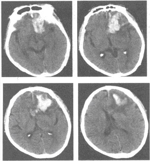
男,47岁,外伤后CT检查所见,最可能的诊断为()
A:脑膜瘤
B:脑转移瘤
C:钙化灶
D:胶质瘤
E:脑出血
首页
<上一页
75
76
77
78
79
下一页>
尾页