自考题库
首页
所有科目
自考历年真题
考试分类
关于本站
游客
账号设置
退出登录
注册
登录
出自:神经病学高级职称
DLB对________及________的锥体外系不良反应特别敏感,是区别于其他类型痴呆的特点,宜不用或慎用。
自主神经系统支配和调节肌体各__________、__________、__________和__________的活动和分泌。
椎管内有占位的脊髓压迫症,要迅速减压或切除占位。急性脊髓压迫症减压应在( )
A:24h内
B:18h内
C:12h内
D:6h内
E:3h内
下列哪项可能不是脊髓病变引起的瘫痪( )
A:四肢上运动神经元性瘫
B:双下肢上运动神经元性瘫
C:双上肢下运动元性瘫,双下肢上运动神经元性瘫
D:一侧上肢上运动神经元性瘫痪
E:一侧下肢上运动神经元性瘫痪
患者清晨起床后出现右眼不能闭合,右侧眼裂较右侧大,右侧额纹消失,右侧鼻唇沟变浅,口角左歪,其病变累及( )
A:侧动眼神经
B:右侧三叉神经
C:右侧大脑半球
D:右侧面神经
E:以上都不是
高血压脑出血最常见部位是()。
延髓麻痹的主要表现是( )
A:眼球外斜、瞳孔扩大、视物双影和上睑下垂
B:伸舌偏斜、视物双影、面部麻木和眩晕耳鸣
C:声音嘶哑、饮水返呛、吞咽困难和构音障碍
D:瞳孔缩小、眼球内陷、睑裂变小和面部无汗
E:额纹消失、闭眼无力、口角下垂和味觉缺失
关于EMG异常,神经传导速度减慢,反映轴索损害;波幅降低,反映髓鞘损害。
动脉粥样硬化导致的脑血栓形成最常闭塞的血管发生在( )
A:大脑前动脉
B:大脑后动脉
C:小脑上动脉
D:颈内动脉和大脑中动脉
E:基底动脉
我国脑囊虫病主要流行于( )
A:东北地区
B:华北地区
C:华东地区
D:西北地区
E:华南地区
亨廷顿舞蹈病的诊断和鉴别诊断?
何谓阿罗(Aryll-Robertson)瞳孔?
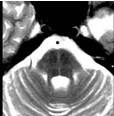
患者,男,55岁,渐起出现直立时头昏,直立性低血压2年,近半年出现眼球震颤、构音困难、步态不稳、共济失调、震颤及精神异常等症状,头颅MRI如图示,可采用的治疗方法为( )
A:平卧时适当抬高头部
B:床上坐起或下地时应快速
C:穿弹力紧身衣裤和弹力长袜
D:使用α受体拮抗剂盐酸米多君
E:使用钙离子拮抗剂尼莫地平等
MS的发病机制中以细胞免疫异常为主( )
Locked-in syndrome
急性脑血管病中发病最快的是( )
A:脑出血
B:脑血栓形成
C:脑栓塞
D:蛛网膜下隙出血
E:腔隙性脑梗死
女性,24岁,一年前疲劳后视力减退,未经治疗约3周后好转,近1周感冒后出现双下肢无力和麻木,2日前向左看时视物双影。最可能的诊断是( )
A:重症肌无力
B:球后视神经炎
C:多发性硬化
D:脑干肿瘤
E:脊髓压迫症
青年女性,早期常有低热.关节痛及肌痛,半年后出现右眼一过性失明,左侧偏瘫,右颈部可闻血管杂音,血压两侧不等,血沉快,抗核抗体及类风湿因子(+)。试述该患者的诊断及治疗?
周期性瘫痪有三种类型,即(),()和()型;以()型最多见。
试述运动神经元病的鉴别诊断。
大脑中动脉主干与皮层支闭塞各有哪些主要表现?
家族史对于诊断神经系统遗传性疾病非常重要。
嗅觉性发作的病灶在___________。
简述老年人蛛网膜下隙出血的临床特点。
在慢性脑膜炎中要确诊新型隐球菌性脑膜的方法是( )
A:脑MRI中示肉芽肿块或软化坏死灶
B:肺部X线片中示结核样病灶
C:接触同病患者史
D:脑脊液墨汁涂片找到新型隐球菌
E:伴有颅内高压
与Shy-Drager综合征相鉴别的疾病包括__________、__________、__________、__________。
有关穿衣失用症正确的是( )
A:不能正确穿脱衣服
B:患者常不能拼积木、搭火柴
C:多由右侧顶叶病变所产生
D:与视觉性空间定向障碍有关
E:可伴有偏侧忽视、失语
病员左侧外展及左面神经下级性瘫痪,右侧上下肢上级性瘫痪,病变部位在()。
周围神经病变的主要症状是__________、___________、__________、__________。
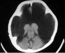
女,1岁半,头颅迅速增大,行CT检查如图,请选出最可能的诊断( )
A:积水型无脑畸形
B:硬膜外血肿
C:硬膜下血肿
D:硬膜下积液
E:脑内血肿
首页
<上一页
74
75
76
77
78
下一页>
尾页