自考题库
首页
所有科目
自考历年真题
考试分类
关于本站
游客
账号设置
退出登录
注册
登录
出自:放射医学主治医师
患者,男,35岁。急性腹痛,呕吐,腹胀,面色苍白入院,行平片及CT检查,如图。
急腹症最常用的检查方法()
A:吞钡
B:X线
C:CT
D:MRI
E:内镜检查
F:以上都不是
关于照片减影程序,正确的是()
A:摄取普通平片→摄取血管造影片片→制备mask→翻印成减影片
B:制备mask片→摄取普通平片→摄取血管造影片→翻印成减影片
C:制备mask片→摄取血管造影片→摄取普通平片→翻印成减影片
D:摄取普通平片→制备mask片→翻印成减影片→摄取血管造影片
E:摄取普通平片→制备mask片→摄取血管造影片→翻印成减影片
颅底部横轴位MR扫描,图像前部出现半环形无信号区,可能为()
A:化学位移伪影
B:金属异物伪影
C:卷褶伪影
D:截断伪影
E:搏动伪影
关节退行性变X线表现
不包括
()
A:关节间隙变窄
B:关节强直
C:关节软骨下骨质囊变
D:骨缘骨赘形成
E:骨性关节面硬化
患者,男,60岁,上腹隐痛半年余,黑便,胃肠钡剂造影见胃小弯龛影,胃壁僵硬,龛影口环堤征,最有可能的诊断是()
A:胃癌
B:慢性胃窦炎
C:胃溃疡
D:胃淋巴瘤
E:胃间质瘤
解剖上,腮腺分为浅深两叶,其分界为()
A:面神经管
B:面神经
C:腮腺导管开口
D:腮腺动脉
E:面静脉水平
患者,男,36岁,胸痛、咳嗽、活动后气急1周,查体:双肺呼吸音粗,心脏听诊无异常,血压124/80mmHg;胸部CT见对称性蝶翼状分布的自肺门向外围延伸的弥漫性边缘模糊细小结节影,其内可见支气管充气征;纵隔内未见明显肿大淋巴结;支气管镜肺泡灌洗物PAS染色阳性,则最可能的诊断为()
A:肺泡性肺水肿
B:细支气管肺泡癌
C:肺淀粉样变性
D:肺泡蛋白沉积症
E:肺含铁血黄素沉着症
心肌梗死的延迟增强扫描图像上,延迟性强化代表()
A:心肌纤维化
B:心肌缺血
C:心肌坏死
D:心室壁瘤
E:心肌修复
痛风性关节炎的早期病变发生于()
A:软骨下骨组织
B:关节软骨
C:关节滑膜
D:关节周围肌腱、韧带
E:关节周围皮下软组织
不属于
CT特殊扫描的是()
A:CTA
B:灌注扫描
C:CT透视
D:靶扫描
E:胃肠充气扫描
后纵隔区最常见的肿瘤是()
A:胸腺瘤
B:气管支气管囊肿
C:淋巴瘤
D:神经源性肿瘤
E:甲状腺肿瘤
女性,36岁,右膝关节肿胀疼痛2年,X线示膝关节股骨和胫骨非承重面虫噬样骨质破坏,骨质密度低,关节肿胀。哪种检查方法显示关节积液最敏感()
A:平片
B:DSA
C:CT平扫
D:MRI
E:增强CT扫描
正常小肠能产生逆蠕动的部位在()
A:空肠上段
B:空肠下段
C:回肠近段
D:回肠末端
E:回肠中端
椎管呈三叶草样改变见于()
A:钩椎关节钩突骨质增生
B:椎体后缘骨质增生
C:黄韧带肥厚
D:腰椎小关节突增生
E:椎间盘突出
部分容积效应可以通过下述哪种方法抑制()
A:改变频率编码方向
B:增加平均次数
C:全矩阵采集
D:减少层厚
E:增加FOV
下述关于宫颈癌的CT表现,错误的是()
A:宫颈增大,形成不规则软组织肿块
B:可局限于宫颈或蔓延至子宫体和旁
C:CT扫描盆腔淋巴结阴性不能除外淋巴结转移
D:向子宫外延伸出的分叶状肿块及盆壁软组织增厚
E:CT在宫颈癌分期上优于MRI
心包在MRI上显示较清楚的部位是()
A:左心室后外侧
B:右心室前面
C:左心房后方
D:右心房外侧
E:心尖区
患儿生后4个月出现发绀,杵状指,气急,X线平片示心影呈“靴形”,右心室增大,肺少血。最可能为()
A:房间隔缺损
B:室间隔缺损
C:动脉导管未闭
D:法洛四联症
E:先天性肺动脉狭窄
患者,男,28岁。腹痛、呕吐。CT示胰腺弥漫性增大,结构不清,胰周有较多渗液,部分包裹,局部可见气泡影。诊断为()
A:急性水肿性胰腺炎
B:急性坏死性胰腺炎
C:急性胰腺炎,假囊肿形成
D:急性胰腺炎,脓肿形成
E:急性胰腺炎,伴有出血
卵巢囊肿()
A:CT提示附件区或子宫直肠陷窝处的均一水样密度肿块,呈圆形或椭圆形,边缘光滑,壁薄,无内隔,增强扫描无强化
B:子宫输卵管造影可见宫腔内圆形充盈缺损,大者可致富腔增大、变形
C:尿路造影输尿管和膀胱受侵,输尿管、肾盂肾盏积水和膀胱壁不规则、僵硬
D:CT提示子宫腔内可见软组织密度肿物,密度低于正常强化的子宫肌,肿瘤呈菜花状或结节状,周围可为更低密度的子宫腔内积液所环绕,也可填充全部子宫腔
E:CT表现为盆腔内水样密度肿块,增强后周边明显环形强化
当肾癌侵犯下腔静脉形成瘤栓,而无淋巴结或远处转移,应分期为()
A:Ⅱ期
B:Ⅲc期
C:Ⅲb期
D:Ⅲa期
E:Ⅳa期
下列房室增大后,食管受压后移的是()
A:左房
B:右房
C:左室
D:右室
E:以上均不是
良性肿瘤的X线表现中,下列描述不适当的是()
A:一般无骨膜反应
B:骨破坏呈膨胀性
C:病变边缘清楚
D:不易侵及周围软组织
E:易形成瘤骨
患者,面部麻木,咀嚼肌萎缩半年。CT示中颅窝有一4.0cm×5.0cm低密度占位性病变,跨越到鞍旁,增强后呈均一强化,内听道正常。最可能的诊断是()
A:三叉神经瘤
B:脉络丛乳头状瘤
C:脑膜瘤
D:胶质瘤
E:转移瘤
胃环肌层最厚处是()
A:胃贲门部
B:胃体部
C:胃幽门
D:胃大弯
E:胃小弯
下列有关支气管肺癌的说法中,哪一项是错误的()
A:是男性发病率最高的恶性肿瘤
B:鳞癌是肺癌最常见的类型
C:X线胸片仍然是最主要的普查手段
D:通常中央型肺癌出现症状较周围型早
E:周围型肺癌比中央型更易漏诊
患者,女,55岁,无明显诱因出现发热,体温38.7℃,一周以来出现肝区疼痛,上腹饱胀,食欲缺乏,乏力,CT检查发现肝脏多发稍低密度病灶,大小不一,CT值30~40HU。
第1题,共2个问题
(单选题)下一步对确诊最有意义的处理应是()
A:血常规检查
B:临床密切随访
C:超声检查
D:CT增强及动态扫描检查
E:以上都不是
第2题,共2个问题
(单选题)根据以上临床及影像表现,以下哪种疾病的可能性最小()
A:肝血管瘤
B:肝细胞癌并肝内转移
C:细菌性肝脓肿
D:肝囊肿合并出血及感染
E:阿米巴性肝脓肿
最常用于肺癌灌注的药物是()
A:环磷酰胺
B:阿霉素
C:长春新碱
D:5-氟尿嘧啶
E:丝裂霉素
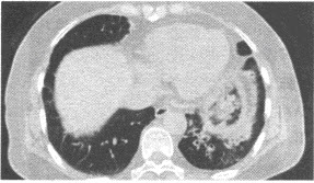
患者,女,57岁,咳嗽、咳痰两个月余,3天前咯鲜血一次,约5ml,作胸部CT扫描如图。则应诊断为()
A:周围型肺癌
B:支气管肺炎
C:中央型肺癌
D:支气管扩张
E:肺泡蛋白沉积症
患者,男,60岁,贫血、腰背部及胸骨疼痛并慢性肾衰竭2年余。头颅X线平片和胸椎CT显示骨质疏松和多发骨质破坏。确诊本病,最需要做下列哪一项检查()
A:MRI增强扫描
B:CT增强扫描
C:核素扫描
D:骨髓穿刺活检
E:尿常规
首页
<上一页
73
74
75
76
77
下一页>
尾页