出自:神经病学高级职称

关于强直性肌营养不良,下列哪项描述是正确的( )
A:血清CK和LDH等肌酶显著增高
B:肌电图出现典型肌强直放电
C:肌活检显示特异性肌源性损害
D:肌萎缩可试用苯丙酸诺龙治疗,加强蛋白合成代谢
E:改善肌强直状态可选用苯妥英

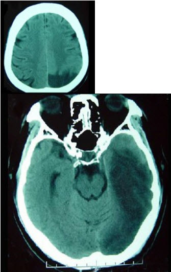
女性,77岁,有糖尿病史3年,高血压病史5年因左侧肢体无力1天入院。查体神志清楚,右侧同向偏盲,右侧轻度中枢性面瘫,右侧肢肌力4级,行头颅CT出现如图所示病灶。



第1题,共2个问题
(单选题)最可能的诊断是( )
A:颅脑肿瘤
B:颅内感染
C:脑梗死
D:多发性硬化
E:脑出血

第2题,共2个问题
(单选题)该病灶为哪根血管支配( )
A:大脑后动脉
B:脉络膜前动脉
C:大脑中动脉
D:颈内动脉
E:大脑前动脉
短暂性脑缺血发作(TIA)后神经功能完全恢复的时间最长不超过( )
A:1小时
B:6小时
C:12小时
D:24小时
E:36小时
一旦发生危象,出现呼吸肌麻痹,应立即_________,用人工呼吸器辅助呼吸。
为了确诊重症肌无力,目前国内常用的药物注射试验是( )
A:苯妥英钠试验
B:溴吡斯的明试验
C:阿托品试验
D:依酚氯铵(依酚氯铵)试验
E:新斯的明试验
脊髓空洞症
简述眼咽型肌营养不良症的临床特点。
动眼神经瘫痪时临床表现有哪些?
高血压脑出血急性期处理中不正确的措施是( )
A:立即使用止血药
B:保持安静,卧床休息
C:控制高血压
D:控制脑水肿,降低颅内压
E:防治并发症
简述Andersen综合征的临床特点。
莱姆病的传播主要通过( )
A:苍蝇
B:蚊子
C:蜱
D:医源性
E:性接触
八岁女孩,目前发生左手和左前臂抽搐,最后扩大到整个左上肢抽搐1分钟。连续发作2次后,左上肢肌力Ⅲ级,肱二头肌、肱三头肌腱反射减退。1天后肢体肌力和体征完全恢复正常。 本例癫痫发作的类型是( )
A:儿童良性中央一颞部棘波癫痫
B:儿童良性枕区放电癫痫
C:阵挛性发作
D:部分运动性发作
E:复杂部分性发作
颅底角是_________与_________所形成的角度。
有关红斑肢痛症错误的是( )
A:多见于中青年男女
B:症状以肢端,尤双足最常见
C:无剧烈疼痛
D:因为没有局部感染,所以没有红、肿、热、痛症状
E:皮肤发红、皮温增高、血管扩张、轻度肿胀、多汗
肌萎缩

患者,女性,65岁,既往患有糖尿病史10年,近半年来出现行走不稳,如踏棉花感。



第1题,共2个问题
(单选题)入院后行如图所示的查体。此项检查称为( )
A:痛觉
B:触觉
C:运动觉
D:两点辨别觉
E:振动觉

第2题,共2个问题
(单选题)如患者此项检查减退或消失发生原因为( )
A:脊髓丘脑束受损
B:脊髓前角细胞受损
C:脊髓反射的弧受损
D:脑干网状结构受损
E:后索受损
Bell’现象
试阐述慢性脊髓压迫症的髓外硬膜内和硬膜外病变的临床鉴别点?
治疗丛集性头痛哪种药物可能无效( )
A:麦角胺咖啡因
B:激素
C:维生素
D:睾丸素
E:去痛片
治疗三叉神经痛较能奏效的药物是()。
A:酰胺咪嗪
B:安定
C:七叶莲
D:利眠宁
E:苯妥英钠
Poser将MS的诊断分为_________、_________、_________、_________四大类。
患者,女性,28岁,角膜反射消失,除以下哪个部位损害外都可以出现此种现象( )
A:患侧三叉神经眼支
B:患侧三叉神经感觉主核
C:患侧面神经核
D:面神经
E:中脑顶盖
患者,男性,66岁,中午睡觉醒后发现右侧肢体无力,10小时后仍在加重,有糖尿病史7年。体查:血压140/90mmHg,右鼻唇沟变浅,伸舌偏右,右上肢肌力3级,右下肢肌力4级,右侧上肢和面部感觉减退,心电图示房性早搏,该患者最可能的诊断是( )
A:脑出血
B:脑血栓形成
C:脑栓塞
D:颅内硬膜外血肿
E:脑炎
痫样发作是指( )
A:大脑神经元反复异常放电
B:反复发作的短暂的中枢神经系统功能失常
C:癫痫反复发作
D:慢性脑病中的多次发作的癫痫
E:癫痫一次发作或其发作的短暂过程
麻痹性痴呆
伴有腓肠肌假肥大的多见的进行性肌营养不良症为( )
A:Duchenne肌营养不良和Erb型肢带型肌营养不良
B:Beeker肌营养不良和Gower型肌营养不良
C:Duchenne肌营养不良和Gower型肌营养不良
D:Becker肌营养不良和Duchenne肌营养不良
E:Duchenne肌营养不良和眼肌型肌营养不良
Lyme病
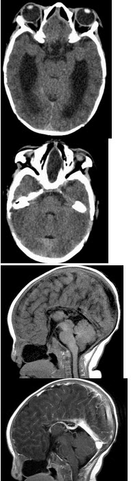
两个月女婴,口咽部有一肿块,行CT检查如图,请选择最可能的诊断( )
A:脑积水
B:胼胝体发育不全
C:透明隔囊肿
D:前脑无裂畸形
E:Dandy-Walker综合征
大脑皮质运动区病变引起的瘫痪多表现为( )
A:截瘫
B:四肢瘫
C:交叉性瘫
D:完全性均等性偏瘫
E:单瘫或不均等偏瘫
何为抽动秽语综合征?