自考题库
首页
所有科目
自考历年真题
考试分类
关于本站
游客
账号设置
退出登录
注册
登录
出自:内分泌学高级职称
下列关于浸润性突眼的特点哪项
不正确
( )
A:眼睛自觉症状明显
B:可伴有胫前黏液水肿
C:男性患者比女性患者多
D:可无甲状腺功能亢进症状
E:不侵犯眼外肌和眼球后组织
下列药物中哪些可单独用于治疗嗜铬细胞瘤( )
A:酚妥拉明
B:苄氨唑林
C:硝普钠
D:β-受体阻滞剂
E:α-甲基间酪氨酸
患者男,24岁,因“性功能下降4年”来诊。查体:身高175cm;皮肤无色素沉着,无胡须和喉结,有乳腺发育,无腋毛,阴毛少许,睾丸约3ml,质韧,阴茎约4cm。最可能的诊断是()。
A:Klinefelter综合征
B:低促性腺激素型性腺功能减退症
C:Turner综合征
D:先天性肾上腺皮质增生
E:心肌炎
早期糖尿病肾病使用的治疗药物是()。
A:软化血管药
B:血管紧张素转换抑制酶
C:利尿药
D:胰岛素
E:保肾药
关于糖化血红蛋白
不正确
的是( )
A:可以了解取血前2~3个月平均血糖控制情况
B:是目前判断糖尿病血糖控制水平的最好指标之一
C:是葡萄糖与血红蛋白β链N端非酶糖化而成,是可逆反应
D:其量与血糖浓度呈正相关
E:糖化血红蛋白AL正常值为8%~10%
男性,38岁。2年前因垂体瘤行经鼻垂体瘤摘除术。手术后轻度乏力。近1个月来乏力加重,颜面浮肿,伴头晕、恶心、呕吐就诊。检查:BP8/5.3kPa(60/40mmHg),HR56次/min,TT30.3ng/ml,TT419ug/ml。TSH0.4uU/ml。诊断为垂体前叶功能低下。下列哪项处理是错误的()。
A:24小时尿17-羟、17-酮测定
B:可做TRH兴奋试验了解垂体储备功能
C:垂体性甲状腺功能减退诊断明确,应立即补充甲状腺激素
D:应先补充肾上腺皮质激素
E:应首先补充糖皮质激素,然后补充甲状腺激素
腺垂体功能减退治疗过程中应先补给甲状腺激素,然后再补充糖皮质激素。
病历摘要:患者,男性,40岁,因“反复发作头痛,伴恶心、呕吐20年”来诊。20年来患者常无明显诱因出现剧烈头痛,发作时伴恶心,呕吐胃内容物,非喷射状,无头晕、耳鸣、视力下降。持续数秒后自行缓解。曾在发作时测量血压为260/120mmHg,平素血压130/80mmHg。近来发作较以往频繁,且持续时间增长,余性质同前。关于嗜铬细胞瘤,可能出现下列哪一种(或哪几种)临床表现?()
A:阵发性高血压
B:持续性高血压
C:排便时诱发高血压
D:腹部触诊时诱发高血压
E:低血压
F:烦躁、焦虑;消瘦;急性腹痛
发生糖尿病酮症酸中毒时,补碱原则错误的是( )
A:血PH降至7.1时需补碱
B:血HCO,降至5mmol/L时需补碱
C:补碱过快易致脑细胞酸中毒
D:随代谢紊乱的纠正,代谢性酸中毒会加重应增加补碱量
E:CO结合力>11.2~13.5mmol/L,无明显中毒,大呼吸者,可暂不补碱
血中直接调节胰岛素分泌而且经常起调节作用的重要因素是()。
A:游离脂肪酸
B:血糖浓度
C:肾上腺素
D:胃肠道激素
E:血酮体浓度
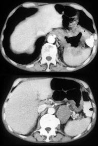
男,57岁,腹部隐痛不适伴低热2月余,腋下可触及数个肿大的淋巴结,请结合图像,作出诊断( )
A:左侧肾上腺癌并胃脾转移
B:左侧恶性嗜铬细胞瘤侵及胃脾
C:左侧肾上腺淋巴瘤且胃脾受累
D:左侧肾上腺腺瘤
E:左侧肾上腺转移瘤
结合以下图片,下列关于甲状旁腺及其激素的说法正确的是( )
A:甲状旁腺激素的分泌受血钙、血镁、儿茶酚胺等物质的调节
B:低血钙可以兴奋甲状旁腺而血浆游离钙升高时抑制PTH的分泌
C:甲状旁腺激素主要作用于骨骼和肾脏,调节机体的血钙血磷代谢
D:外源性的TIP和恶性肿瘤分泌的PTHrP的N端核PTH的N端有高度同源性,故TIP和PTHrP增高时也会引起甲旁亢的临床表现
E:以上说法都正确
患者男,35岁,因“头晕、头痛5年,加重1年”来诊。患者母亲有嗜铬细胞瘤手术史。查体:BP150/90mmHg;甲状腺Ⅱ度肿大,右侧可触及一结节;双肺呼吸音清,无啰音;HR76次/min,律齐,未闻及杂音;腹平软,无压痛,肝、脾剑下未及。实验室检查:血甲氧基肾上腺素及甲氧基去甲肾上腺素明显升高。肾上腺CT:双侧肾上腺占位。颈部B超:右侧甲状腺占位。如进行分子生物学检查,该患者应首选的基因检查是()。
A:NF1
B:RET
C:VHL
D:SDHD
E:SDHB
诊断多囊卵巢综合征(PCOS)应排除的相关疾病有()。
A:皮质醇增多症
B:侏儒症
C:先天性肾上腺皮质增生
D:甲状腺功能减退症
E:卵巢男性化肿瘤
哪个可诊断糖尿病( )
哪个可诊断为IGT( )
A:OGTT2小时血糖≥7.8mmol/L且<11.1mmol/L,空腹血糖<6.1mmol/L
B:空腹血糖<6.1mmol/L
C:空腹血糖<7mmol/L
D:OGTT2小时血糖≥7.8mmol/L
E:有糖尿病症状,任何时候血糖≥11.1mmol/L
女性,27岁,心慌、多汗、多食、消瘦1个月来院就诊。查体:甲状腺二度肿大,右上极可闻及血管杂音。进行治疗期间应该监测的指标
不包括
()。
A:血常规,肝功能
B:大便次数
C:心率
D:血脂情况
E:甲状腺功能
女,15岁,发现颈部增粗1个月。无怕热、多汗、心慌、消瘦等不适,食欲可。查体:T:36.5℃,P:70次/分,甲状腺二度肿大,边界清楚,表面光滑,质软,无压痛,未闻及血管杂音,心率70次/分,律齐,未闻及病理性杂音,双手平伸未见细震颤。辅助检查:FT3 3.1pg/ml(2.3~4.2pg/ml),FT4 1.2ng/dl(0.89~1.80ng/dl),STSH2.3mIU/L(0.35~5.5mIU/L)。请分析:(1)诊断及诊断依据。(2)应与哪些疾病鉴别?(3)治疗原则是什么?
下列哪种疾病不伴有高脂血症( )
A:糖尿病
B:甲减
C:垂体性侏儒症
D:肾病综合征
E:动脉粥样硬化
可用于鉴别胃泌素瘤与胃窦G细胞增生的实验室检查是()。
A:胃液分析
B:标准餐刺激试验
C:钙剂激发试验
D:胰泌素激发试验
E:空腹血清胃泌素测定
糖尿病的急性并发症包括()。
A:糖尿病酮症酸中毒
B:糖尿病性心肌病
C:糖尿病性视网膜病变
D:糖尿病肾病
E:糖尿病足
胰岛分泌的激素有()。
A:胃泌素
B:胰升血糖素
C:生长抑素
D:胰岛素
E:降钙素
患者女,45岁。因“幽门梗阻”行持续胃肠减压15d,每日补10%葡萄糖溶液2500ml,5%葡萄糖盐水1000ml,10%氯化钾溶液30ml。2d前开始出现全腹膨胀,无压痛及反跳痛,肠鸣音消失,每日尿量1500ml左右。
第1题,共2个问题
(单选题)出现这种情况最可能的原因是()。
A:低钾血症
B:低钠血症
C:高钾血症
D:高钠血症
E:低钙血症
第2题,共2个问题
(单选题)首选的治疗方案是()。
A:补充氯化钠溶液
B:补充葡萄糖
C:补充葡萄糖酸钙
D:补充氯化钾
E:补充碳酸氢钠
类固醇激素发挥作用是通过与细胞核受体结合
下述哪个甲状腺激素在甲亢时升高最常见和最有诊断意义()。
A:TT
3
B:TT
4
C:FT
3
D:FT
4
E:rT
3
女性,17岁。心慌多汗半年。近1个月出现多饮、多尿就诊。体检:明显消瘦,双眼略突出,甲状腺Ⅱ度大,双上极可闻及血管杂音。血Fr333.5pmol/L,FT440pmol/L,TSH0.01mU/L(0.01μU/ml)
第1题,共9个问题
(单选题)为了全面诊断,不应考虑的检查是()。
A:甲状腺球蛋白抗体,甲状腺微粒体抗体测定
B:甲状腺吸碘率测定
C:空腹及餐后2小时血糖测定
D:TRAb测定
E:TSH兴奋试验
第2题,共9个问题
(单选题)关于对本例患者甲状腺功能亢进的治疗,选择以下哪种方案最为恰当()。
A:抗甲状腺药物治疗
B:手术治疗
C:I治疗
D:小剂量抗甲状腺药物治疗
E:免疫抑制剂治疗
第3题,共9个问题
(单选题)在治疗患者甲状腺功能亢进时加用了普萘洛尔,在治疗过程中下列哪种情况的变化是至关重要的()。
A:随访心电图
B:监测血压
C:监测血糖
D:监测心率
E:随访甲状腺功能
第4题,共9个问题
(单选题)在治疗甲状腺功能亢进时为了经常随访疗效,下列检查不能作为考核疗效指标的是()。
A:FT3、FI4
B:
131
I吸收率
C:TRAb
D:基础代谢率
E:安静时心率
第5题,共9个问题
(单选题)在起病半年内,在患者血清中检测的多种自身抗体其中不应该出现的是()。
A:TGA、MCA
B:胰岛细胞抗体与胰岛素抗体
C:胰岛素受体抗体与TsH受体抗体
D:TSH受体抗体与类风湿因子
E:E.双链DNA抗体(ds-DN
第6题,共9个问题
(单选题)患者每餐前尿糖均为(++~+++),空腹血糖12~16mmol/L,HbAlc12.1%。有关糖尿病的诊断,下列可能性最大的是()。
A:2型糖尿病
B:1型糖尿病
C:营养不良相关性糖尿病
D:继发性糖尿病
E:应激性高血糖
第7题,共9个问题
(单选题)此时应选择下列哪种方案控制糖尿病最为恰当()。
A:立即开始胰岛素治疗
B:口服磺脲类降糖药
C:单纯控制甲状腺功能亢进即可
D:双胍类治疗
E:必须首先单独控制饮食4周
第8题,共9个问题
(单选题)甲状腺功能亢进控制后,糖尿病预后()。
A:糖尿病可完全治愈
B:糖尿病进一步恶化
C:与甲状腺功能亢进病情变化无关
D:糖尿病病情无变化
E:糖尿病病情可减轻
第9题,共9个问题
(单选题)甲状腺功能亢进治疗4周后,心慌,多汗基本消失,T3、T4水平基本恢复正常,此时最应警惕的并发症是()。
A:甲状腺功能减退(药物性甲状腺功能减退)
B:突眼加重
C:应用原来剂量胰岛素可能出现低血糖
D:白细胞下降
E:药物性肝炎
关于甲亢的药物保守疗法正确的是( )
A:用药至少应持续2年
B:适用于年轻,轻度甲状腺肿大和轻度甲亢患者
C:用摄碘率来判断甲亢是否控制
D:如出现甲状腺较前肿大和血管杂音更明显,可加用甲状腺片
E:T3抑制试验正常,可以停药
8岁男孩,因呕吐伴手足搐搦2日住院。患者曾发生呕吐三次。住院时疲乏无力,尿少,口渴。测:血浆钠130mmol/L。
第1题,共2个问题
(单选题)患者手足搐搦的原因为()。
A:缺Na
+
B:缺Ca
+
C:缺Mg
+
D:缺K
+
E:缺Cl
+
第2题,共2个问题
(单选题)若患者有脱水其程度应为()。
A:轻度
B:中度
C:重度
D:极重度
E:不存在脱水
患者女,32岁,患Addison病。以往常用泼尼松替代治疗,近2个月来出现午后低热、消瘦。实验室检查:ESR50mm/h,结核抗体试验(+),OT试验强阳性,ASO250U/L,RF(-)。胸部X线片:正常。
第1题,共3个问题
(单选题)对该患者应用某种药物治疗时,为防止发生Addison危象,可能需增加激素替代量,这种药物是()。
A:头孢氨苄
B:雷公藤
C:布洛芬
D:利福平
E:乙胺丁醇
第2题,共3个问题
(单选题)应考虑患者为()。
A:结核病,非活动期
B:合并风湿热
C:活动性结核
D:合并类风湿关节炎
E:恶性肿瘤
第3题,共3个问题
(单选题)最合适的治疗是()。
A:加抗结核药物
B:加免疫抑制剂
C:加布洛芬缓释胶囊
D:加用抗生素
E:加抗癌药
女性患者,40岁,3月来表现记忆力减退,反应迟钝,精神抑郁,体重增加,便秘,面色苍白,毛发脱落,血清胆固醇340mg%。
第1题,共2个问题
(单选题)为确定诊断应做的检查是()。
A:血清5-HT
B:血清T3
C:血清T4
D:血清TSH、FT4
E:血NE
第2题,共2个问题
(单选题)该患者最可能的诊断是()。
A:抑郁症
B:甲状腺功能减退
C:高脂血症
D:神经衰弱
E:单纯性肥胖
患者,女,72岁。尿频、尿急伴发热3天,意识不清4小时由家属送入院。否认糖尿病史。高血压史12年。
第1题,共3个问题
(单选题)体检时下列哪项体征对诊断有特殊意义()。
A:心动过速
B:皮肤干燥
C:呼气有烂苹果味
D:中度昏迷
E:BP160/100mmHg
第2题,共3个问题
(单选题)如果患者在抢救治疗过程中血糖进行性下降,为了避免发生低血糖反应,应及时静脉滴注葡萄糖溶液。在血糖下降至何种水平时加用葡萄糖溶液()。
A:7.8mmol/L
B:11.1mmol/L
C:6.7mmol/L
D:5.6mmol/L
E:13.9mmol/L
第3题,共3个问题
(单选题)应做下列哪项检查能最快帮助诊断()。
A:血糖、血酮
B:尿糖、尿酮
C:血气分析
D:微量血糖测定
E:肝、肾功能
首页
<上一页
71
72
73
74
75
下一页>
尾页