出自:神经病学高级职称

全面性强直—阵挛发作需与哪些疾病鉴别?
丛集性头痛
某患者双上肢痛、温觉障碍,精细触觉和深感觉正常,其损害部位为( )
A:双侧C5~T8后根
B:双侧颈膨大后角
C:双侧臂丛
D:C5~T2脊髓前联合
E:双侧颈膨大后索
昏迷程度的分级?
神经活检最常用的取材部位是( )
A:腓肠神经
B:尺神经
C:桡神经
D:股外侧皮神经
E:肌皮神经
产生闭锁综合征脑梗死部位位于双侧内囊。( )

患者,男,23岁,常见足趾或足底红、肿、热、痛,疼痛呈阵发性,如图示,可持续数分钟、数小时或数日,为剧烈烧灼痛,夜间明显且发作次数较多。



第1题,共2个问题
(单选题)关于此患者查体所见哪项是错误的( )
A:患肢皮色发红、皮温增高、血管扩张、轻度肿胀和多汗
B:轻压患肢可使红色暂时消退
C:患肢足背动脉搏动异常
D:患肢无运动、反射及感觉障碍
E:患者晚期出现营养障碍,肢端皮肤与指甲变厚、溃破甚至坏疽

第2题,共2个问题
(单选题)对于此患者的处理哪项是正确的( )
A:急性期应卧床休息,抬高患肢
B:急性期局部热敷或将肢体置于热水中减轻疼痛
C:急性期后应避免任何引起血管收缩的局部刺激
D:血小板增高性红斑肢病症可用大剂量阿司匹林口服
E:肾上腺皮质激素短期冲击治疗无效
如何结合单纯疱疹病毒性脑炎的病理来阐述其临床表现?
对单纯疱疹病毒性脑炎的临床预后无影响的是( )
A:诊断、治疗是否及时
B:对症支持处理是否完善
C:免疫治疗是否得当
D:脑脊液中的病毒数量
E:抗病毒药物的疗程是否足够
脊髓梗死常见的综合征有( )
A:脊髓前动脉综合征
B:脊髓后动脉综合征
C:脊髓横贯性损害综合征
D:脊髓中央动脉综合征
E:脊髓不全横贯性损害综合征
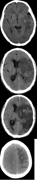
男,58岁,突然出现右侧肢体无力,CT检查如图,最可能的诊断为( )
A:星性细胞瘤
B:胶质母细胞瘤
C:出血性脑梗死
D:转移瘤
E:脑梗死
病理干扰相
小脑出血有哪些临床表现?
男性,18岁。前天午睡后发现口角歪斜,今日右眼闭合困难,流泪。食物易留在右齿颊内。检查发现右额纹浅,右闭眼露白,右鼻唇沟浅,示齿时口角歪向左侧。五官和其他神经系无异常体征。 最适宜的治疗( )
A:钾盐
B:丙种球蛋白
C:泼尼松
D:溴吡斯的明
E:针灸
节段型分布的痛温觉障碍,无深感觉和触觉障碍,病变部位在( )
A:脊髓丘脑侧柬
B:脊髓丘脑前束
C:脊神经节
D:后根
E:后角
下列关于分水岭梗死的描述不正确的是( )
A:多无意识障碍
B:是相邻血管供血区之间的边缘带缺血
C:动脉源性栓塞亦可引起该病
D:主要是由于血液流变学异常所致
E:临床上呈卒中样发病,多有血流动力学障碍所致
以恐怖不安或焦虑为特征的梦境体验是指( )
A:睡行症
B:睡惊症
C:梦魇
D:REM睡眠行为障碍
E:不安腿综合征
晕厥与癫痫的鉴别为( )
A:短暂意识障碍
B:常有诱因
C:抽搐少见
D:面色苍白、出汗
E:EEG上无癫痫波
论述脊髓小脑性共济失调的共有症状和各亚型的临床特征性症状。
EEG在临床上应用于哪些方面?

患者,女性,30岁,1年半前出现右胸背部疼痛,1年前右下肢无力,左下肢痛温觉迟钝,近8个月双下肢无力,上楼困难,排尿困难和便秘4个月,不能行走1个月。查体:双上肢正常,双下肢肌力2~3级,肌张力增高,膝反射亢进,双Babinski征(+)。



第1题,共4个问题
(单选题)该患者最可能的诊断是( )
A:脊髓压迫症
B:脊髓蛛网膜炎
C:脊髓空洞症
D:脊髓亚急性联合变性
E:脊髓炎

第2题,共4个问题
(单选题)该患者的病变部位可能在( )
A:高颈段脊髓
B:颈膨大
C:胸段脊髓
D:腰膨大
E:周围神经 

第3题,共4个问题
(单选题)下列哪项辅助检查没有意义( )
A:脊柱X线平片
B:脑CT
C:腰穿和脑脊液检查
D:脊髓MRI检查
E:脊髓造影

第4题,共4个问题
(单选题)该患者最重要的治疗是( )
A:良好的护理
B:早期应用激素
C:病因治疗
D:适量的抗生素
E:中医中药
颅底角
神经梅毒的病原体是__________。
霍纳征的病侧眼部表现为( )
A:瞳孔散大、眼裂变大、眼球凸出
B:瞳孔缩小、眼裂变小、眼球凹陷
C:瞳孔散大、眼裂变小、眼球凹陷
D:瞳孔散大、眼裂变小、眼球凸出
E:瞳孔缩小、眼裂变大、眼球凸出
oculocardiac reflex
以下哪项不符合股外侧皮神经病( )
A:糖尿病是其病因之一
B:大腿外侧部感觉异常
C:一侧受累
D:男性多见,慢性病程,预后良好
E:膝腱反射亢进
Lambert-Eaton综合征已确认与原发肿瘤有关,约2/3的患者伴有癌肿,最多见为_________。
嗅觉检查时不宜使用下列哪种物品( )
A:酒精
B:松节油
C:香烟
D:牙膏
E:香皂
经皮质性失语的共同特点是__________,可分为__________、____________和___________。
男性,56岁,高血压病10年,糖尿病6年。1年前曾心肌梗塞。6小时前,清晨家人发现病人意识不清,右侧肢体不能动。检查:血压24/12kPa(180/90mmHg),中度昏迷,瞳孔左侧5mm、右侧2mm,对光反应左侧消失、右侧存在,右侧鼻唇沟浅,压眶右侧上下肢未见运动,四肢腱反射未引出,双侧病理征(+)。脑CT:脑内未见异常密度。最可能的诊断是()。
A:脑出血
B:脑血栓形成
C:脑出血合并脑疝形成
D:脑血栓形成合并脑疝形成
E:脑栓塞