出自:消化内科学高级职称

消化性溃疡的主要病因是( )
A:非甾体抗炎药
B:胃蛋白酶
C:胃动力异常
D:幽门螺杆菌
E:应激与心理因素
男,51岁,反复胸骨后闷痛11年,有时有烧灼感,饱餐后和平卧时易发,无心悸、气促、吞咽困难、消瘦等。体检:血压160/70mmHg,无明显阳性体征。(1)诊断?(2)可以考虑的试验性治疗药物?
甲胎蛋白的阳性可早于肝癌出现临床症状()。
A:2~3个月
B:4~5个月
C:6~7个月
D:8~11个月
E:12个月以上
关于溃疡性结肠炎的叙述,错误的是( )
A:最多见于直肠和乙状结肠
B:溃疡间粘膜增生可形成假息肉及桥状粘膜
C:肠粘膜水肿呈鹅卵石路面状,可有裂沟状深溃疡
D:X线检查可见结肠袋消失、肠管缩短变细,呈铅管状
E:严重时可并发肠穿孔或癌变
患者,男性,50岁,既往有乙型肝炎病史,近日感腹胀,进食少量粗糙食物后,出现呕血700ml,间断黑便300ml,查体:血压90/70mmHg,心率105次/min,肠鸣音亢进。该患者出血量较大,若紧急止血治疗应采取()。
A:抗酸药治疗
B:输血
C:三腔二囊管压迫止血
D:手术治疗
E:胃黏膜保护剂
F:垂体后素
男35岁,右上腹空腹痛反复发作5年,近1周加重,近三天黑便(成形),为进一步明确诊断应首选何种检查( )
A:胃肠钡餐透视
B:胃液分析
C:粪便隐血
D:便查钩虫卵
E:胃镜
精神因素和应激因素一直被认为与功能性胃肠病的发病有密切关系
肝癌的特殊全身性表现,不包括下列哪项( )
A:低血糖症
B:异常凝血酶原
C:红细胞增多症
D:高血钙
E:高血脂
一位因发热住院患者经检查发现存在以下问题,哪项最支持其存在门脉高压症()。
A:脾大
B:肝大
C:痔核
D:食管下段静脉曲张
E:腹水
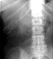
女,39岁,右上腹部隐痛,有慢性胆囊炎史,曾经做过口服胆囊造影,胆囊未正常显影,X线检查如图,最可能的诊断是( )
A:急性胆囊炎
B:慢性胆囊炎
C:胆囊结石
D:瓷样胆囊
E:胆囊结核
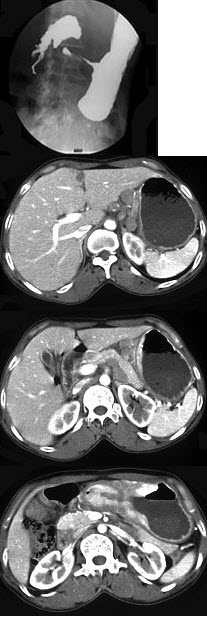
女,56岁,上腹部钝痛、腹胀不适1月余,纳差、消瘦,影像检查如图,最可能的诊断是( )
A:胃幽门管溃疡
B:胃腺癌并幽门狭窄
C:胃淋巴瘤
D:胃间质瘤
E:胃恶性间质瘤
接种过乙肝疫苗( )
既往感染甲型肝炎,获得了特异性免疫力( )
乙型肝炎患者或病毒携带者( )
乙型肝炎与丙型肝炎病毒重叠感染,可能为现症感染,也可能为病毒携带者( )
A:乙肝五项为HBsAg、HBeAg、anti-HBc阳性
B:anti-HBs、anti-HBe、anti-HBc阳性,HBV-DNA阴性
C:anti-HBs阳性
D:anti-HAVIgM阴性,anti-HAVIgG阳性
E:HBsAg、anti-HBc阳性,anti-HCV阳性
关于胃泌素瘤临床表现,下列描述不正确的的是( )
A:胃粘膜皱襞纤细
B:溃疡手术后易复发
C:常伴有腹泻
D:球后或空肠溃疡多见
E:顽固性溃疡
中晚期食管癌的肉眼类型有( )
A:平坦型
B:溃疡型
C:蕈伞型
D:髓质型
E:缩窄型
患者男,40岁,1年前晚餐后中上腹阵发性绞痛,伴恶心、呕吐,黄色稀水样粪便4次,排粪后腹痛、恶心、呕吐减轻。此后反复发作,进食多时明显。查体:上腹轻压痛。

第1题,共2个问题
(多选题)下一步为明确诊断可考虑的诊断措施包括()。
A:腹部增强CT
B:腹腔镜
C:消化内镜下多点黏膜活检
D:腹腔穿刺
E:幽门螺杆菌呼气试验

第2题,共2个问题
(多选题)为明确诊断首先应检查的项目包括()。(提示:查体:T36.5℃,P80次/min,R20次/min,Bp120/60mmHg。巩膜无黄染,腹部膨隆,腹软,上腹部轻压痛,移动性浊音(+),肠鸣音正常。)
A:血常规
B:粪常规、寄生虫卵及隐血
C:腹部超声
D:腹部CT
E:心电图
某肝硬化腹水患者,近来低热腹痛,且腹水量增加。腹水常规:李凡他试验(+),白细胞0.5×109/L,中性粒细胞80%。最可能合并哪种疾患( )
A:结核性腹膜炎
B:门静脉血栓形成
C:自发性腹膜炎
D:原发性肝癌
E:肝肾综合征
女性,50岁,渐感气短胸闷1个月入院,查肺功能示VC%为60%,FEV1.0/FVC%为85%,MVV为70%,RV/TLC%为30%,VC25%及VC50%均为70%,TLC为3500ml,下列最可能的是()。
A:阻塞性通气功能障碍
B:限制性通气功能障碍
C:混合性通气功能障碍
D:小气道功能受损
E:大气道功能受损

患者男,57岁。反复便血4个月。患者4个月前,排便时发现粪便表面附着少量鲜血,未予理会,以后常常发现粪便表面带血,无黏液及脓,无腹痛,无里急后重,大便每日一次。发病以来无发热,食欲好,体重无明显变化。查体:一般状态好,皮肤黏膜未见出血点,心肺查体未见异常,腹平软,肝脾肋下未触及,全腹无压痛,未触及包块,肠鸣音正常。



第1题,共2个问题
(多选题)为确定诊断,应进一步做哪些检查()。
A:便常规及潜血
B:肛诊
C:纤维结肠镜及活检
D:腹部血管彩超
E:立位腹平片
F:便细菌培养

第2题,共2个问题
(多选题)本例做纤维结肠镜检查,在进镜25cm处见-隆起性病变,短蒂,表面较光滑,明显发红,乙状结肠黏膜充血水肿,血管纹理不清,其他部位黏膜未见异常。诊断为:慢性结肠炎,结肠息肉。病理诊断:结肠管状腺瘤。对于该病例可给予哪些处置()。
A:观察,不予处置
B:结肠部分切除术
C:内镜下息肉切除术
D:质子泵抑制剂
E:抗生素
F:定期复查结肠镜
治疗脂肪泻正确的是()。
A:每餐补充30000U的脂肪酶
B:长链三酰甘油代替饮食中的部分脂肪
C:给予PPI
D:使用抗生素
E:增加止泻剂的用量
病毒性肝炎的临床类型不包括( )
A:急性肝炎
B:慢性肝炎
C:重型肝炎
D:淤胆型肝炎
E:药物性肝损害 
什么是维生素B吸收试验?其意义是什么?
HP感染引起高促胃液素血症的机制有哪些?
男性,32岁,在一次体检中发现血中乙型肝炎表面抗原阳性已半年,但其他无任何不适感觉,其他各项体检及化验均正常。该患者属于()。
A:显性感染
B:潜伏性感染
C:隐性感染
D:病原携带状态
E:病原体被清除
男性,58岁。突然呕血300ml,排不成形黑便2次共约200ml。查体:BP100/70mmHg,心率112次/分,心律齐,无杂音,腹软,脾肋下2cm,移动性浊音阳性。心电图示在V、V导联ST段水平下移1mm。下列哪项处理错误()。
A:急诊胃镜
B:胃液分析
C:X线钡餐透视
D:血清胃泌素测定
E:上腹部B超
溃疡性结肠炎的病变部位多在_________;而克罗恩病的病变部位多在_________。
患者女,34岁,体检发现氨基转移酶升高,进一步检查提示:肝功能ALT315U/L,AST210U/L,ALP108U/L,GGT56U/L,ALB38.3g/L,GLO49g/L,CHE7.26kU/L,TBil14.38μmol/L。肝炎病毒标志物阴性。免疫球蛋G4680mg/dl。ANA1∶160(胞浆),AMA-M2(-)。铁蛋白、血清铁、总铁结合力正常。铜蓝蛋白正常。目前诊断首先考虑的疾病是()。
A:自身免疫性肝炎
B:原发性胆汁性肝硬化
C:原发性硬化性胆管炎
D:系统性红斑狼疮
E:肝豆状核变性
男性,35岁,因服吲哚美辛数片后觉胃痛,今晨呕吐咖啡样胃内容物400ml来诊。既往无胃病史。首选的检查是()。
A:血清胃泌素测定
B:B型超声检查
C:X线胃肠钡餐
D:急诊胃镜检查
E:胃液分析
双侧近端指间关节增生、肿胀呈梭形改变,对称分布的疾病是()。
A:风湿热
B:类风湿关节炎
C:尺神经损伤
D:进行性肌萎缩
E:腱鞘滑膜炎
男性,72岁,慢性胃炎30年,近2周出现发作性胸痛,伴反酸、烧心、呃逆,此时首先要进行以下哪种检查()。
A:胃镜
B:心电图
C:冠脉造影
D:食道24小时pH监测
E:食道测压
以下哪一项不是代偿期肝硬化的临床表现( )
A:乏力
B:食欲不振
C:肝脏轻度肿大
D:鼻出血及齿龈出血
E:脾脏轻度肿大