自考题库
首页
所有科目
自考历年真题
考试分类
关于本站
游客
账号设置
退出登录
注册
登录
出自:神经病学高级职称
患者,男,20岁,鼻塞、发热、头痛、周身酸痛,4天后好转。7天后先觉双下肢无力,次日双下肢完全瘫痪,尿便障碍。自T水平以下深、浅感觉丧失。腰穿、压颈通畅,脑脊液化验正常。 该病急性期治疗,下列哪项是不必要的( )
A:皮质类固醇激素
B:选用适当抗生素
C:大剂量脱水药物
D:处理排尿障碍、防治尿路感染及防治褥疮
E:早期康复训练
下列哪项痫性发作的表述是
不正确
的( )
A:痫性发作可分为部分性发作和全面性发作两个主要类型
B:单纯部分性发作的痫性放电起始于脑局部,不伴意识障碍
C:全面性发作起始于脑局部,伴意识障碍
D:部分性发作的痫性放电起源于一侧脑部
E:全面性发作的痫性放电起源于两侧脑部
原发性(特发性)癫痫
帕金森综合征
头痛的诊断原则有哪些?
Friedreich型共济失调是常染色体隐性遗传。( )
坐骨神经痛检查时可发现的体征有( )
A:沿坐骨神经通路的压痛点
B:沿坐骨神经通路的压痛点
C:小腿或足背外侧感觉减退
D:膝腱反射消失
E:踝反射减弱或消失
慌张步态
MS患者的头部快速向前伸,可能会出现( )
A:下肢出现肌张力障碍姿势
B:沿脊柱向下延伸可以到达下肢的放电样感觉
C:双侧垂腕
D:自发性排尿和双侧足底反射伸性
E:迅速出现半侧面痛
特殊类型的偏头痛有下列几种:________,________,________,________,________。
试述髓外硬脊膜内肿瘤的临床特点?
关于与癫痫有关的辅助检查,哪一项是错误的( )
A:video-EEG能够鉴别癫痫和假性癫痫发作
B:诊断癫痫脑磁图(MEG)不如EEG敏感
C:PET发现海马硬化的敏感性高
D:正常成年人EEG上亦可发现癫痫波
E:症状性癫痫应常规行头部MRI检查
古茨曼(Gerstmann)综合征的表现?
当脑包虫病诊断可疑时不宜进行脑活检,因囊肿的破裂可以导致__________和__________。
脑型血吸虫导致脑部损害的机制是( )
A:门静脉系的血吸虫产生的毒素,经过血液到脑部
B:体内的血吸虫虫体抗原造成的变态反应性脑部损害
C:血吸虫的成虫经血管进入脑内,直接损害脑部
D:血吸虫虫卵经血行进入脑实质,造成损害
E:以上均不是
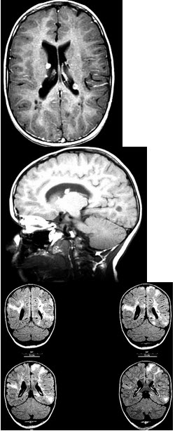
男性,7岁,癫痫间歇性发作三月余,面部有皮脂腺瘤,MR检查如图,最可能的诊断是( )
A:神经纤维瘤病
B:脑颜面部血管瘤病
C:脑囊虫病
D:结节性硬化
E:脑灰质异位
浅感觉检查
不包括
( )
A:触觉
B:振动觉
C:热觉
D:痛觉
E:冷觉
关于腓骨肌萎缩症哪一项错误( )
A:无感觉障碍
B:神经源性肌萎缩
C:爪形手
D:鹤腿
E:锥体束征阴性
pure sensory stroke
瞳孔对光反射的传入神经为__________,传出神经为___________。
右耳传导性聋时,韦伯(Weber)试验偏向()侧。
帕金森病的静止性震颤,在()时出现或明显,()时减轻或停止,()后消失。
何谓脊髓休克及急性脊髓炎的病因可能是?
男性,56岁,2年前曾心肌梗塞。2天前休息时,突然意识不清,四肢抽搐,尿失禁,持续约2分钟,左侧肢体未见运动,半小时后清醒。检查:神志清楚,血压正常,构音不清,双眼向左侧注视麻痹,左侧上下肢肌力0级,左病理征阳性。颈软,Kernig征(-)。最可能的诊断是()。
A:脑出血
B:蛛网膜下腔出血
C:脑叶出血
D:脑栓塞
E:暂时性脑缺血发作
失语症的检查包括___________、__________、____________和______________。
血管性痴呆
线粒体脑肌病
患男,18岁,在一次考试中突然两眼向前瞪视,呼之不应,持续数秒钟。过后对上述情况全无记忆,以后反复有类似发作,有时一日发作几次,本患可诊断为( )
A:癔症
B:失神发作
C:局限性癫痫
D:精神运动性发作
E:肌阵挛发作
最常见的常染色体显性遗传的肌营养不良的类型是( )
A:Duchenne肌营养不良
B:Becker肌营养不良
C:肢带型肌营养不良
D:面肩肱型肌营养不良
E:眼肌型肌营养不良
高镁血症所致的肌无力是由于( )
有机磷中毒所致的肌无力是由于( )
氨基甙类抗生素所致的肌无力是由于( )
美洲箭毒素所致的肌无力是由于( )
A:AchR受损或减少
B:阻碍钙离子进入神经末梢
C:Ach合成与释放减少
D:胆碱酯酶活力受到强力抑制
E:阻碍Ach与AchR结合
首页
<上一页
69
70
71
72
73
下一页>
尾页