自考题库
首页
所有科目
自考历年真题
考试分类
关于本站
游客
账号设置
退出登录
注册
登录
出自:神经病学高级职称
关于舌下神经,正确的是( )
A:一侧舌下神经麻痹时,伸舌向病侧偏斜
B:一侧舌下神经麻痹时,伸舌向健侧偏斜
C:核上性损害时,可见病侧舌肌萎缩
D:核上性损害时,伸舌向病灶侧偏斜
E:一侧舌下神经麻痹时,病侧舌肌可见明显肌束颤动
右动眼神经麻痹,左侧偏瘫,其病变部位在( )
A:中脑
B:小脑
C:脑桥
D:延髓
E:高颈段
全面强直—阵挛性发作治疗间突然停药,可引起( )
A:失眠
B:精神萎靡
C:失神发作
D:抗癫痫用药量增加
E:癫痫持续状态
脊髓压迫症首选的检查是脊髓MRI。
病程出现复发—缓解特点,提示疾病的性质是( )
A:脱髓鞘疾病
B:神经变性疾病
C:感染性疾病
D:营养及代谢疾病
E:血管性疾病
何谓感觉过度及见于何处病变?
发生破裂的颅内动脉瘤最多位于( )
A:大脑前动脉分叉处
B:大脑前动脉和前交通动脉
C:颈内动脉及分叉处
D:大脑中动脉及分支
E:椎基底动脉及分支
关于Guillain-Barre综合征那几项正确( )
A:我国以儿童及青壮年多见
B:可能与感染有关,特别是空肠弯曲茵感染
C:普遍接受发病机制是分子模拟学说
D:大部分预后较好
E:心力衰竭是主要的死亡原因
神经梅毒的最后确诊常用方法是( )
A:脑脊液白细胞数和单核细胞数增高
B:阿罗瞳孔
C:血清存在苍白密螺旋体抗体
D:血清和脑脊液存在苍白密螺旋体抗体
E:不洁性行为
多发性神经病
腓总神经麻痹出现( )
内囊卒中后遗症出现( )
帕金森病出现( )
脑性瘫痪出现( )
假性肥大型肌营养不良出现( )
A:慌张步态
B:鸭步
C:划圈样步态
D:剪刀样步态
E:跨阈步态
脑囊虫病患者第四脑室内的可移动包囊可突然阻塞________,导致颅内压增高,从而引起以眩晕、呕吐、意识障碍和跌倒等为主要表现的________发作。
有关中枢性面瘫正确的是( )
A:患侧鼻唇沟变浅
B:患侧额纹变浅
C:患侧闭目受限
D:患侧舌前2/3味觉障碍
E:见于皮质核束损害
头痛的治疗原则包括________、________、________。
女,66岁,5天前发生第3次中风,出现假性球麻痹症状,最不可能出现的症状及体征是( )
A:吞咽困难
B:下颌反射消失
C:伸舌不能
D:舌肌无萎缩
E:讲话口齿不清
临床如何诊断额颞痴呆?
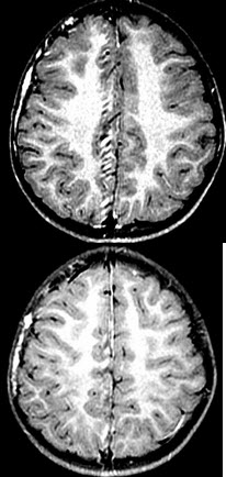
4岁小男孩,右侧颜面部有紫红色瘤,智力障碍,MR检查如图,请选择最可能的诊断( )
A:神经纤维瘤
B:结节性硬化
C:脑颜面血管瘤病
D:脑皮质发育异常
E:脑灰质异位
Charcot-Marie-Tooth病
关于脊髓血管疾病,正确的是( )
A:脊髓前动脉供血的脊髓灰质对缺血的耐受性比白质差
B:脊髓对缺血的耐受性较好
C:脊髓后动脉供血区更易发生缺血性损害
D:轻度间歇性供血不足会对脊髓造成明显的病理损害
E:脊髓缺血后的病理改变与脑缺血相似
脑出血时可以用来减轻脑水肿的药物是( )
A:甘露醇
B:速尿针
C:白蛋白
D:甘油
E:低分子右旋糖酐
典型偏头痛发作时的头痛可能是由于()。
A:颅外动脉收缩
B:颅外动脉扩张
C:颅内动脉收缩
D:颅内动脉扩张
E:颅内压增高
下列哪些检查可确诊单纯疱疹病毒性脑炎( )
A:组织病理或活检
B:脑脊液病毒DNA的PCR检查
C:脑组织或脑脊液标本的HSV分离、培养和鉴定
D:脑电图可见弥漫性慢波
E:头MRI可见额颞叶大片状长T1长T2异常信号
格林-巴利综合征患者常表现出腱反射()。
脑性共济失调的临床特点?
简述腓总神经麻痹的临床特点。
颅裂手术的目的是_________。
脊髓空洞症的诊断( )
A:磁共振是确诊的首选方法
B:脑脊液检查多正常
C:X线可发现夏科关节
D:如合并其它先天性积畸形更支持诊断
E:延迟CT扫描可显示空洞影像
脑电图在癫痫诊断中的价值?
复发缓解型及进展型MS的治疗药物有哪些?
皮肤牛奶咖啡色斑最常见于( )
A:结节性硬化症
B:脑面血管瘤病
C:线粒体脑肌病
D:神经纤维瘤病
E:共济失调毛细血管扩张症
首页
<上一页
68
69
70
71
72
下一页>
尾页