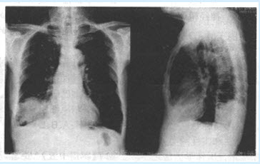
患者,男,72岁。咳嗽、咳痰、痰中带血1个月,头痛1周。患者1个月前无明显诱因下出现咳嗽、咳痰,痰多为白色黏液样带有血丝,无脓痰,平时活动后易出现气急、胸闷,患者抽烟50年,每天1包。查体:右下肺可闻及湿性啰音。抗感染治疗一周症状未见明显好转。患者X线平片如下图所示。

第1题,共3个问题
(单选题)该病变的部位是()
A:右肺中叶
B:右肺下叶
C:脊柱
D:右侧胸壁
E:肝
F:右上肺
第2题,共3个问题
(单选题)该患者的CT所示,结合病史,该患者最可能的诊断是()
A:肺脓肿
B:肺癌
C:炎性假瘤
D:肺结核
E:转移瘤
F:大叶性肺炎
第3题,共3个问题
(单选题)本病最可能的病理类型为()
A:腺癌
B:小细胞癌
C:大细胞癌
D:鳞癌
E:鳞腺癌
F:以上都不是