自考题库
首页
所有科目
自考历年真题
考试分类
关于本站
游客
账号设置
退出登录
注册
登录
出自:CT医师
骨脓肿(Brodie脓肿)属于:()
A:急性骨髓炎
B:慢性骨髓炎
C:亚急性骨髓炎
D:硬化性骨髓炎(Garre骨髓炎)
E:骨膜下脓肿
肾腺瘤分型中,哪种最多见?()。
A:混合型
B:乳头状型
C:腺泡型
D:管状型
E:以上都不是
男,30岁,右面部疼痛。CT示右侧桥小脑角区类椭圆形囊样病变,沿脑池生长,CT值-10Hu,无强化,局部脑组织及脑干轻度受压。最可能的诊断为()。
A:囊性脑膜瘤
B:蛛网膜囊肿
C:皮样囊肿
D:表皮样囊肿
E:听神经瘤囊变
肾结石病是指()。
A:肾囊肿内钙质沉积
B:肾肿瘤内钙质沉积
C:肾实质内钙质沉积
D:肾集合系统内钙质沉积
E:肉芽肿内钙质沉积
Dandy-Walker综合征的典型CT表现
不包括
()。
A:第四脑室明显扩张并向后延伸
B:颅后窝巨大囊肿并与第四脑室交通
C:小脑蚓部缺如
D:窦汇抬高并不同程度脑积水
E:中脑水管扩张
患者女性,15天,吸允反射减弱,CT检查如图,最可能的诊断为()。
A:先天性无脑回
B:脑水肿
C:脑出血
D:新生儿缺氧缺血性脑病
E:先天性巨脑回
新鲜脑出血的CT值一般为:()
A:20~40HU
B:30~50HU
C:40~60HU
D:50~70HU
E:60~80HU
患者,女性,58岁。右上肺肺癌术后1年,头痛,呕吐,说话口齿不清,右上肢无力7天。头颅CT检查应使用:()
A:平扫
B:平扫加增强扫描
C:动态扫描
D:冠状位平扫
E:脑池造影CT扫描
患者女性,35岁,鼻塞,流涕,鼻中带血,时有绿色胶样分泌物,抗生素治疗无效,关于真菌性上颌窦炎表述中,哪项
不正确
()。
A:上颌窦最多见
B:多见于成年人
C:单侧发病
D:女性多见
E:真菌性上颌窦炎均以窦壁骨质破坏为特点
女性患者,20岁。体检胸片上发现左上肺结节。胸部CT平扫,层厚8mm,间隔8mm。发现右肺上叶前段胸膜下有2.0cm的结节病灶,边缘光滑,密度10~70HU,双侧肺门淋巴结无增大。进一步确诊病灶性质,最佳的措施是:()
A:3个月后复查胸部CT,以后间隔6个月
B:强化CT扫描
C:低剂量CT检查
D:病灶处HRCT检查
E:病灶CT三维重建
下列有关三维重建方法的描述,
不正确
的是:()
A:MIP是最大密度投影法
B:VR是曲面重组法
C:SSD是表面遮盖法
D:层厚越大,断层图像的增强噪声比(CNR)越高
E:重建圆径越小,断层图像增强噪声比(CNR)越高
排泄性尿路造影时同一侧肾区有两套肾盂、肾盏和输尿管,两输尿管汇合或分别进入膀胱。请问是下列哪一种先天异常?()
A:先天性巨输尿管
B:输尿管囊肿
C:肾盂输尿管重复畸形
D:腔静脉后输尿管
E:输尿管瓣膜
关于肝局灶性结节增生,下列哪项正确?()
A:病灶内含血管,无胆管组织
B:不属于真正的肝脏肿瘤,与周围组织分界不清
C:肿块由正常的肝细胞组成,细胞排列紊乱
D:病变无包膜
E:发病率无明显性别差异
下列哪项不是骨关节外伤进行X线检查的目的()。
A:明确有无骨折或脱位
B:了解骨折及脱位情况
C:对骨折复位治疗
D:观察骨折愈合情况
E:了解软组织肿胀情况
有关脊髓脊膜膨出,
不正确
的是()。
A:无神经组织膨出
B:膨出可发生在颈段和腰段
C:可合并脊髓纵裂畸形
D:为神经管闭合不全的一种类型
E:膨出周围可有脂肪沉积
室管膜瘤最好发于下列哪项?()
A:第三脑室
B:左侧侧脑室
C:第四脑室
D:右侧侧脑室
E:导水管
关于原发性硬化性胆管炎,下列观点错误的是()。
A:肝内外胆管无明显扩张
B:反复发作性黄疸、发热
C:胆管造影示“枯枝征”
D:只影响肝外胆管
E:常见于溃疡性结肠炎、克罗恩病患者
正常后前位X线胸片,心腰对应的解剖部位为()。
A:肺动脉段与左肺动脉
B:左心耳
C:左心室
D:上腔静脉
E:以上均不是
关于胸部淋巴瘤,下列哪项
不正确
()
A:非霍奇金病可以在数天内迅速出现肺部浸润
B:非霍奇金病可表现为前纵隔的融合大肿块
C:部分霍奇金淋巴瘤有胸腺增大
D:原发的肺淋巴瘤多不属于非霍奇金病
E:原发的肺淋巴瘤多表现为单发肿块,生长缓慢
肺隔离症分几型?()
A:1型
B:2型
C:3型
D:4型
E:5型
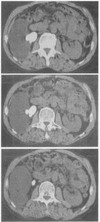
患者,女。48岁。反复血尿伴右侧腰痛7个月。CT扫描图像见图。最有可能的诊断是()。
A:肾囊肿
B:肾结核
C:多囊肾
D:肾脓肿
E:肾结石
鼻咽癌的CT表现
不正确
的是()。
A:鼻咽颅底侵犯时骨喷硬化型可表觋为斜坡密度增高,但骨皮质和松质能区分
B:鼻咽癌好发于顶壁和顶后壁
C:肿瘤向咽后壁可浸润头长肌,但一般不侵犯颈椎
D:可表现为鼻咽侧壁平坦、僵直、咽隐窝消失
E:鼻咽癌常伴有颈部淋巴结转移
见于Albright综合征的疾病是()。
A:骨纤维异常增殖症
B:骨软骨瘤
C:骨髓瘤
D:骨血管瘤
E:非骨化性纤维瘤
肝癌合并肝硬化的发病率为()。
A:45%
B:30%~50%
C:90%以上
D:50%~90%
E:30%~45%
下列每个脑室内病变,哪一个部位不是最常见的:()
A:儿童脉络丛乳头状瘤--第三脑室
B:胶样囊肿--孟氏孔
C:颅咽管瘤--第三脑室下部
D:室管膜下瘤--第四脑室
E:室管膜瘤--第四脑室
"小泡征"提示哪一种疾病:()
A:周围型肺癌,尤其肺腺癌
B:中心型肺癌
C:肺气肿
D:肺结核
E:肺脓肿
重症肌无力哪种肌肉最易受累?()
A:咀嚼肌
B:眼外肌
C:咽喉肌
D:四肢肌
E:呼吸肌
冠状动脉粥样硬化早期病理改变是()。
A:冠状动脉狭窄
B:冠状动脉阻塞
C:冠状动脉内膜黄斑
D:心肌缺血坏死
E:冠状动脉侧支循环建立
结核分枝杆菌最多通过哪个途径进入骨或关节部位?()
A:血液循环
B:直接扩散
C:开放性损伤
D:淋巴系统
E:呼吸道传播
异位嗜铬胞瘤多数位于下列哪个部位?()
A:纵隔
B:胃壁
C:腹主动脉旁和肾门
D:肝脏
E:膀胱
首页
<上一页
68
69
70
71
72
下一页>
尾页