自考题库
首页
所有科目
自考历年真题
考试分类
关于本站
游客
账号设置
退出登录
注册
登录
出自:神经病学高级职称
单眼-过性黑蒙(amaurosisfugax)见于___________及_______引起的视网膜供血不足。
试述短暂性脑缺血发作的病因和发病机制。
皮脂腺瘤
颅颈区畸形包括_________、_________、_________、_________和_________等。
神经元颗粒空泡变性
Parinaud syndrome
颅内静脉窦及脑静脉血栓形成共同特征为___________,以及____________、__________和_____________等。
高血压性脑出血最好发的部位是( )
A:脑干
B:脑叶
C:内囊和壳核
D:小脑齿状核
E:脑室
与体位变化有明显关系的是( )
常在某一段时间内反复密集发作的是( )
常伴有焦虑或抑郁症状的是( )
发作前常有闪光、暗点或视野缺损等症状的是( )
A:典型偏头痛
B:普通型偏头痛
C:丛集性头痛
D:紧张性头痛
E:低颅压性头痛
多发性硬化的发病可能与_________、_________、_________和_________有关。
下列哪项不是低钾性周期性瘫痪的特点( )
A:是常染色体显性遗传病
B:是钙通道病
C:部分患者与甲状腺功能亢进有关
D:是1q32染色体编码二氢吡啶受体的基因突变所致
E:是家族性疾病,无散发患者
多发性硬化可能的病因是( )
皮质—纹状体—脊髓变性病因是( )
小舞蹈病病因是( )
肝豆状核变性病因是( )
帕金森病病因是( )
A:A型溶血性链球菌感染
B:铜代谢障碍
C:病因未完全阐明
D:自身免疫病
E:朊蛋白
Duchenne肌营养不良的临床特点是( )
A:x性连锁隐性遗传,男孩约半数发病,女孩为携带者
B:多在3~5岁发病,病情进行性加重
C:表现鸭步、翼状肩胛、Cowers征等
D:伴腓肠肌假性肥大
E:心肌损害少见
遗传性痉挛性截瘫可合并( )
A:视神经萎缩
B:多发性神经病
C:精神发育迟滞
D:共济失调
E:耳聋
脑型肺吸虫病治疗可选( )
神经梅毒治疗可选( )
结核性脑膜炎治疗可选( )
艾滋病治疗可选( )
隐球菌脑膜炎治疗可选( )
A:吡喹酮
B:异烟肼
C:叠氮脱氧胸苷
D:两性霉素B
E:青霉素
蛋白-细胞分离
什么是共济失调性脑性瘫痪?
扭转痉挛
小脑半球损害时易向____________侧倾斜,小脑上蚓部病变易向____________倾斜,小下蚓部病变易向__________倾斜。
如图箭头所示为大脑哪个部位( )
A:前连合
B:胼胝体
C:透明隔
D:穹窿
E:中脑导水管
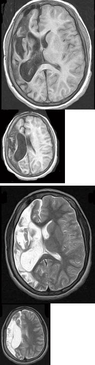
男,35岁,有颅脑外伤史,结合MRI图像选择最可能诊断( )
A:脑软化
B:脑萎缩
C:脑积水
D:脑穿通畸形囊肿
E:脑实质占位
脑型血吸虫病确诊的实验依据是( )
A:疫水接触史
B:门静脉高压表现
C:部分性运动性癫痫的发作
D:血中嗜酸性细胞增高
E:直肠活检
结核性脑膜炎( )
细菌性脑膜炎( )
弗洛因综合征( )
化脓性脑膜炎( )
A:脑脊液离体后不久自动凝固
B:脑脊液放置后可见纤维蛋白膜形成
C:脑脊液呈米汤样
D:脑脊液呈混浊样
E:脑脊液呈均匀血性
MS应用皮质类固醇治疗的方法是( )
A:小剂量长期使用
B:缓解期仍应坚持用药
C:大剂量短程疗法
D:一般常用强的松
E:不必使用补钾、补钙及抑酸
试述重症肌无力危象的分类及处理。
TIA
尖波可见于
第1题,共1个问题
(配伍题)
部分性发作( )
全面性发作( )
复杂部分性发作( )
颞叶癫痫( )
具有枕区放电的良性儿童期癫痫( )
先天性神经梅毒可表现为很多临床类型,但一般除外( )
A:脑膜神经梅毒
B:脑膜血管梅毒
C:脊髓膜血管梅毒
D:梅毒性脑膜脑炎
E:脊髓痨
脑栓塞有什么临床表现?
诊断癫痫的最主要的辅助方法为( )
A:脑脊液
B:颅脑CT
C:颅脑MRI
D:脑电图
E:血常规
首页
<上一页
67
68
69
70
71
下一页>
尾页