自考题库
首页
所有科目
自考历年真题
考试分类
关于本站
游客
账号设置
退出登录
注册
登录
出自:CT医师
类风湿关节炎病变最初是发生在()。
A:关节内韧带
B:关节软骨
C:关节滑囊
D:关节囊纤维层
E:关节骨关节面
肺内腔隙的病理性扩大,称为空腔,下列哪些病变属于空腔:()
A:肺大疱
B:含气的肺囊肿
C:肺气囊
D:囊状支气管扩张
E:以上都是
颅内最常见的生理性钙化是:()
A:大脑镰钙化
B:侧脑室脉络丛钙化
C:松果体钙化
D:床突间韧带钙化
E:小脑齿状核钙化
患者男,67岁,胸痛、咯血、体重下降,结合CT检查,最可能的诊断是()。
A:肺结核
B:肺上沟瘤
C:错构瘤
D:胸膜间皮瘤
E:神经鞘瘤
关于胸部大血管CT扫描正常表现的叙述中
不正确
的是:()
A:右肺动脉位于升主动脉后方
B:首先显示的肺动脉是左肺动脉
C:主肺动脉高度与左肺动脉相等
D:上腔静脉位于气管右侧,大小变异较大
E:主动脉弓水平仅显示上腔静脉和主动脉弓
男性患者,50岁,后前位胸片表现为右肺下野内侧靠右心缘出现上界清楚下界模糊的片状致密影,侧位片上表现为自肺门向前下方倾斜的带状三角形致密影,最有可能为:()
A:右上叶肺不张
B:一侧性肺不张
C:右中叶肺不张
D:右下叶肺不张
E:右中叶肺不张
最容易出现等密度病灶的CT扫描时相为:()
A:平扫
B:动脉期
C:门静脉期
D:平衡期
E:延迟CT
类风湿性关节炎最常侵犯的部位在()。
A:骶髂关节
B:脊柱
C:手和足
D:膝关节
E:肘关节
下列哪项是肝脓肿与肝癌都表现为环形强化时的鉴别点()。
A:肝脓肿的壁为高度强化
B:肝癌动脉期强化明显,肝脓肿静脉期强化明显
C:肝癌的壁较厚
D:肝脓肿的壁较薄
E:肝癌的壁为中度强化
腺性膀胱炎的多发囊样表现多见于哪种病原菌的感染?()
A:链球菌
B:结核感染
C:葡萄球菌
D:大肠杆菌感染
E:真菌
70岁,女性,间断性咳嗽10余年,近来加重,有少量黏痰,CT扫描示双肺纹理增多,胸膜下区纹理更明显,呈网格状,结构欠清,肺内未见明显肿块影,最可能的诊断是()。
A:慢性支气管炎
B:支气管扩张
C:间质性肺炎
D:特发性间质纤维化
E:矽肺
壶腹周围癌,又称胆胰管十二指肠连接区癌,包括:①被奥狄括约肌包绕的胆总管;②主胰管末端部;③乏特壶腹;④十二指肠乳头部。正确的选择应是:()
A:①③
B:①②③
C:③④
D:②③④
E:①②③④
54岁男性,右侧面部肿胀、麻木2个月余,伴流涕,CT示右侧上颌窦内软组织密度,伴钙化,后外侧壁骨质消失,最可能的诊断是()。
A:上颌窦黏液囊肿
B:上颌窦骨化性纤维瘤
C:上颌窦炎
D:上颌窦血管瘤
E:上颌窦癌
男,45岁,20年前患过肺结核,3个月来有咳嗽,痰中偶带血丝,X线检查:右上肺有3cm×2.5cm之阴影,边缘模糊、毛糙,内有钙化点,余肺野清晰,3次查痰找癌细胞阴性,最可能的诊断是()。
A:肺结核
B:肺脓肿
C:肺囊肿
D:肺癌
E:肺良性肿瘤
多囊肾为()。
A:肾小球的囊状扩张
B:肾淋巴管的囊状扩张
C:肾集合管的囊状扩张
D:肾小盏的囊状扩张
E:肾实质内小静脉的囊状扩张
肝血管瘤CT检查技术的"两快一慢"是指:()
A:快速扫描,快速重建,慢速注射
B:快速注药,快速扫描,延迟扫描
C:快速注药,慢速扫描,快速重建
D:快速扫描,快速注药,延迟重建
E:以上都不是
哪项是法洛四联症中决定血流动力学的关键()。
A:右心室肥厚
B:室间隔缺损
C:主动脉骑跨
D:肺动脉狭窄
E:以上都是
需要与正常肝岛鉴别的疾病有:()
A:肝癌
B:转移瘤
C:血管瘤
D:肝脓肿
E:以上都是
男,30岁,癫痫3个月余,CT示额叶有一个1.0~1.5cm囊样低密度影,边界清楚,囊周无水肿,轻度强化,内有点状增强。最可能的诊断为()。
A:脑结核性脓肿
B:脑脓肿
C:星形细胞瘤
D:脑囊虫病
E:胶质母细胞瘤
人眼能区别的灰阶数目为:()
A:8
B:10
C:12
D:16
E:32
患者女,57岁,胸闷,呼吸不畅1个月。MRI检查见中后纵隔团块状等T1稍高T2信号,上腔静脉受压,左右支气管包绕。最可能的诊断为()。
A:纵隔淋巴瘤
B:结节病
C:转移性淋巴结
D:肺癌
E:胸腺瘤
X线胸片显示病理性第三弓指的是()。
A:右室增大
B:肺动脉增粗
C:左室增大
D:左心耳突出
E:以上均不是
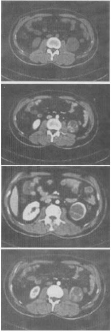
男,42岁,反复左侧腰部疼痛伴血尿3个月余,CT检查如图,下列说法错误的是()。
A:左侧输尿管内可见多发的高密度影
B:左侧输尿管上段扩张
C:左侧肾盂肾盏扩张
D:左输尿管结核并左肾积水
E:考虑为左输尿管结石并积水
以下哪一项CT表现不支持硬膜外血肿的诊断:()
A:相邻颅骨线形骨折
B:血肿呈梭形
C:相邻脑组织受压移位
D:血肿内缘欠光滑
E:血肿内密度均匀
以下哪项临床表现不是血管内应用碘对比剂的副反应:()
A:荨麻疹
B:面部潮红
C:球结膜水肿
D:腹泻
E:呕吐
直肠癌在胃肠道恶性肿瘤中居第二位,高危因素有:()
A:年龄:〉50岁组发病率明显提高
B:遗传性,家族性:如家族性结直肠息肉病或癌肿史者发病率高出正常人群2~3倍
C:慢性炎症,如溃疡性结肠炎
D:息肉癌变,>10mm息肉更有癌变危险
E:以上都是
患儿,女,2岁,突眼,CT示右眼球内团块样钙化,视神经粗,周围有软组织密度块影,首选诊断为:()
A:炎性假瘤
B:黑色素瘤
C:视网膜母细胞瘤
D:视网膜血管瘤
E:视网膜胶质瘤
膀胱癌的起始症状不可能是:()
A:血尿
B:尿频尿痛
C:排尿困难
D:充溢性尿失禁
E:下腹部肿块
患者,男,46岁。发热、咳嗽5天,肺部可闻及湿啰音。CT检查示双下肺野内小片样阴影,沿支气管分布。最可能的CT诊断为()。
A:大叶性肺炎
B:真菌感染
C:干酪性肺炎
D:血性播散性肺结核
E:支气管肺炎
女,63岁,左腰部隐痛不适1个月余,CT平扫+增强如图所示,最可能的诊断是()。
A:左肾下极囊肿
B:左肾下极错构瘤
C:左肾下极癌
D:左肾下极脓肿
E:左肾下极淋巴瘤
首页
<上一页
67
68
69
70
71
下一页>
尾页