自考题库
首页
所有科目
自考历年真题
考试分类
关于本站
游客
账号设置
退出登录
注册
登录
出自:消化内科学高级职称
慢性活动性胃炎的判定根据是( )
A:胃粘膜糜烂
B:胃粘膜出血
C:胃粘膜中性粒细胞浸润
D:胃粘膜淋巴细胞浸润
E:胃粘膜过度形成
慢性胰腺炎的早期诊断方法是
A:ERCP
B:CT检查
C:胰腺外分泌测定
D:超声内镜检查
E:以上都不是
男,55岁。尿少,腹胀2个月来诊。乏力、食欲差,腹部外形增大。20年前患“肝炎”治愈。查:巩膜黄染,面色污秽,胸前可见蜘蛛痣,肝掌(+)。心肺正常,腹壁静脉曲张,腹水征(+),脾大肋下3cm。肝肋下未及。(1)该病人的可能诊断是什么?(2)经治疗后,症状缓解,2年后病人右上腹出现持续性疼痛,消瘦,低热。查:肝肋下2cm质硬,表面有结节感,脾大肋下3cm,腹水征(+)。腹软无压痛。该病人应想到合并哪种情况?(3)应重点做哪些检查明确诊断?
RNA肿瘤病毒致突变的机制是()。
A:转导性RNA肿瘤病毒的致突变机制
B:RNA肿瘤病毒的间接致癌机制
C:反式激活RNA肿瘤病毒的致癌机制
D:顺式激活RNA肿瘤病毒致癌机制
E:激活细胞基因和诱导DNA合成
患者,女,18岁,1天前因在路边摊点进餐后感头昏、疲劳,随后出现米汤样腹泻,间断呕吐,不伴里急后重,大便量多,无黏液脓血。入院查体:体温、血压正常,腹部无压痛,未扪及包块。新鲜大便悬滴检查可见运动活泼呈穿梭状的弧菌。该患者腹泻的发生机制是()。
A:分泌性腹泻
B:渗透性腹泻
C:渗出性腹泻
D:动力性腹泻
E:吸收不良性腹泻
反流性食管炎可用下列哪些药物治疗()。
A:多潘立酮(吗丁啉)
B:甲氧氯普胺(胃复安)
C:阿托品
D:质子泵抑制剂
E:咖啡因
正常人禁水8小时后尿渗量<600mOsm/(kg·HO),表明()。
A:肾小球滤过功能受损
B:肾浓缩功能障碍
C:肾脏内分泌功能受损
D:肾小管酸中毒
E:肾失代偿期
下列哪一个激素
不属于
胃肠激素()。
A:促胃液素
B:缩胆囊素
C:肾上腺素
D:促胰液素
E:生长抑素
女,32岁,入冬以来中上腹不适,并阵发性隐痛,有空腹痛及夜间痛,近2天大便发黑。其可能的诊断是()。
A:急性胃黏膜病变出血
B:胃溃疡伴出血
C:十二指肠球部溃疡伴出血
D:空肠憩室炎伴出血
E:胃癌伴出血
清除食管内容物的主要动力是()。
A:食物的重力
B:对食管内物体推进性蠕动
C:吞咽动作
D:LES(下食管括约肌)舒张
E:食管张力
女性,40岁,腹部隐痛不适伴便秘10余年,加重半年,排便需要刺激性泻药,且伴左下腹腹胀,排出粪便后可缓解,进食量较前减少,体重有所增加。结肠镜检查未发现异常。因此首先考虑诊断()。
A:结肠癌
B:甲状腺功能低下
C:结肠痉挛
D:先天性巨结肠
E:肠易激综合征
可引起急性胃炎的因素有()。
A:药物
B:幽门螺杆菌
C:应激
D:病毒
E:乙醇
下列哪项是原发性胆汁肝硬化的特征性改变( )
A:α、β-球蛋白增高
B:血清线粒体抗体阳性
C:IgM明显增加
D:胆管细胞抗体阳性
E:IgG明显增加
对肝炎后肝硬化的诊断.下列哪项最有价值( )
A:脾大
B:蜘蛛痣
C:肝掌
D:肝功能不正常
E:食管钡餐检查下段有蚯蚓样充盈缺损
上述表现符合以下哪种出血?
第1题,共1个问题
(配伍题)
食管静脉曲张破裂出血( )
急性胃粘膜病变出血( )
消化性溃疡出血( )
吸气性呼吸困难最常见于()。
A:支气管哮喘
B:气管异物
C:肺炎球菌肺炎
D:慢性阻塞性肺疾病
E:广泛性胸膜性钙化
一肝硬化病人,病史5年,三年前做过门体分流术,现周身皮肤黄染,乏力,厌食,腹胀。测血氨明显升高。请说明该病人血氨增高的主要原因?
男,35岁,反复发作上腹部疼痛2年余,无节律性,伴反酸,使用一般抗酸药(广义)效果不佳。近月来伴腹泻,3~4次/天,水样便,无脓血。粪便检查发现有较多脂肪球,服用抗生素无效。1个月前钡餐检查示胃窦部、十二指肠球部及空肠上段均有溃疡;腹部查体无特殊发现。应考虑为( )
A:胃泌素瘤
B:Crohn病
C:消化性溃疡并慢性结肠炎
D:复合性溃疡
E:消化性溃疡并肠结核
上段食管癌首选的治疗方法是____________。
男性54岁,间歇性上腹部不适4年,餐后加重,嗳气来诊。胃镜检查:胃体上部大弯侧粘膜较苍白,该区活检示重度不典型增生,应采取下列哪种治疗方法为宜( )
A:西咪替丁
B:吗叮啉
C:吗叮啉+法莫替丁
D:洛赛克
E:手术治疗
符合慢性持续性肝炎的描述是( )
A:病程在1年以上
B:肝细胞碎片状坏死
C:汇管区纤维组织增生
D:汇管区慢性炎细胞浸润
E:常导致肝硬化
对结核性腹膜炎最有诊断价值的检查是()。
A:PPD试验
B:结肠镜检查
C:血沉
D:腹腔积液常规
E:腹腔镜检查+腹膜活检
以下哪一项更符合肝硬化失代偿期的临床表现( )
A:蜘蛛痣,腹水,月经失调
B:黄疸,齿龈出血,脾大
C:肝掌,腹水,性功能减退
D:腹水,脾大,下肢水肿
E:黄疸,脾大,胃底静脉曲张
消化性溃疡最常见的并发症为______________。
胃溃疡节律性疼痛的特点是()。
A:餐后1/2~1小时出现疼痛
B:空腹痛
C:餐时痛
D:夜间痛
E:餐后3~4小时出现疼痛
中毒性巨结肠是溃疡型结肠炎的严重并发症
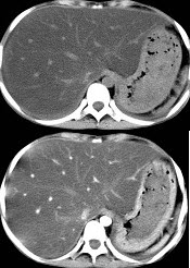
男,57岁,肥胖、糖尿病、血脂升高,CT扫描如下图,请问诊断或描述错误的是哪一项( )
A:肝硬化
B:脂肪肝
C:肝脏增大
D:密度均匀减低
E:血管影清唽可见
患者女,28岁。以“右下腹至全腹剧痛10小时”为主诉入院。患者入院前一天参加宴会,饮酒饱餐后3小时突然出现右下腹剧痛,疼痛呈持续性,刀割样,并很快转移至全腹。深呼吸、变换体位时加剧,静卧、两腿屈曲时腹痛减轻,同时伴有恶心,呕吐当日食物,无咖啡样物及鲜血。病后自觉畏寒,发热,无寒战。未排气、排便。既往史:无右下腹疼痛史,有反复发作的中上腹疼痛及反酸、胃灼热史。服用胃药可缓解,无呕血便血史。查体:T38.0℃,P88次/分,R37次/分,BP120/80mmHg,急性面容,神志清楚,平卧位,两腿屈曲,心肺查体未见异常,腹部平坦,未见胃肠型及蠕动波,全腹肌紧张,拒按,有明显压痛及反跳痛,右下腹为主,肾区叩痛阴性。入院后,患者腹痛难忍,血压下降至85/50mmHg,心率:115次/分,经抗炎治疗未见明显好转。下一步治疗原则是()。
A:纠正休克状态
B:纠正休克同时继续抗炎保守治疗
C:手术
D:纠正休克同时手术治疗
E:继续抗炎保守治疗
F:在抗炎抗休克的同时行手术治疗
降氨药物对下列哪种情况所致的肝性脑病无效( )
A:急性重症病毒性肝炎
B:有广泛门腔静脉分流时,服用含氮药物之后
C:有广泛门-腔静脉分流时,进食高蛋白质饮食所致
D:肝炎后肝硬化
E:血吸虫病性肝纤维化
关于重症急性胰腺炎的治疗措施,下列说法错误的是()。
A:胆源性胰腺炎合并胆道梗阻者可行EST解除胆道梗阻
B:中医中药治疗无效
C:腹腔灌洗可清除腹腔内细菌、内毒素等,减少其对全身脏器的损害
D:胰腺坏死合并感染应考虑手术治疗
E:疑有腹腔脏器穿孔或坏死者,应剖腹探查
首页
<上一页
66
67
68
69
70
下一页>
尾页