自考题库
首页
所有科目
自考历年真题
考试分类
关于本站
游客
账号设置
退出登录
注册
登录
出自:神经病学高级职称
额颞痴呆病理特点是特征性局限性________;Pick病可见________和________。
Myerson征
基底节由什么组成?
有抽动和不自主污言秽语的患者在服用哪种药物后症状会得到明显改善( )
A:安定
B:安坦
C:苯妥英钠
D:卡马西平
E:氟哌啶醇
NREM睡眠期分为________期、________期、________期和________期。
下述哪项符合视觉径路损害( )
A:一侧枕叶内侧矩状裂皮质损害产生对侧偏盲或象限盲伴黄斑回避
B:一侧视神经损害产生该侧全盲
C:视交叉中部受损出现双颞侧偏盲
D:视交叉外侧部病变可引起一侧或两鼻侧偏盲
E:一侧视束损害产生两眼对侧同向性偏盲
重症肌无力使用激素治疗指征。
有关红斑肢痛症急性期的治疗( )
A:卧床休息
B:抬高患肢
C:局部冷敷
D:避免使用引起血管扩张的刺激
E:抗生素治疗有效
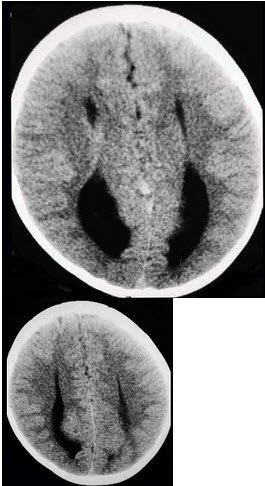
男,35岁,间歇性癫痫发作20余年,CT检查如图,最可能的诊断为( )
A:表皮样囊肿
B:血管母细胞瘤
C:胼胝体发育不良
D:灰质异位
E:脑囊肿
部分性发作继发全面性强直阵挛或性质不明的强直阵挛治疗首选___________。
男,40岁,脑MRI示右侧内囊区小片脑梗死,现在处于疾病的恢复期,上肢屈肌和下肢伸肌张力均增高,左侧肢体能抬起床面,但不能抵抗阻力,左侧巴氏征阳性。 患者的肌张力增高为那种类型的肌张力增高( )
A:锥体系病变时的肌张力增高
B:小脑病变时的肌张力增高
C:多发性神经病时的肌张力增高
D:肌源性病变时的肌张力增高
E:脊髓前脚灰质炎时的肌张力增高
脑膜刺激征伴有发热提示__________,不伴有发热多为__________。
全身性惊厥性癫痫持续状态时静脉注射地西泮的速度最大不超过每分钟( )
全身性惊厥性癫痫持续状态时静脉注射苯妥英钠最大不超过每分钟( )
全身性惊厥性癫痫时静脉注射氯硝西泮的成人首次剂量为( )
A:1mg
B:3mg
C:5mg
D:20mg
E:50mg
分别说明原发性三叉神经痛及面神经炎的治疗原则。
如图箭头所示为小脑哪个部位( )
A:小脑中脚
B:小脑下脚
C:小脑扁桃体
D:小脑上脚
E:小脑蚓部
核间性眼肌麻痹的病变在( )
A:动眼神经
B:内侧纵束
C:内侧丘系
D:枕叶皮质
E:视神经
下列哪项不是脱髓鞘疾病常见的病理改变( )
A:神经纤维髓鞘破坏
B:病变分布于中枢神经系统白质
C:小静脉周围炎性细胞浸润
D:神经轴索严重坏死
E:神经细胞相对完整
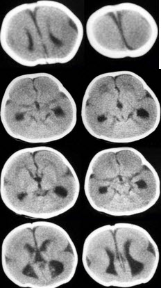
女,一岁,发育低于同龄幼儿,CT检查如图,最可能的诊断为( )
A:透明隔囊肿
B:前脑无裂
C:无脑回
D:胼胝体发育不良
E:无脑回伴胼胝体发育不良
耳聋的分类?
突触由_________、_________和_________组成。
慌张步态的表现有( )
A:行走时躯干弯曲向前
B:起步慢、止步难
C:走路宽基底
D:上肢协同摆动消失
E:见于帕金森病
强直性肌营养不良症患者可伴有( )
A:白内障
B:视网膜变性
C:眼球内陷
D:眼睑下垂
E:心律失常
如图箭头所示出血部位为1____________2___________。
脊髓后索病变导致病变平面以下的肌力障碍。
关于经皮质性失语特点正确的是( )
A:病变位于优势半球额叶皮质下白质
B:病变位于优势半球额叶皮质或白质
C:病变位于分水岭区
D:可分为经皮质运动性、感觉性或混合性失语
E:复述均相对较好
脑脊液蛋白细胞分离现象常见于()。
A:病毒性脑膜炎
B:结核性脑膜炎
C:急性炎症性脱髓鞘性多发性神经病
D:化脓性脑膜炎
E:运动神经元病
支配咽喉部肌肉的颅神经有__________、__________、__________。
下列哪种疾病可以进行手术治疗( )
A:先天性脑积水
B:Arnold-Chiari畸形
C:颅底凹陷症
D:脑瘫痉挛型
E:扁平颅底
多梗死性痴呆最须注意与哪种疾病鉴别( )
A:Binswanger病
B:Parkinson病
C:脑囊虫病
D:脑膜炎
E:脑性瘫痪
慌张步态常见于()病。
首页
<上一页
66
67
68
69
70
下一页>
尾页