自考题库
首页
所有科目
自考历年真题
考试分类
关于本站
游客
账号设置
退出登录
注册
登录
出自:骨外科高级职称
早期髋关节结核分为单纯性滑膜结核或单纯性骨结核,以单纯性骨结核多见。( )
肱骨外科颈骨折外展型手法复位牵引在肩外展45°、前曲30°、上臂中立位、屈肘90°位,沿肱骨纵轴向下牵引。( )
对桡神经浅支的描述中正确的是( )
A:沿肱桡肌深面下行于桡动脉内侧
B:分布于腕及手背桡侧半皮肤
C:在前臂近侧1/3与桡动脉距离很近
D:远侧1/3与桡动脉距离很近
E:中1/3与桡动脉距离很远
大骨节病晚期发生畸形,体形呈侏儒状,有膝内翻或膝外翻,骨端肥大,关节变形增粗,指短粗。( )
有些轻微骨折,急诊拍片未见明显骨折线,如临床症状较明显,应于伤后2周拍片复查。( )
男,38岁,汽车撞伤后手掌着地,致右前臂活动受限6h来诊。体格检查:神志清,痛苦貌,右前臂肿胀、压痛、畸形,可触及骨擦音及假关节活动。此患者容易出现的并发症是()
A:肌腱断裂
B:神经损伤
C:骨筋膜室综合征
D:旋转功能障碍
E:血管损伤
在骨肿瘤的实验室检查中,错误的是()
A:广泛溶骨的转移或骨破坏,血清钙常升高
B:成骨性骨肿瘤,血清碱性磷酸酶升高
C:前列腺癌播散,血清酸性磷酸酶升高
D:浆细胞骨髓瘤,总蛋白浓度升高
E:血清碱性磷酸酶正常,可排除恶性骨肿瘤
Colles骨折发生在( )
A:桡骨近端
B:桡骨的远端
C:桡骨干
D:桡骨的任何部位
E:尺骨的远端
双侧耻骨支骨折移位,伤后十小时末排尿,血压脉搏正常,为诊断是否尿道断裂最简捷的方法是()
A:静脉肾盂造影
B:放置导尿管
C:膀胱镜检查
D:逆行性输尿管造影
E:肾脏CT扫描
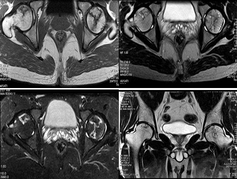
患者,男,24岁,曾有外伤史,两侧髋部疼痛不适数月,请结合所提供的图像,选择最佳答案()
A:股骨头无菌性坏死
B:髋关节退行性变
C:未见异常
D:化脓性骨关节炎
E:类风湿关节炎两侧
28岁,男性,外伤致股骨远端骨折,关节面不平,相差0.8cm,虽经治疗,骨折移位未见改变,最可能出现的晚期并发症是( )
A:骨化性肌炎
B:膝关节僵硬
C:褥疮
D:膝关节创伤性关节炎
E:膝关节外翻畸形
溶骨性骨转移可以出现( )
骨肉瘤可以出现( )
A:血钙升高
B:血磷升高
C:血清碱性磷酸酶升高
D:血清酸性磷酸酶升高
E:血总蛋白浓度升高
桡骨茎突狭窄性腱鞘炎时,下列哪一体征为阳性()
A:Finkelstein试验
B:Mills试验
C:Lasegue试验
D:Thomas试验
E:Dugas试验
患者,男性,30岁,近2年来感右膝疼痛,活动后加重,2周前由于剧烈运动后,后膝活动受限,右膝压痛明显,有波动感,皮肤稍显红肿,以髌骨部明显,请结合所提供图像,选择最佳选项()
A:纤维性骨皮质缺损
B:非骨化性纤维瘤
C:骨囊肿
D:骨巨细胞瘤
E:动脉瘤样骨囊肿
滑膜肉瘤是起源于______的恶性肿瘤,主要症状为关节附近的______。
下列那块肌肉对髋关节旋外无作用( )
A:大收肌
B:臀大肌
C:耻骨肌
D:缝匠肌
E:短收肌
上段胸髓位于()
A:胸椎10~12
B:与相应的椎骨平面相差1节
C:与相应的椎骨平面相差2节
D:与相应的椎骨平面相差3节
E:胸椎12与腰椎1
胫神经损伤小腿后侧、足背外侧、跟外侧和足底感觉障碍。( )
男性,40岁。搬运工人,弯腰中被重物砸伤胸背部。查体:胸12、腰1棘突间压痛,棘间距离加大,双下肢无力。 患者最后诊断为胸12椎体爆裂骨折,需进一步治疗,患者需做哪一项检查最有意义( )
A:肌电图检查
B:腰椎CT检查
C:腹部B超检查
D:心电图检查
E:出凝血时间检查
患者,男,36岁,腕部掌侧被玻璃割伤半小时,出现下列哪项体征说明有正中神经损伤()
A:伸指受限
B:外展拇指受限
C:掌指关节屈曲受限
D:并指功能受限
E:内收拇指受限
钩椎关节(Luschka关节)所在部位是()
A:颈椎
B:胸椎
C:腰椎
D:骶
E:尾椎
肱骨内髁骨折畸形愈合出现手内肌萎缩的原因是哪一项( )
A:尺神经炎
B:桡神经炎
C:正中神经炎
D:肌皮神经炎
E:腋神经炎
患者女,25岁。右膝关节外伤后内侧疼痛伴绞锁1个月,行走及活动时有突然“卡住”感,卡住后剧痛,轻轻活动到某一位置后可“解锁”,解锁后关节活动自如。下面最佳的治疗方案是()
A:关节镜下交叉韧带重建术
B:关节镜下游离体取出术
C:口服镇痛消炎类药物
D:关节镜检,半月板缝合术
E:关节镜下滑膜切除术
骨折治疗中不轻易切开复位内固定,最主要的原因是( )
A:影响骨折处血运,导致延迟愈合或不愈合
B:术中术后出血
C:易损伤大血管,引起肢体坏死
D:术后发生感染,形成骨髓炎
E:损伤神经,引起肢体瘫痪
患者男,24岁,腰背部疼痛伴活动受限进行性加重3年余,夜间明显,偶有下肢放射痛,有晨僵,活动后可改善,休息不能缓解。查体:患者腰椎活动明显受限,“4”字试验阳性。RF阴性。
第1题,共3个问题
(单选题)假如为明确诊断,最有必要的检查是()
A:双骶髂关节X线
B:周围关节X线
C:CRP
D:RF
E:HLA-B27
第2题,共3个问题
(单选题)所以这位该患者最可能的诊断是()
A:强直性脊柱炎
B:类风湿关节炎
C:腰椎间盘突出症
D:腰肌劳损
E:致密性骶髂关节炎
第3题,共3个问题
(单选题)所以该病最常用的治疗药物是()
A:双氯芬酸钠
B:沙立度胺
C:柳氮磺胺吡啶
D:甲氨蝶呤
E:伊那西普
男性,29岁,踢足球时不慎扭伤左膝,随即感疼痛,自行卧床制动、休息后稍有好转,2周后仍有明显疼痛,且行走时左膝经常“卡住”。遂来院就诊,查体发现MCMurray试验阳性,抽屉试验阴性 适合该患者的治疗手段有()
A:关节镜探查
B:膝关节开放手术
C:继续休息、服止痛药
D:长腿石膏固定于伸膝位4~6周
E:配合理疗,加强膝关节活动
腕管综合征表现有拇、示、中指感觉过敏或迟钝,大鱼际萎缩,拇指对掌无力。( )
臀肌筋膜炎( )
臀上皮神经炎( )
腰椎间盘突出症( )
腰骶韧带劳损( )
棘间韧带劳损( )
A:棘突间压痛
B:棘突旁深压痛
C:髂嵴内下方压痛
D:腰骶椎与髂后上棘之间压痛
E:髂嵴外1/3压痛
股神经损伤小腿外侧感觉障碍。( )
患者右膝关节隐痛3月,X片可见胫骨上端外侧边缘整齐的骨质透光区,中心有间隔改变,最可能的诊断是()
A:骨囊肿
B:内生软骨瘤
C:转移癌
D:胫骨骨髓炎
E:骨肉瘤
首页
<上一页
65
66
67
68
69
下一页>
尾页