出自:内分泌学高级职称

关于肺肿瘤合并SIADH,叙述正确的有()。
A:属于产肽激素瘤(APUDomA.
B:最多见者为小细胞未分化肺癌
C:半数以上小细胞未分化肺癌患者血浆AVP升高
D:约2/3的小细胞未分化肺癌患者水负荷排出受损
E:常伴其他激素分泌增多和相应症状
内分泌、免疫和神经三个系统之间不可以通过相同的肽类激素和共有的受体相互作用,形成一个完整的调节环路。
简述糖尿病的三级预防。
男性,40岁,体检发现空腹血糖6.4mmol/L。

第1题,共3个问题
(单选题)关于1997年DNA糖尿病诊断标准,不正确的是()。
A:取消了NIDDM和IDDM的称法
B:保留了1型、2型糖尿病的名称
C:取消了营养不良性糖尿病
D:葡萄糖耐量异常属于糖尿病的一个亚类
E:妊娠糖尿病属于糖尿病的一个亚类

第2题,共3个问题
(单选题)如患者糖负荷后2小时血糖11.1mmol/L,下列正确的是()。
A:再复查一次空腹血糖
B:诊断糖尿病
C:糖化血红蛋白
D:复查糖耐量试验
E:餐后2小时血糖

第3题,共3个问题
(单选题)此患者应首选下面检查确诊()。
A:再复查一次空腹血糖
B:尿糖
C:糖化血红蛋白
D:糖耐量试验
E:餐后2小时血糖

女性,33岁,4年来体重明显增加,最高75kg,半年前工作单位体检发现血糖高,多次查空腹血糖8~9mmol/L,被诊断为“2型糖尿病”,结婚10年,3年来月经稀发,未生育,弟弟患糖尿病。经饮食控制、适当运动和服用二甲双胍半年,体重下降10kg,月经恢复正常,目前停经2个月,被诊断为8周宫内妊娠。身高160cm,体重65kg,血压130/85mmHg,可见黑棘皮,无皮肤紫纹。血皮质醇正常,尿糖阳性,酮体阴性。



第1题,共3个问题
(单选题)此例病人应该诊断为( )
A:妊娠期糖尿病
B:糖尿病合并妊娠
C:1型糖尿病
D:LADA
E:MODY

第2题,共3个问题
(单选题)下一步应该如何治疗( )
A:继续服用二甲双胍
B:可以改用格列喹酮
C:采用胰岛素治疗
D:胰岛素合用二甲双胍
E:二甲双胍治疗效果不佳时,加用磺脲类药物

第3题,共3个问题
(单选题)此例患者在糖尿病初诊时,最应考虑排除( )
A:皮质醇增多症
B:缓慢进展1型糖尿病
C:特发1型糖尿病
D:多囊卵巢综合征
E:B细胞功能遗传性缺陷
肾脏功能不全的糖尿病患者适宜使用的磺脲类药物是( )
A:D860
B:格列喹酮
C:格列吡嗪
D:格列齐特
E:格列美脲
呼吸性酸中毒合并代谢性碱中毒时血气结果包括()。
A:PaCO2升高
B:pH值偏高
C:HCO3-明显升高
D:血钾降低,血氯降低
E:BE为负值
_____、_____、_____是糖尿病微血管病变的典型改变其主要表现在_____、_____、_____、_____,其中尤以糖尿病______和______为重要。
有关肢端肥大症的描述,下列哪项不正确( )
A:既有生长激素分泌增加,又可有促性腺激素、促甲状腺激素、促肾上腺皮质激素分泌不足
B:可伴有催乳素分泌增加
C:葡萄糖负荷后可呈糖耐量减低或糖尿病曲线
D:常见的原因是垂体瘤,且多数系微腺瘤,用药物治疗效果好
E:可有1,25(OH)D3水平增加,引起肠道钙吸收增加和尿结石增加
患者,男,16岁,近半年来多尿,多饮,查空腹血糖16mmol/L,酮体(+)。查体:身高1.70m,体重50kg,心、肺、腹检查无明显异常。 其他有关饮食的安排正确的是( )
A:饮食方案与确诊前一样
B:脂肪占总热量的15%
C:碳水化合物为总热量的40%~55%
D:蛋白质摄入量为每千克体重1.5~2.0g
E:开始使用药物治疗后血糖降至正常即可增加食量
下列不符合腺垂体功能减退表现的是()。
A:泌乳素分泌减少
B:促性腺激素分泌减少
C:促肾上腺皮质激素分泌减少
D:促甲状腺素分泌减少
E:胰岛素分泌减少
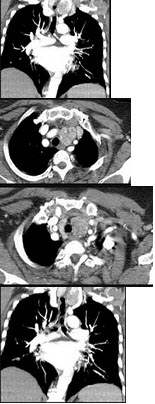
40岁,女,发现颈部肿块,随吞咽上下移动,触之无搏动,咳嗽、气喘一周,请结合CT检查选择最可能的诊断( )
A:胸腺瘤
B:胸内甲状腺瘤
C:无名动脉瘤
D:无名动脉伸展扭曲
E:淋巴瘤
患者女,25岁,因“反复腰痛伴肉眼血尿5年”来诊。查体:甲状腺不大;心、肺(-);肾区叩痛(+);双下肢无水肿。实验室检查:血钙3.0mmol/L,磷0.45mmol/L,ALP180U/L,24h尿钙10.4mmol,磷13.3mmol。B超:双肾结石。最有助于明确诊断的检查是()。
A:尿常规+沉渣镜检
B:动脉血气分析
C:血甲状旁腺素
D:肾穿刺活检
E:静脉肾盂造影
患者女,25岁,因“闭经、溢乳3个月”来诊。入院后2次查血PRL升高,分别为210μg/L和240μg/L;血清钙分别为3.4mmol/L和3.2mmol/L,血磷正常值低限;PTH水平升高,分别为180ng/L和200ng/L;尿常规BLD(+++)。垂体MRI:微腺瘤。最可能的诊断是()。
A:MEN1
B:MEN2A
C:MEN2B
D:催乳素瘤
E:原发性甲状旁腺功能亢进症
男性,55岁,颈粗20年,心悸乏力1年。加重1个月,查体:无突眼,甲状腺Ⅱ,表面不平,无触痛可闻血管杂音,心界不大,心率106次/分,早搏6~8次/分,最可能的病因诊断是( )
A:Graves病
B:结节性甲状腺肿伴甲亢
C:桥本病慢性淋巴细胞性甲状腺炎
D:甲亢性心脏病
E:单纯性甲状腺肿伴冠心病
糖尿病诊断中的任意时间是指()。
A:饭后
B:无特殊规定
C:每日上午
D:饭前
E:每日睡前
中枢性性早熟的首选治疗药物是()。
A:酮康唑
B:GnRH类似物
C:环丙孕酮
D:达那唑
E:安体舒通
下丘脑激素包括______、____、____、_____、_____和_____六种。
甲亢患者心血管系统的表现有()。
A:窦性心动过速
B:心房纤颤
C:期前收缩
D:第一心音亢进
E:房室传导阻滞
下列哪些情况不宜应用减肥药( )
A:儿童
B:孕妇
C:乳母
D:原有对该类药物有不良反应者
E:正在服用其他选择性血清素再摄取抑制剂
不符合甲状腺功能亢进的临床表现的是()。
A:易发生房性心律失常
B:可发生低钾性麻痹
C:活动时心率加快,休息则心率正常
D:可伴有肌病
E:老年患者可不出现高代谢综合证
垂体性甲亢与甲状腺性甲亢鉴别主要在于后者( )
A:T3明显增高
B:T4明显增高
C:BMI增高
D:TSH增高
E:TSH下降
女性,30岁,1型糖尿病,中断胰岛素治疗3日突发昏迷,血糖35.3mmol/L,血pH值7.0,尿糖、尿酮强阳性。静滴胰岛素、碳酸氢钠,血糖有所下降,酸中毒改善,一度清醒后又陷于昏迷。患者再次昏迷的原因可能为( )
A:脑血管意外
B:低血糖
C:脑水肿
D:尿毒症
E:乳酸性酸中毒
α葡萄糖苷酶抑制剂尤其适用于空腹血糖正常而餐后血糖明显升高者。
肾上腺皮质腺瘤致柯兴氏综合征的治疗方法是()。
A:手术切除
B:放射治疗
C:溴隐亭
D:双氯苯二氯乙烷
E:赛庚啶
女性,40岁,10年前生育一子后闭经,体力差,常因为感染脱水,血压低。

第1题,共4个问题
(单选题)以下检查最可能出现异常的是()。
A:血糖
B:尿17-OHCS
C:ACTH兴奋试验
D:ACTH
E:电解质

第2题,共4个问题
(单选题)患者的治疗方案不包括()。
A:治疗两年后逐渐减量停药
B:终身用药
C:避免劳累
D:药量调整
E:终身定期检查

第3题,共4个问题
(单选题)最有效的治疗是()。
A:静脉滴注ACTH
B:输入盐水加胰岛素
C:输入糖盐水加氢化可的松
D:输入糖盐水加地塞米松
E:输入葡萄糖加抗生素

第4题,共4个问题
(单选题)预计可能的疾病是()。
A:交感性低血糖
B:继发闭经
C:Addison病
D:Sheehan病
E:以上都不是
男性,14岁。严重口干,多饮、多尿伴遗尿2个月就诊。体检:身高132cm,体重26kg。应用加压素进行深部肌内注射过程中,应警惕下列情况的出现()。
A:切勿过量引起水中毒
B:内脏血管收缩及平滑肌收缩引起腹痛
C:高血压
D:肝损害
E:白细胞减少
Addison病患者的实验室检查常表现为早晨________降低,________增高。
患者女,16岁,因“颈部增粗1个月”来诊。无怕热、多汗、心悸、消瘦等,无呼吸困难,食欲可。查体:T36.4℃,P70次/min,R16次/min,BP120/80mmHg;甲状腺Ⅱ度肿大,边界清楚,表面光滑,质软,无压痛,未闻及血管杂音;HR70次/min,律齐,各瓣膜听诊区未闻及病理性杂音;双手平伸未见细震颤。该患者的治疗原则为()。
A:可适当补碘
B:可试用优甲乐治疗
C:监测FT3、FT4、TSH水平
D:行甲状腺大部切除术
E:应用免疫调节剂
F:甲状腺131I治疗

患者,女,63岁,发热、咳嗽、咳痰10天,神志不清1天,急诊入院。有高血压、糖尿病史。体检:T39℃,R25次/分,BP130/70mmHg。皮肤干燥,双下肺较多湿啰音。



第1题,共3个问题
(单选题)首先应进行的检查是( )
A:血常规
B:血生化八项
C:血气分析
D:胸片
E:尿糖及酮体

第2题,共3个问题
(单选题)下列检查中最可能异常的是( )
A:血二氧化碳结合力
B:血pH值
C:血糖
D:血清钾、钠、氯、钙
E:血乳酸

第3题,共3个问题
(单选题)昏迷最可能的原因是( )
A:脑细胞脱水、缺氧
B:中毒性脑病
C:脑水肿
D:乳酸酸中毒
E:低血糖