自考题库
首页
所有科目
自考历年真题
考试分类
关于本站
游客
账号设置
退出登录
注册
登录
出自:消化内科学高级职称
原发性胆汁性肝硬化的病人最常见的初发症状是______________________,常在____________________发现以前出现。原发性胆汁性肝硬化患者多有血清____________________阳性。可减少内源性胆汁酸毒性、保护肝细胞、增加内源性胆汁酸分泌的药物是____________________。
患者男,39岁。主诉“间断腹痛、腹泻10余年,加重伴有黏液脓血便1年”入院。该患者10余年前开始出现间断腹泻,最多每日排黄色不成形便3~4次,伴有下腹痛,便后腹痛缓解,未予系统诊治;1年前患者腹痛腹泻症状加重,伴有黏液脓血便,现最多每日10余次,有里急后重,有腹痛便后缓解,伴有腹胀,食欲缺乏,无恶心呕吐,近1年体重下降约5kg。该患者入院后需完善哪些相关检查()。
A:便常规及潜血
B:结肠镜
C:便细菌培养
D:肿瘤标记物CEA等
E:血p-ANCA及ASCA
患者男,24岁,主因“肝功能持续异常4年,食欲减退,尿黄20d”入院,外院经保肝降酶治疗无缓解,既往无烟酒嗜好及输血史,无特殊药物使用史及毒物接触史,其母死于肝硬化,其弟不明原因氨基转移酶升高史2年。目前该患者的诊断考虑()。
A:自身免疫性肝炎
B:肝豆状核变性
C:血色病
D:遗传性高胆红素血症
E:病毒性肝炎,慢性活动型
F:肝性卟啉病
男性,50岁,上腹疼痛7年余,进高脂餐易出现疼痛,上腹轻压痛,ERCP显示胰管扭曲变形,结石影,可能的诊断是()。
A:慢性胃炎
B:慢性胰腺炎
C:慢性胆囊炎
D:胃肠神经功能紊乱
E:胰腺癌
患者女,26岁,3个月来全腹胀,右上腹触及不易推动、边缘不整的肿块,有压痛,近1个月低热,盗汗不明显。最大可能是()。
A:胆囊肿大,伴炎症
B:肝结核
C:结核性腹膜炎
D:肾结核
E:肾囊肿
消化性溃疡的得名主要是因为( )
A:溃疡发生于消化道
B:溃疡影响消化功能
C:溃疡形成与消化道功能障碍有关
D:溃疡形成与消化道激素排泌紊乱有关
E:溃疡形成与胃酸和胃蛋白酶消化作用有关
女,31岁,低盐、盗汗、腹痛、腹泻3个月,体重减轻3kg。肠结核时腹部最多见的压痛部位()。
A:右上腹压痛
B:右中腹压痛
C:右下腹压痛
D:下腹正中压痛
E:左下腹压痛
女,42岁,晚餐后4小时突起中上腹剧痛。既往有胆石症病史。查体:皮肤、巩膜黄染,腹微饱胀,中腹带状.压痛,可疑反跳痛,右肋下扪及肿大的胆囊,并有明显触痛。化验血清淀粉酶600u(Somogyi法)。入院后黄疸进行性加深。最关键的治疗是( )
A:止痛解痉
B:抑制或减少胰液分泌
C:禁食
D:输液
E:手术解除胆道梗阻
迷走神经促使胃酸分泌是通过释放()。
A:组胺
B:5-羟色胺
C:胃泌素
D:乙酰胆碱
E:胰岛素
下列哪些是绞窄性肠梗阻的临床表现( )
A:持续性腹痛,逐渐加重
B:病情发展迅速,早期出现休克
C:腹膜刺激症状
D:腹胀不对称
E:阵发性腹痛,腹胀对称
溃疡型结肠炎肠道内瘘或外瘘的发生率远较Crohn为高
原发性肝癌伴癌综合征中,较常见的是()。
A:自发性低血糖症
B:类癌综合征
C:红细胞增多症
D:高血脂
E:高血钙
女性,32岁,反复腹泻3个月,近1月呈黏液脓血便,6~8次/天,伴左下腹疼痛,里急后重感。体检:T38.3℃,左下腹压痛;便培养未见致病菌生长。该患者临床分型是()。
A:轻型
B:中型
C:重型
D:暴发型
E:混合型
患者女,28岁,妊娠6个月,独自夜宵(蒸蛋羹)后30min上腹痛,恶心,不伴吐泻,无不洁饮食史,来院急诊。查体:T37℃,P80次/min,R14次/min,Bp110/70mmHg。步入诊室,全身皮肤、黏膜无黄染及淤点。双肺呼吸音正常,未闻及干、湿啰音,心率80次/min,律齐,无杂音。下腹膨隆,上腹软,轻度压痛,无反跳痛,肝、脾不大,肠鸣音存在。再次考虑诊断,应选择()。(提示:再次查体:T37.2℃,未见黄疸,纵隔右移,心率100次/min,左下胸部叩浊,右肺呼吸音较左肺明显增粗,左肺未闻管样呼吸音,双肺未闻啰音。上腹压痛,无反跳痛,未及腹块,无震水声,可间断闻及响亮的气过水声。)
A:急性重症胰腺炎,伴左侧胸腔积液
B:机械性肠梗阻
C:左下肺炎
D:膈疝
E:胃溃疡穿透至胰腺
女性,40岁。确诊肠结核半年。下述处理方案,哪项是错误的()。
A:适当休息,增加营养
B:抗结核药物应联合用药,疗程要足
C:无严重并发症,一般不必手术
D:治疗初期应加用肾上腺皮质激素
E:如需手术(如肠梗阻),术后也应继续抗结核治疗
可促进体内氨的代谢的药物有()。
A:鸟氨酸-α-酮戊二酸
B:精氨酸
C:L-鸟氨酸-L-门冬氨酸
D:苯甲酸钠
E:谷氨酸
患者男,40岁,肝硬化病史5年,2周来腹胀,尿少,双下肢水肿。腹膨隆、腹部叩诊移动性浊音阳性。实验室检查:ALT80U/L,血钠130mmol/L。下列治疗
不正确
的是()。
A:保肝降酶治疗
B:口服利尿药治疗
C:严格限制水的摄入
D:限制钠盐摄入
E:腹腔穿刺放腹腔积液治疗
肝癌淋巴结转移最多的是锁骨上淋巴结
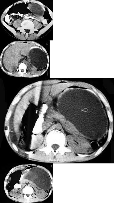
男,33岁,腹部外伤后两月余,腹部疼痛,行CT扫描所见如图,最可能的诊断是( )
A:急性胰腺炎
B:慢性胰腺炎
C:胰腺创伤性假性囊肿
D:畸胎瘤
E:腹腔包裹性积血
下列哪项是克罗恩病最常见的临床表现( )
A:肠梗阻
B:高热
C:肛门直肠周围病变
D:腹部肿块
E:腹痛腹泻
患者男,34岁。在第1次献血时被告知肝生化值异常。病毒性肝炎血清学结果阴性。碱性磷酸酶水平为正常值上线的3倍。丙氨酸氨基转移酶和天冬氨酸氨基转移酶值为正常值上限的2倍。肝、胆超声正常。接下来9个月肝生化指标持续异常。内镜逆行性胆胰超声显示肝周围及肝内管道多发弥散结构。再次询问了患者的排便习惯。多年来排便一直规律,2次/d,半成形便。偶尔便后有血,乙状结肠镜检查显示所及范围内仅有轻微改变,以血管纹理丧失及颗粒状改变为主。有小的痔疮灶。活检显示轻度活动性慢性结肠炎。
不正确
的建议是()。
A:CT检查近端结肠
B:结肠镜检查同时监测性活检取材,每1~2年重复检查
C:8年内监测性结肠镜检查,每1~2年检查1次
D:补充叶酸
E:粪便DNA取样
首选考虑为肝硬化自发性腹膜炎的是( )
首先考虑为肝癌的是( )
A:腹水为漏出液
B:腹水为渗出液
C:血性腹水
D:腹水介于渗出液与漏出液之间
E:腹水为脓性
以下蛋白的基因可能为原癌基因(oncogene)的是()。
A:生长因子
B:生长因子受体
C:蛋白激酶
D:细胞周期蛋白
E:细胞黏附分子
女,20岁,厌食、呕吐1年,伴闭经。查体:营养不良,体温35.5℃,血压10.6/6.0kPa(80/45mmHg),心率56次/分,律齐,无杂音,腹部无明显异常,神经系统检查正常。B超及胃镜无异常。最主要的治疗是( )
A:精神病专科治疗
B:胃动力药
C:针灸、理疗
D:少渣、易消化的饮食
E:中医治疗
肝细胞癌的肿瘤标记物是( )
A:CEA
B:AFP
C:PSA
D:CA19-9
E:酸性磷酸酶
在LunDh试验中,标准餐后十二指肠液中胰蛋白酶浓度小于何值为胰功能不全()。
A:8U/L
B:9U/L
C:7U/L
D:6U/L
E:以上均不是
男,25岁,2天来多次解柏油样大便。以往无慢性上腹柏油样大便。以往无慢性上腹痛及肝病史,新近无服药史查体:血压8.6/5.3kPa(65/40mmHg),脉率120次/分,腹平软,无压痛,肝脾未扪及。 近年来认为与消化性溃疡有关的细菌是( )
A:幽门螺杆菌
B:副大肠杆菌
C:葡萄球菌
D:链球菌
E:大肠杆菌
男,36岁,农民,反复上腹部疼痛半年,多为饥饿痛,进食后可缓解,偶有返酸,无呕吐。无烟酒嗜好。查体:腹平软,剑下轻压痛。X线钡餐检查提示十二指肠球部龛影。口服甲氰咪胍2周后症状缓解,之后又继续口服1个月。2年后上述症状复发。查体和钡餐检查同前。你认为疾病复发的主要原因是什么?如何解决?给出一种治疗方案。
男性,67岁,反复腹泻10年,多于饭后或晨起发作,每日5~6次/日,近日大便带血,该患者不应考虑的诊断( )
A:痔疮
B:结肠癌
C:溃疡性结肠炎
D:肠易激综合征
E:直肠癌
可以导致霉菌性食管炎的病原体()。
A:白色念珠菌
B:热带念珠菌
C:克鲁斯念珠菌
D:植物真菌
E:隐球菌
首页
<上一页
62
63
64
65
66
下一页>
尾页