自考题库
首页
所有科目
自考历年真题
考试分类
关于本站
游客
账号设置
退出登录
注册
登录
出自:神经病学高级职称
引起病毒性脑膜炎最常见的病原体是________,该病毒的主要传播途径是__________。
患者,女,31岁,常于受寒后出现四肢肢端对称性疼痛性间歇发白、青紫与潮红,如图可采用的治疗方法为( )
A:注意保暖,防止肢体受凉
B:使用妥拉苏林等扩血管药物
C:使用尼莫地平等钙离子拮抗剂
D:使用利血平等儿茶酚胺耗竭剂
E:使用复方丹参注射液
试述MS的病因和发病机制?
癔病步态
脑卒中最重要的和独立的危险因素是高血压病。( )
脊髓硬膜同髓外肿瘤的临床特点主要有哪些?
全面性强直—阵挛发作
典型偏头痛与普通型偏头痛的区别在于前者有( )
A:怕光、怕声、恶心
B:一侧搏动性头痛
C:头痛持续4~72小时
D:睡眠后好转
E:有视觉和感觉先兆症状
紧张性头痛的治疗原则?
脑栓塞最常见的栓子来源是()。
下列哪些可致脑脊液蛋白增高( )
A:椎管完全梗阻
B:脑出血
C:听神经瘤
D:Guillain-Barre综合征
E:中枢神经系统感染
单侧节段性分离性感觉障碍见于( )
双侧节段性分离性感觉障碍见于( )
对侧偏身感觉缺失( )
对侧单肢感觉缺失( )
A:大脑皮质
B:脊髓后根
C:脊髓后角
D:前连合
E:内囊
双眼颞侧偏盲可见于( )
A:垂体瘤
B:枕叶肿瘤
C:额叶肿瘤
D:颞叶肿瘤
E:顶叶肿瘤
镜像动脉瘤
Refsum病
运动性失语的病变部位在()。
30岁男性,因口周麻木1个月来诊。查体口周及鼻尖部痛觉消失,触觉存在,该患者最可能的病变部位在( )
A:三叉神经感觉主核下部
B:三叉神经感觉主核上部
C:三叉神经脊束核下部
D:三叉神经脊束核上部
E:三叉神经中脑核
Jackson Epilepsy
Willis环
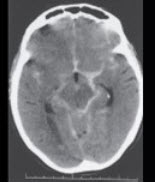
男性,23岁,突发剧烈头痛5小时入院,行头颅CT出现如图所示病变,应诊断为( )
A:脑出血
B:脑梗死
C:蛛网膜下隙出血
D:硬膜下出血
E:硬膜外出血
结核性脑膜炎和新型隐球菌脑膜炎的鉴别主要通过( )
A:脑脊液中蛋白的变化
B:脑脊液中病原体检查
C:脑脊液中糖的变化
D:脑脊液中氯化物的变化
E:是否存在慢性消耗性疾病
关于不自主运动正确的为( )
A:舞蹈症情绪激动时加剧,随意运动时消失
B:手足徐动症表现为肢体近端游走性肌张力增高或减低的动作
C:偏身投掷运动以肢体远端受累为主
D:肌张力障碍是异常肌收缩引起的缓慢扭转样不自主运动或姿势异常
E:痉挛性斜颈是扭转性肌张力障碍的变异型
简述慢性多发性肌炎与肢带型肌营养不良症的鉴别。
视觉失认病变位于____________、______________和__________________。
神经梅毒主要累及________、________或________,是________期梅毒的全身受损的重要表现。
试述肌电图检查的临床意义
烛泪征
梅毒早期主要损害________和________。
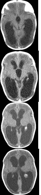
1岁,女,头颅呈球状,颅骨透光试验阳性,请结合CT图片,选择最可能的诊断( )
A:脑严重缺血
B:慢性双侧性巨大硬膜下血肿
C:水瘤
D:先天性脑积水
E:重度脑积水
强直阵挛发作的特征是( )
A:发作性头痛
B:发作性多动
C:发作性强直—阵挛动作及意识障碍
D:发作性意识障碍
E:发作性偏瘫
首页
<上一页
61
62
63
64
65
下一页>
尾页