出自:神经病学高级职称

可引起单瘫的病变部位有( )
A:大脑皮质运动区
B:一侧脑干
C:一侧颈段或腰段前根
D:脊髓胸段半侧损害
E:脊髓一侧颈膨大或腰膨大前角
右利手脑血栓形成患者出现右侧偏瘫、偏身感觉障碍和偏盲,并有运动性失语,病变的血管定位于( )
A:右颈外动脉
B:右大脑中动脉主干
C:左大脑中动脉主干
D:左颈外动脉
E:左大脑中动脉豆纹动
头痛的常见原因?治疗原则是什么?
脊髓空洞症的诊断与鉴别诊断是什么?
可以出现肌强直的周期性瘫痪属于( )
A:高钾型周期性瘫痪
B:低钾型周期性瘫痪
C:正常血钾型周期性瘫痪
D:心律失常型周期性麻痹
E:甲亢型周期性麻痹
如图箭头所示绿色范围感觉为上肢哪根神经( )
A:桡神经
B:尺神经
C:腋神经
D:正中神经
E:肌皮神经
CJD
高血压脑病与高血压危象如何进行鉴别?
基底型偏头痛与癫痫的鉴别包括( )
A:可以脑干症状为先兆
B:先兆持续20~30分钟
C:以枕颈部疼痛为主
D:可有意识模糊、跌倒发作
E:EEG上无棘慢波
应用镇静催眠药注意事项有哪些?
甲亢性周期性瘫痪属( )
A:高血钾型
B:低血钾型
C:正常血钾型
D:Andersen综合征
E:骨骼肌钠通道病
典型失神发作
何谓静止性震颤,多见于何种疾病?
如图所示为神经突触示意图请标出1___________、2_________、3___________、4__________、5_________、6___________部位
简述神经传导速度(NCV)和肌电图(EMG)对周围神经病的诊断价值。
一线抗癫痫药主要有哪几种?应用其控制癫痫时的原则是什么?
抗癫痫药物减量的原则是什么?
请回答动脉瘤的Hunt-Hess分级。
脑脊液常规检查,正常白细胞计数为0~5个/mm,且以多个核细胞为主。

患者,女性,68岁,高血压病史多年,演讲时突发头痛、呕吐、并短暂性肢体抽搐。急诊检查患者昏迷,血压290/140mmHg,左侧瞳孔大,光反射消失,右侧偏瘫。



第1题,共2个问题
(单选题)该患者最可能的诊断是( )
A:脑出血,左颞叶钩回疝
B:高血压脑病
C:颈内动脉血栓形成
D:脑出血,小脑扁桃体疝
E:蛛网膜下隙出血

第2题,共2个问题
(单选题)此时应立即采取的措施是( )
A:立即行MRI检查明确是出血还是梗死
B:降血压治疗
C:立即行颅脑CT查明确是出血还是梗死
D:甘露醇脱水降颅压
E:控制抽搐
离子通道因其通过离子的不同而分为_________、_________、_________和_______。
突触由_________(神经末梢)、_________和_________(肌膜)组成。_________膨大无髓鞘,内含储存神经递质_________的许多囊泡,_________可释放到_________;_________有许多皱褶形凹陷,_________在皱褶隆起部存在。
运动性失语,病变部位在优势半球的()。
A:枕叶
B:颞上回后部
C:顶上小叶
D:顶下小叶
E:额下回后部
肱二头肌腱反射消失,病变部位在()。
A:颈髓第1、2节段
B:颈髓第3、4节段
C:颈髓第5、6节段
D:颈髓第7、8节段
E:胸髓第1、2节段
常用的轻瘫检查方法__________、__________、__________、__________、__________。
女性,25岁,傍晚时易出现复视、四肢乏力,休息和晨起时有好转。检查:双眼睑轻下垂,左眼外展差,双眼球其余各向活动正常。四肢肌力4度,肌张力正常,无其他异常神经损害体征。正常肌电图,但尺神经处重复电刺激后,支配肌的动作电位波幅递减30%。 最适宜的病因治疗为( )
A:泼尼松
B:维生素B1
C:口服氯化钾
D:溴吡斯的明
E:A型肉毒毒素
三叉神经检查包括( )
A:面部感觉
B:角膜反射
C:咀嚼运动
D:眼裂大小
E:下颌反射
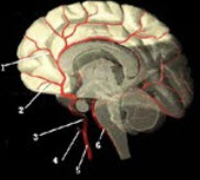
分别标出如图所示1_______________2_______________3_____________4___________5____________6_______________为哪根血管。
弥漫性硬化的视觉诱发电位异常以_________为主,而多发性硬化的视觉诱发电位多以_________为主。
周围神经病中出现自主神经障碍最常见于小纤维受累。