自考题库
首页
所有科目
自考历年真题
考试分类
关于本站
游客
账号设置
退出登录
注册
登录
出自:神经病学高级职称
试述Pick病的临床表现。
副交感神经系统下列哪项正确( )
A:使器官活动增强,机体耗能增加
B:支气管扩张
C:呼吸加快
D:与交感神经起拮抗作用
E:与交感神经起协同作用
一般脑脊液化验检查包括哪些内容?
脊髓损害的主要临床表现。
关于脊髓亚急性联合变性正确的是( )
A:常由叶酸缺乏所致
B:以皮质脊髓束和脊髓丘脑束受损为主
C:括约肌障碍出现较晚
D:常累及脑神经
E:极少出现精神症状
内囊损害的三偏综合征包括(),()和()。
亚急性联合变性主要累及__________、____________及__________。
试述丘脑出血后的临床表现。
真性球麻痹和假性球麻痹的不同之处在于假性球麻痹的咽反射存在
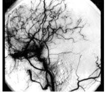
25岁脑室出血患者, 行脑DSA发现如图所示血管,这种血管图称为__________。
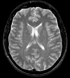
患者,男,30岁,头痛、呕吐三周,低热,脑膜刺激征(+),MRI如图,最可能的诊断是( )
A:结核性脑膜炎
B:真菌性脑膜炎
C:朊病毒感染所致脑损害
D:HIV病毒感染脑损害
E:巨细胞病毒感染脑损害
syndrome of internal carotid artery
病人意识障碍,不能叫醒,对疼痛刺激有痛苦表情和防御反应,对光反射、角膜反射和吞咽反射存在。这种意识障碍是()。
A:嗜睡
B:昏睡
C:浅昏迷
D:中度昏迷
E:深昏迷
一侧三叉神经麻痹时,张口下颌向__________偏斜。
中脑Weber综合征的特点?
结核杆菌导致的最常见的中枢神经系统病变是__________。
一成年女性,生育两个Duchenne型肌营养不良患儿,但她的兄弟皆无此病,则她为( )
A:正常人
B:可能携带者
C:很可能携带者
D:肯定携带者
E:患者
关于短暂性脑缺血发作的描述
不正确
的是( )
A:多发生于30岁以上的女性患者
B:发病多较缓慢,逐渐出现神经功能障碍
C:症状多于5分钟达到高峰
D:每次发作的症状多不相同
E:多数为症状持续数秒钟即消失的闪击样发作
深反射检查包括哪些内容?
进展型MS的治疗及药物?
20岁男性,2年前发现左手不知冷热。查体左上肢痛温觉消失,触觉存在,深感觉正常,可能的病变部位是( )
A:后索
B:灰质前联合
C:侧角
D:后角
E:脊髓丘脑束
Dementia(痴呆)
假性癫痫发作与癫痫发作如何鉴别?
如何判断脊髓横贯损害时的病灶水平?
Becker假肥大型肌营养不良症患者可有下列哪些临床表现( )
A:常在12岁以后发病
B:常染色体隐性遗传
C:血清CK增高
D:腓肠肌肥大
E:近端肢体无力
下列疾病的病理改变中不会出现炎性反应的是( )
A:进行性多灶性白质脑病
B:皮质—纹状体—脊髓变性
C:神经梅毒
D:神经系统钩端螺旋体病
E:神经Lyme病
皮质型感觉障碍的特点是( )
A:病变对侧单肢感觉障碍
B:感觉障碍多呈手套袜套状分布
C:皮质感觉中枢受刺激可出现感觉性癫痫发作
D:病变对侧半身自发性疼痛
E:可出现实体觉及两点辨别觉障碍
小脑病变( )
后索病变( )
前庭迷路病变( )
A:Romberg征阳性
B:反跳试验阳性
C:两者均有
D:两者均无
临床上神经系统定性诊断主要是根据( )
A:起病形式、症状的发生顺序、疾病的演变过程以及必要的特殊检查
B:神经系统的体征
C:患者的家族史以及必要的特殊检查
D:特殊检查
E:以上均不是
左侧外展神经与面神经瘫痪,右侧肢体偏瘫,病变在()侧()。
首页
<上一页
59
60
61
62
63
下一页>
尾页