自考题库
首页
所有科目
自考历年真题
考试分类
关于本站
游客
账号设置
退出登录
注册
登录
出自:神经病学高级职称
一个半综合征表现为向病灶侧的_________,同侧眼球_________,仅对侧可以_________,多为脑干_________所致。
核黄疸的治疗可选用( )
A:丙戊酸钠
B:苯巴比妥
C:紫外线照射
D:输血
E:血清白蛋白
脊髓亚急性联合变性的临床表现为_____________、______________、___________及______________等。
偏头痛的等位发作
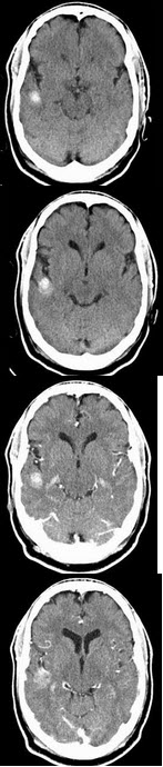
男,54岁,癫痫发作,请结合影像图像选择最可能的诊断( )
A:脑脓肿
B:脑出血
C:海绵状血管瘤
D:胶样囊肿
E:脑转移瘤
核性眼肌麻痹
具有中央一颞部或枕部棘波的良性儿童期癫痫可选用___________和___________。
剪刀步态见于()病人。
诊断原发性癫痫的主要依据是( )
A:脑电图改变
B:临床表现
C:神经系统体征
D:家族史
E:临床表现+脑电图改变
男性,33岁,10个月来左下肢麻木,由下向上发展,5个月来右下肢进行性无力。检查:右脐部有一过敏带,左腹股沟以下痛温觉减退,右下肢肌力4级,膝反射亢进,病理反射(+)。脊髓损害的部位在()。
A:胸2
B:胸5
C:胸10
D:胸12
E:腰1
急性脊髓炎与急性炎症性脱髓鞘性多发性神经病的鉴别点()。
A:起病急缓
B:有无感觉障碍
C:有无脑脊液蛋白增高
D:有无尿潴留
E:有无肌张力减低
癫痫部分运动性发作自一处开始后,按大脑皮质运动区的分布顺序缓慢地移动,属于( )
A:强直—阵挛发作
B:杰克逊(Jackson)癫痫
C:复杂部分性发作
D:典型失神发作
E:癫痫持续状态
儿童和成人癫痫的病因有何不同?
___________、______________、____________的检测可以作为CNS内自身合成Ig的标志。
对进行性多灶性白质脑病描述正确的是( )
A:乳头状瘤空泡病毒感染所致、与免疫功能障碍有关
B:表现痴呆和局灶性皮质功能障碍
C:急性或亚急性病程,3~6个月死亡
D:NotCh3基因突变所致
E:多见于艾滋病淋巴瘤、白血病或器官移植后服用免疫抑制剂患者等
intelligenCe disturbanCe
模糊效应
骨骼肌的主要作用
不包括
( )
A:执行机体运动
B:调节内分泌
C:参与机体能量代谢
D:参与心肌收缩
E:调节水、电平衡
CTM2型腓骨肌萎缩症病理主要改变为神经纤维对称性节段性脱髓鞘。( )
hydrocephalus
Jackson征
单纯疱疹病毒的抗原性分为( )
A:1型
B:2型
C:3型
D:4型
E:以上均不是
下列哪些因素可使重症肌无力病情恶化甚至诱发MG危象( )
A:感染
B:精神创伤
C:过度疲劳
D:进食
E:妊娠、分娩
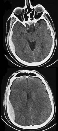
男,32岁,有头颅外伤史,结合CT图像选择最可能诊断( )
A:硬膜下血肿
B:硬膜外血肿
C:硬膜下积液
D:蛛网膜下隙出血
E:脑错裂伤
自主神经系统是由( )
A:交感神经系统组成
B:交感及副交感神经系统组成
C:胆碱能神经和肾上腺素能神经组成
D:副交感神经系统组成
E:以上均不是
脑缺血性病变的病理分期是:①________;②__________;③__________;④_____________;⑤______________。
试述临床上有哪几种意识障碍?
抗胆碱能药物的主要副作用________、________、________、________。
视神经脊髓炎不会转变为典型的多发性硬化( )
什么是失语症?
首页
<上一页
58
59
60
61
62
下一页>
尾页