自考题库
首页
所有科目
自考历年真题
考试分类
关于本站
游客
账号设置
退出登录
注册
登录
出自:内分泌学高级职称
下列哪种激素减少可引起尿崩症()。
A:生长激素
B:甲状旁腺素
C:精氨酸加压素
D:糖皮质激素
E:促肾上腺皮质激素
关于2型糖尿病强化血糖控制,叙述错误的有()。
A:减少微血管和神经并发症
B:对大血管病变无益处
C:增加低血糖发生风险
D:可使糖尿病病程较短、基线GHbA1c较低的患者CVD获得明显益处
E:预期寿命比较短的患者也可进行
女性,17岁,1个月来常感口干,故大量饮用甜饮料,每日约2000~4000ml,尿量每日约3000~4000ml,夜尿明显增多,体重下降约3kg,1天前受凉后出现咽痛、发热、嗜睡。查体:皮肤弹性差,血压90/60mmHg,血糖23mmol/L,血CO
2
CP11mmol/L。患者首要的抢救措施为()。
A:小剂量速效胰岛素持续静脉滴注
B:纠正电解质紊乱
C:补充碳酸氢钠
D:补液
E:使用脱水药治疗脑水肿
桥本甲状腺炎患者血中TPOAb和TGAb滴度明显降低。
关于甲亢患者的甲状腺下列哪项是错误的()。
A:一般为弥漫性肿大
B:质地柔软,久病者较韧
C:肿大程度与病情轻重一致
D:可闻及血管杂音
E:极少数位于胸骨后
一位疑有甲状腺功能亢进症的患者,2周前曾做胆囊造影,哪项实验室检查对确诊最有价值( )
A:甲状腺(131)I吸收率
B:甲状腺激素结合试验
C:血rT3测定
D:血FT4测定
E:BMR测定
胰岛素抵抗(IR)是指机体对一定量胰岛素的生物学反应低于预计正常水平的一种现像。
女性,33岁,近2年来反复出现清晨不易唤醒,饮糖水后可缓解,且发作逐渐频繁。
第1题,共2个问题
(单选题)其最可能的诊断为()。
A:肝癌晚期
B:胰岛素瘤
C:糖原累积病
D:腺垂体功能减退症
E:肝硬化
第2题,共2个问题
(单选题)如果血气分析报告pH7.30,首先应检查的是()。
A:甲状旁腺素
B:尿酸化功能
C:肝功能
D:甲状腺功能
E:免疫功能
糖尿病酮症酸中毒时,供氧系统失常,造成组织缺氧是由于()。
A:红细胞GHB含量增加
B:血红蛋白与氧亲和力增强
C:红细胞2,3-dpg减低
D:血氧离解曲线左移
E:血氧离解曲线右移
肾上腺皮质功能减退症患者可有高血钠、低血钾。
患者男,50岁,因“体检发现血脂异常1d”来诊。既往体健,家族史无异常。查体:BP120/70mmHg;BMI22kg/m
2
;心、肺未见异常。实验室检查:TC7.16mmol/L,LDL-C5.0mmol/L,TG2.7mmol/L,HDL-C0.91mmol/L。确立诊断后,首先应该采取的措施是()。
A:医学营养治疗
B:血脂异常危险分层
C:增加体力活动
D:给予他汀类药物
E:不予处理
患者女,35岁,诊断为甲状腺功能亢进症后即行甲状腺次全切除术。术后患者出现高热,HR160次/min,烦躁不安,大汗淋漓,腹泻。
第1题,共4个问题
(多选题)为明确诊断,首先需要做的检查是()。
A:甲状腺功能测定
B:血离子测定
C:心电图
D:血分析
E:胸部X线片
F:颅脑CT
第2题,共4个问题
(多选题)如患者死亡,其致死原因可能是()。
A:高热
B:休克
C:心力衰竭
D:水和电解质紊乱
E:周期性瘫痪
F:胫前黏液性水肿
第3题,共4个问题
(多选题)应对该患者首先采取的治疗措施是()。
A:口服丙硫氧嘧啶600mg
B:静脉注射毛花苷丙0.2mg
C:口服复方碘溶液30~60滴
D:快速大量补液
E:纠正离子紊乱
F:静脉滴注氢化可的松100mg
第4题,共4个问题
(多选题)该患者可能出现()。
A:低渗性失水
B:等渗性失水
C:高渗性失水
D:休克
E:昏迷
F:离子紊乱
下列关于糖尿病的胰岛素治疗,正确的是()。
A:肥胖的糖尿病人较适宜于胰岛素治疗
B:脆性糖尿病人在胰岛素治疗的基础上可加用甲苯磺丁脲
C:清晨高血糖而半夜有饥饿感,出冷汗的糖尿病病人应增加胰岛素剂量
D:因感染发热而厌食的糖尿病病人应减少胰岛素剂量或停用
E:经一段时间的胰岛素治疗后,病人都可产生胰岛素抗体
患者女,12岁,因“进行性肌无力2年余”来诊。查体:四肢肌肉明显萎缩,肌张力降低,肌力减退。经检查拟诊为糖原累积症Ⅱ型。
第1题,共3个问题
(单选题)其发病机制主要是()。
A:缺乏葡萄糖-6-磷酸酶
B:缺乏脱支酶
C:缺乏分支酶
D:缺乏酸性α-l,4-葡萄糖苷酶
E:缺乏糖原合成酶
第2题,共3个问题
(单选题)该型糖原累积症的遗传方式为()。
A:常染色体显性遗传
B:常染色体隐性遗传
C:伴X隐性遗传
D:伴X显性遗传
E:伴Y隐性遗传
第3题,共3个问题
(单选题)该病最有希望的治疗方法为()。
A:日间多次少量进食以维持正常血糖水平
B:高蛋白低糖饮食
C:加强呼吸肌锻炼
D:骨髓移植
E:GAA酶替代疗法
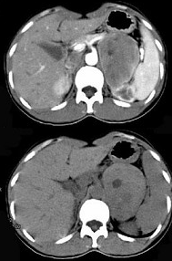
女,36岁,无任何症状,体检时超声发现左侧肾上腺区占位,CT扫描如图所示,应诊断为( )
A:左肾上腺腺瘤
B:左肾上腺囊肿
C:左肾上腺嗜铬细胞瘤
D:左肾上腺髓样脂肪瘤
E:左肾上腺转移瘤
鉴别醛固酮瘤和特发性醛固酮增多症,有意义的检查有( )
A:肾上腺CT扫描
B:赛庚啶试验
C:立卧位采血测血醛固酮变化
D:安体舒通试验
E:静脉滴注血管紧张素Ⅱ
下列哪种药物对于长期治疗原发性甲状腺功能减退症最不适合()。
A:L-甲状腺素
B:干甲状腺片
C:T3
D:T3/T4混合制剂
E:L-甲状腺素+T
3
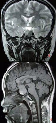
男,47岁,视物模糊数月,头痛、恶心、呕吐3天,行MRI检查如图,最可能的诊断为( )
A:颅咽管瘤
B:脑膜瘤
C:垂体瘤并出血
D:蛛网膜囊肿
E:表皮样囊肿
抢救糖尿病酮症酸中毒患者血糖不宜下降过快,以每小时降低10mmol/L为宜。
垂体瘤治疗,一般首选()。
A:激素替代治疗
B:穿刺减压术
C:药物治疗
D:手术治疗
E:放射治疗
患者,男,16岁。因多饮、多尿,伴消瘦、乏力1个月就诊。空腹血糖16.2mmol/L,空腹胰岛素水平0.72pmol/L,诊断为1型糖尿病。实验室检查示:血糖24.1mmol/L,血酮8.4mmol/L,pH7.0。此时血压60/40mmHg,应该进行的处理是()。
A:大量补液,皮下注射胰岛素
B:大量补液,适当补碱,持续静脉滴注胰岛素,每小时0.1U/kg
C:大量补液,补碱,持续静脉滴注胰岛素,每小时0.01U/kg
D:大量补液,补碱,持续静脉滴注胰岛素,每小时0.08U/kg
E:大量补液,补碱,持续静脉滴注胰岛素,每小时1.0U/kg
下列哪些是单纯性甲状腺肿的病因( )
A:碘的缺乏
B:甲状腺激素合成障碍
C:碘过量
D:对甲状腺激素需求增多时
E:TSH刺激阻断性抗体浓度增高
女性,45岁,身高155cm,体重80kg。体格检查:血压150/90mmHg,两下腹壁及大腿内侧有纵行红色纹。
第1题,共2个问题
(单选题)为鉴别单纯性肥胖与库欣综合征,需要做的进一步检查是()。
A:大剂量地塞米松试验
B:小剂量地塞米松试验
C:美替拉酮试验
D:血浆皮质醇测定
E:血浆皮质醇节律测定
第2题,共2个问题
(单选题)对此病人首先应首考虑的检查项目是()。
A:24小时尿游离皮质醇
B:血脂全套
C:血ACTH测定
D:美替拉酮试验
E:地塞米松抑制试验
临床上轻型柯兴氏病,X线无明确垂体腺瘤的病人,可先采用的治疗方法是()。
A:口服赛庚啶
B:双侧肾上腺切除术
C:一侧肾上腺大部切除,另一侧全切除
D:垂体外照射治疗
E:垂体部分切除
患者男,72岁,因“恶心、呕吐2d,意识不清3h”来诊。患者有糖尿病病史4年,不规则服用二甲双胍、格列奇特等治疗,余无特殊。查体:T36.5℃,P110次/min,BP80/50mmHg;浅昏迷,深大呼吸;皮肤、黏膜干燥,四肢湿冷;双肺无湿性啰音;双下肢无水肿。
第1题,共4个问题
(多选题)为明确诊断必须立即进行的检查项目包括()。
A:血糖
B:血气分析
C:电解质
D:血常规
E:血乳酸
F:尿常规
第2题,共4个问题
(多选题)关于该患者的治疗,叙述正确的是()。
A:此类患者,如无心力衰竭,开始时补液速度应较快
B:开始治疗时即可予以输注葡萄糖液,其中加入速效胰岛素
C:小剂量胰岛素使用剂量一般为0.1U·h-1·kg-1
D:血糖下降速度一般以3.9~6.1mmol·L-1·h-1为宜
E:当血糖降至13.9mmol/L时,改用5%葡萄糖液并加入普通胰岛素
F:只要存在酸中毒,在治疗开始即可用碳酸氢钠纠酸治疗
第3题,共4个问题
(多选题)该患者目前应尽快做的处理包括(提示:该患者于4年前因“多尿、烦渴、多饮”去某院就诊,查空腹血糖为15.6mmol/L,建议其注射胰岛素治疗。患者自行停药,偶尔服用二甲双胍和格列奇特。入院前停用口服药物近1年,入院前3d在受凉后出现乏力、食欲减退、恶心、呕吐,3h前出现意识不清、呼之不应。)()。
A:尽快使用呼吸兴奋剂
B:充分补液
C:抗心律失常药纠正快速心室率
D:持续静脉滴入小剂量胰岛素
E:尽快予以碳酸氢钠纠正酸中毒
F:纠正电解质紊乱
第4题,共4个问题
(多选题)该患者目前诊断考虑(提示:血常规:WBC12.3×10
9
/L,N0.80,RBC4.2×10
12
/L,Hb130g/L,PLT204×10
9
/L;尿常规:葡萄糖(+++),酮体(+++),蛋白质(+);血糖32.1mmol/L;血气分析:pH7.12,PO
2
13.0kPa,PCO
2
5.3kPa,HCO
3
-18.0mmol/L,COCP8.5mmol/L,BE-3.2mmol/L;血电解质:钾5.8mmol/L,钠138mmol/L,氯100mmol/L,钙2.5mmol/L,镁1.0mmol/L,磷1.4mmol/L;血乳酸1.1mmol/L;心肌酶:CK40U/L,AST25U/L,LDH158U/L,CK-MB92U/L。ECG://窦性心动过速,ST-T改变。)()。
A:2型糖尿病
B:脑卒中
C:乳酸酸中毒
D:急性心肌梗死
E:高渗性高血糖状态
F:糖尿病酮症酸中毒昏迷
糖尿病饮食总热量是根据实际体重和工作性质来制定的。
关于糖尿病肾病,叙述正确的有()。
A:早期肾小球滤过率增加
B:通常蛋白尿不随肾小球滤过率的降低而降低
C:蛋白尿与高血压的程度无关
D:糖尿病肾病与糖尿病视网膜病变无关
E:糖尿病肾病可出现血尿
下列哪项检查最适合鉴别原发性和继发性甲状腺功能减退( )
A:TT3、TT4测定
B:甲状腺(131)I测定
C:FT3、FT4
D:TSH测定
E:rT3测定
直接反映甲状腺功能状态的指标是( )
A:TT3、TT4
B:FT3、FT4
C:rT3、TT3
D:FT3、TT4、TSH
E:TT4、TSH
控制体重的策略应强调( )
A:行为治疗
B:饮食治疗
C:体育锻炼
D:药物治疗
E:以行为、饮食治疗为主的综合治疗
首页
<上一页
57
58
59
60
61
下一页>
尾页