自考题库
首页
所有科目
自考历年真题
考试分类
关于本站
游客
账号设置
退出登录
注册
登录
出自:神经病学高级职称
急性脑梗死发病后临床上脑水肿的高峰期在2~5天。( )
诊断颅底凹陷症的颅颈侧位X线片的腭枕线是( )
A:腭上缘到枕大孔后上缘连线
B:腭后缘到枕大孔后上缘连线
C:腭后缘到枕大孔后下缘连线
D:腭下缘到枕大孔后上缘连线
E:腭下缘到枕大孔后下缘连线
简述癫痫的药物治疗原则?
抽动秽语综合征的常用药物治疗包括________、________。
特殊类型的偏头痛包括哪几种发作形式?
Lambert-Eaton综合征最多见的伴发疾病是( )
A:系统性红斑狼疮
B:直肠癌
C:重症肌无力
D:胃癌
E:小细胞肺癌
试述普通型偏头痛的诊断标准?
下类物质可用于嗅神经的检查( )
A:松节油
B:酒精
C:香皂
D:杏仁
E:醋
脊髓半切综合征(Brown-Sequardsyndrome)
重症肌无力危象的下列哪项表述是正确的( )
A:患者急骤发生严重的呼吸肌和延髓肌无力不能维持换气功能
B:均与肺部感染或过度疲劳有关
C:死亡率高,需进行重症监护
D:可用依酚氯铵试验鉴别
E:必要时采用辅助呼吸
女性50岁,近半年左手活动不灵,静止出现每秒4~6次的节律性颤动,随意运动时减轻,入睡后完全消失。此症状为( )
A:手足徐动症
B:舞蹈样动作
C:静止性震颤
D:意向性震颤
E:扭转痉挛
癫痫药物治疗,用药原则中下列哪项是
不正确
的( )
A:若药物有过敏反应、皮疹、发热,应立即停药
B:应从小剂量开始逐渐增加剂量
C:药物无效时可以立即停药而改为其他抗癫痫药
D:根据癫痫发作类型选用有效抗癫痫药物
E:若药物效果不理想,可加用第二种抗癫痫药物合并用药
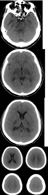
男,57岁,头痛、头晕一周,言语不清,饮水呛咳两天,既往有鼻咽癌病史,给予放射治疗,CT检查如图所示,最可能的诊断为( )
A:脱髓鞘病变
B:脑炎
C:放射性脑病
D:脑梗死
E:胶质瘤
脊髓半切综合征
不正确
的是( )
A:对侧痛温觉缺乏
B:对侧深感觉缺乏
C:同侧损害平面以下的上运动神经元受损
D:最常见的是髓外硬膜内肿瘤
E:同侧相应节段感觉过敏和根性疼痛
何谓自动症?
新型隐球菌的重要寄宿处在( )
A:鸡粪
B:人粪
C:痰液
D:鸽粪
E:毛皮
关于包涵体肌炎,下列哪些描述是正确的( )
A:本病在男性较常见
B:通常在50岁以后隐袭起病
C:有明显的肌肉疼痛
D:拇长伸肌选择性损害是特征性改变
E:免疫球蛋白静脉滴注疗效确定
急性横贯性脊髓炎的典型表现是:__________、__________、__________。
哪些抗癫痫药物不宜联合使用?
下述正确的是哪项( )
A:视神经炎引起继发性视神经萎缩,视盘水肿引起原发性视神经萎缩
B:视神经盘水肿常见于颅内压增高
C:继发性视神经萎缩可见视盘苍白,边缘模糊
D:原发性视神经萎缩可见视盘苍白,边缘清楚
E:视神经炎可致单眼急性视力丧失
肌阵挛发作与阵挛性发作的不同?
共济运动的检查方法有( )
A:指鼻试验
B:快复动作
C:误指试验
D:Romberg征
E:跟膝胫试验
低颅压头痛的治疗原则:________,________,________。
临床疑诊重症肌无力可用哪些检查协助确诊( )
A:疲劳试验
B:神经重复频率刺激检查
C:依酚氯铵试验
D:新斯的明试验
E:AchR抗体测定
脑脊液蛋白-细胞分离是指蛋白增高,细胞数正常。
低颅压性头痛的特殊治疗包括:________,________。
什么叫线粒体遗传病?
简述神经细胞营养剂的分类及脑卒中患者使用该药的注意事项。
艾滋病患者合并痴呆的比例是( )
A:10%
B:15%
C:20%
D:30%
E:40%
简述大脑后动脉主干闭塞的临床特点。
首页
<上一页
57
58
59
60
61
下一页>
尾页