出自:内分泌学高级职称

Cushing综合征为什么会发生高血压?
关于诊断Graves病的实验室检查,叙述正确的有()。
A:T3、T4升高,TSH降低
B:只要血清TT3、TT4升高就可确定诊断为甲状腺功能亢进
C:T3、T4升高,TSH不降低
D:TRAb仅能反映有针对TSH受体的自身抗体存在,不能说明甲状腺的功能状态
E:妊娠后怀疑甲状腺疾病应测定FT3、FT4确定诊断
甲状腺激素抵抗综合征的共同表现有()。
A:甲状腺弥漫性肿大
B:血清TH明显升高
C:临床表现与实验室检查结果之间不相称
D:T3R数目和(或)亲和力异常
E:TSH升高或正常
下列哪项是异位ACTH综合征的生化特征( )
A:血钾、血氯降低
B:血钾、血氯增高
C:血钠升高
D:血钠降低
E:血钙增高
关于T2DM与T1DM的不同点,错误的说法是()。
A:T2DM的病理改变为胰岛素抵抗
B:T2DM的病理改变为胰岛B细胞自身免疫缺陷
C:T2DM有更明显的遗传基础
D:T2DM的病理改变为胰岛素分泌缺陷
E:T2DM多见于成人
一般认为与亚急性甲状腺炎有关的病因是()。
A:螺旋体感染
B:自身免疫
C:病毒感染
D:细菌感染
E:立克次体感染
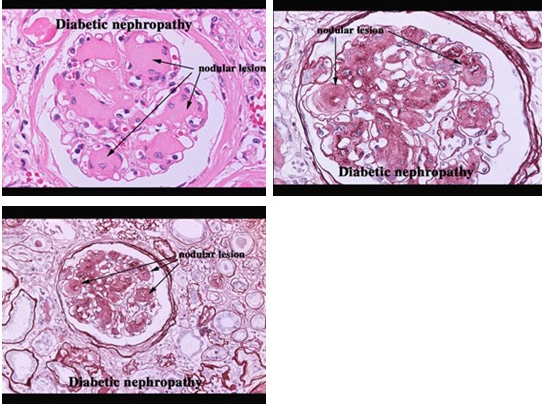
下列哪各项中为糖尿病肾病高度特异性病理改变的是()
A:肾动脉粥样硬化 
B:肾盂肾盏变形缩窄,肾外形凹凸不平 
C:渗出性肾小球硬化型病变 
D:弥漫性肾小球硬化型病变 
E:结节性肾小球硬化型病变
内分泌系统可以调控正常的免疫反应,但在自身免疫反应中不起作用。

患者女性,38岁,10年前土法接生产下一子。之后常感乏力、嗜睡、食欲不振。3天前以头晕、恶心、呕吐就诊。检查:BP70/50mmHg.HR50次/分。FT、FT、sTSH均降低。



第1题,共2个问题
(单选题)下列哪项处理是错误的?( )
A:24-尿游离皮质醇测定
B:可做TRH兴奋试验了解垂体储备功能
C:垂体性甲状腺功能减退症诊断明确,应立即补充甲状腺激素
D:应先补充肾上腺皮质激素
E:应给予高热量高维生素饮食

第2题,共2个问题
(单选题)推测该患者最早出现的临床表现是( )
A:闭经
B:皮肤苍白
C:嗜睡、怕冷
D:食欲不振
E:产后不能泌乳
在原发性醛固酮增多症中常出现哪一项化验异常( )
在嗜铬细胞瘤疾病中常出现哪一项异常( )
liddle综合征时常出现哪一项异常( )
A:ACTH升高
B:ACTH降低
C:肾素降低、醛固酮升高
D:肾素及醛固酮均降低
E:儿茶酚胺增高
关于单纯性甲状腺肿的治疗,叙述错误的是()。
A:主要取决于病因
B:部分患者可用TH治疗
C:可首选手术治疗
D:可采用碘化食盐防治
E:成年结节性甲状腺肿避免过量碘治疗
男性Cushing综合征患者性欲减退、阴茎缩小和睾丸变软的原因主要是( )
A:皮质醇抑制垂体促性腺激素
B:肾上腺雌激素产生过多
C:肾上腺雄激素产生减少
D:垂体原发病变,造成促性腺激素释放减少
E:皮质醇直接作用于性器官
患者女,70岁,因“胸闷,心前区不适4个月”来诊。患者平素怕冷,便秘。查体:肥胖,颜面、眼睑及手皮肤水肿,毛发稀疏;心界扩大,HR60次/min,律齐,心音低钝;肝肋下3指,肝颈静脉回流征(+);双下肢胫前黏液性水肿。给予甲状腺激素替代后,作为调整甲状腺激素替代剂量的依据是()。
A:静息时心率
B:静息时血压
C:胸闷发作次数
D:尿量
E:水肿消退情况
Graves病最明显的体液免疫特征是病人血清中可查出甲状腺特异性抗体(即TSH受体抗体)可分为_______、______和_______三种类型。
患者,女,20岁。发现颈部增粗.怕冷、体重增加3个月。体检:双侧甲状腺一度肿大,质韧,无压痛,血管杂音(-)。心率62次/分,律齐。若检查结果为TGAb、TPOAb阳性,甲状腺功能减退,最可能的诊断是()。
A:慢性淋巴性甲状腺炎
B:甲状腺肿瘤
C:亚急性甲状腺炎
D:垂体肿瘤
E:单纯性甲状腺肿
糖尿病酮症酸中毒患者治疗中,若补充碱性溶液过多,下列哪一项不是其副作用( )
A:使糖基化血红蛋白释氧减少
B:使血红蛋白氧离解曲线左移
C:加重体内钾的丢失
D:代谢性碱中毒
E:脑水肿
患者男,18岁,因“脐周疼痛3h”来诊。3h前饱餐后出现脐周刀割样疼痛,持续性,向背部放射,弯腰稍可缓解,伴恶心、呕吐,呕吐后疼痛不缓解,有排气,无发热,无饮酒。患者1年前有急性胰腺炎病史,有家族性高脂血症史,否认糖尿病、消化性溃疡病史。查体:T36.5℃,P105次/min,R24次/min,BP130/80mmHg;体型匀称,意识清楚,无黄染,痛苦面容;腹肌紧张,上腹压痛、反跳痛,肠鸣音减弱,莫氏征(-),麦氏点无压痛。患者目前最可能的诊断是()。
A:急性胰腺炎
B:家族性高脂血症
C:消化道穿孔
D:急性胆囊炎
E:急性阑尾炎
F:急性肠梗阻
如果酮症酸中毒经过治疗后血糖下降酸中毒改善。但补充碳酸氢钠过多过快,最可能导致()。
A:脑水肿
B:体液缺乏
C:心律失常
D:低血压
E:心力衰竭
试述醛固酮瘤的术前准备。
垂体瘤目前最常用的分类方法是根据( )
A:按病理分类 
B:按肿瘤的染色分类 
C:按细胞的分泌功能分类 
D:按肿瘤的大小分类 
E:按细胞分泌激素的性质和细胞来源分类
亚临床型甲状腺功能减退的特点是()。
A:血T4、T3正常,TSH升高
B:血T4、T3升高,TSH下降
C:血T4、T3正常,TSH正常
D:血T4、升高、T3正常,TSH升高
E:血T4、T3升高,TSH正常
下列何种药物可引起高泌乳素血症和溢乳( )
A:氯丙嗪
B:甲氧氯普胺(胃复安)
C:雌激素
D:甲基多巴
E:组胺
患者女,34岁,因“颈部增粗10年余,自觉呼吸困难近1个月”来诊。患者无怕热、多汗、心悸、消瘦等不适。家族史:其姐妹、母亲均有颈部不同程度增粗。查体:T36.2℃,P72次/min;无突眼,甲状腺Ⅲ度肿大,边界清楚,表面光滑,质软,无压痛,未闻及血管杂音;双手平伸未见细震颤。

第1题,共5个问题
(单选题)下列结果与本疾病不符合的是()。
A:T3抑制试验不被抑制
B:血清TT4、TT3正常
C:TT4/TT3增高
D:甲状腺吸碘率增加
E:基础代谢率正常

第2题,共5个问题
(单选题)不必要的检查是()。
A:甲状腺超声
B:甲状腺功能
C:基础代谢率测定
D:131I摄取率
E:甲状腺细针穿刺

第3题,共5个问题
(单选题)最可能的诊断是()。
A:Graves病
B:亚急性甲状腺炎
C:甲状腺高功能腺瘤
D:地方性甲状腺肿
E:甲状腺癌

第4题,共5个问题
(单选题)该患者最适合的治疗是()。
A:高碘饮食
B:低碘饮食
C:小剂量L-T治疗
D:手术治疗
E:无须特殊治疗

第5题,共5个问题
(单选题)该病最常见的发病原因是()。
A:妊娠、哺乳等因素对甲状腺激素需要量增加
B:食物和饮水中含碘量多而长期摄碘量过多
C:土壤、食物和饮水中含碘量低而长期摄碘量不足
D:长期服用抗甲状腺作用的硫脲类药物
E:先天性酶缺乏使甲状腺激素合成障碍
患者,女性,32岁,消瘦,乏力,皮肤色素沉着伴体位性头晕2年,继发闭经1年,既往无结核病史,血糖13.1mmol/L,尿酮体(+++),血皮质醇低,抗肾上腺抗体和抗胰岛细胞抗体均阳性,诊断应为()。
A:肾上腺皮质功能低下
B:糖尿病1型
C:卵巢功能早衰
D:糖尿病2型
E:自身免疫性内分泌多腺体病
简述肢端肥大症对血糖、血脂代谢的影响?
下列哪种情况可引起TT4升高( )
A:急性病毒性肝炎
B:严重肝病
C:肾病综合征
D:雄激素增多
E:糖皮质激素
下列哪组激素未发现由非内分泌腺肿瘤分泌( )
A:降钙素和生长抑素
B:ACTH和TSH
C:类固醇激素及甲状腺素
D:血管升压素和绒毛膜促性腺激素
E:生长激素释放激素和甲状旁腺素
下列有关原发性醛固酮增多症的病因鉴别,错误的是()。
A:肾上腺素静脉血激素测定时行ACTH兴奋试验,若为醛固酮瘤,则ACTH兴奋后,腺瘤侧静脉血醛固酮/皮质醇比值显著增加,而对侧及周围静脉血中无明显变化
B:放射性碘化胆固醇肾上腺扫描或照相,如一侧肾上腺有放射性浓集,提示该侧有腺瘤
C:应用赛庚啶后多数特醛症患者,在服后90分钟时血浆醛固酮下降最明显,平均下降约50%,醛固酮瘤患者血浆醛固酮无变化
D:整体病情,醛固酮瘤一般较特醛症者为重,低血钾、碱中毒更为明显,血、尿醛固酮更高
E:整体病情,醛固酮瘤一般较特醛症者为轻,低血钾碱中毒不明显,血、尿醛固酮较低
酮症酸中毒对血氧离解曲线的影响,正确的说法是()。
A:间接作用慢而持久
B:直接作用大于间接作用
C:以上说法都正确
D:间接作用使血氧离解曲线左移
E:直接作用使血氧离解曲线右移
诊断甲状腺功能减退最敏感的试验是( )
A:基础代谢率测定
B:血清T4测定
C:血清T3测定
D:血清TSH测定
E:甲状腺(131)I吸收率测定