自考题库
首页
所有科目
自考历年真题
考试分类
关于本站
游客
账号设置
退出登录
注册
登录
出自:骨外科高级职称
产生半月板损伤的主要因素有哪些?
患者男,18岁,踢球时扭伤膝关节,休息2周后,行走时感右膝关节疼痛、无力,常出现关节交锁、弹响。
第1题,共2个问题
(单选题)为明确诊断和及时治疗,最佳的处理是()
A:X线片
B:CT
C:MRI
D:关节造影
E:关节镜
F:核素骨扫描
第2题,共2个问题
(单选题)损伤部位为(提示若患者查体示右膝轻度肿胀,内侧关节间隙压痛(+),侧方应力试验(-),抽屉试验(-),麦氏征(+),过伸试验(+)。)()
A:内侧半月板后角损伤
B:内侧半月板前角损伤
C:内侧半月板体部损伤
D:外侧半月板后角损伤
E:外侧半月板前角损伤
F:外侧半月板体部损伤
一十四岁女性,右小腿酸痛2个月,进行性加重近1周,疼痛难忍,夜间为甚,伴发热体温38℃,查体:右胫骨段膨隆,压痛,局部皮温增高,X线示胫骨中段骨质破坏,骨膜呈葱皮样改变。诊断为Ewing肉瘤,主要的鉴别诊断()
A:骨结核
B:骨囊肿
C:化脓性骨髓炎
D:骨纤维肉瘤
E:骨纤维异样增殖症
在下最常见的恶性骨肿瘤是()
A:骨肉瘤
B:软骨肉瘤
C:纤维肉瘤
D:Ewing肉瘤
E:脊索瘤
脊柱骨折中最常见的损伤是()
A:屈曲型
B:伸直型
C:屈曲旋转型
D:垂直压缩型
E:骨折脱位
女,54岁,急刹车致右髋关节剧痛3小时。查体:右髋关节弹性固定,踝关节活动障碍,最可能的损伤是( )
A:髋关节骨折
B:髋关节脱位
C:髋关节脱位合并闭孔神经损伤
D:髋关节脱位合并股神经损伤
E:髋关节脱位合并坐骨神经损伤
男,55岁,脾破裂大量输血后,急查血生化示血钾6.2mmol/L,下列高血钾症的治疗原则中,
不正确
的是()
A:立即停止钾盐摄入
B:积极防治心律失常
C:迅速降低血钾浓度
D:恢复肾脏功能
E:补充血容量
创伤愈合的类型有_______和_______。
有关尤因肉瘤,下列说法错误的是()
A:起源于骨髓的间充质细胞的恶性骨肿瘤
B:好发于儿童
C:好发部位为股骨、胫骨、腓骨、肩胛骨
D:X线表现为"葱皮状"
E:对放疗、化疗敏感,预后较好
患者女,27岁,背部疼痛5年余,驼背2年,GP,产后1年,身高变矮9cm,血钙、碱性磷酸酶均正常,检查发现患者有蓝巩膜体征,并有耳聋和骨折的家族史。以下所以该患者可能诊断为()
A:骨质疏松症
B:成骨不全
C:佝偻病
D:软骨发育不全
E:骨肉瘤
50岁,男,左小腿被砸伤24小时,左小腿肿胀,压痛,异常活动,皮温略高于对侧,体温37.8℃,最可能诊断为()
A:左胫骨骨髓炎
B:左小腿软组织蜂窝组织炎
C:左胫骨干骨折
D:左小腿血肿
E:左小腿软组织挫伤
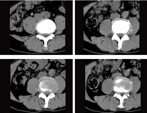
男,45岁,腰痛,请结合所提供图像,选择最佳答案
A:椎间盘膨出
B:椎间盘突出
C:椎间盘未见异常
D:腰椎骨质增生
E:前纵韧带钙化
肱骨中段骨折出现腕关节不能背伸( )
肩部撞伤后肩关节不能上举及外展,肘关节不能屈曲( )
A:正中神经损伤
B:臂丛神经上干损伤
C:臂丛神经下干损伤
D:腓总神经损伤
E:桡神经损伤
急性腰扭伤卧硬板床休息目的是( )
A:防止再损伤
B:恢复腰椎生理弧度
C:便于腰背肌锻炼
D:减轻腰痛和肌肉痉挛
E:以上都不是
髋关节前脱位患者呈外展、外旋和屈曲畸形。( )
患者男,36岁,手、腕、膝等诸关节疼痛,肿胀反复发作6年,指关节呈梭形肿大,有压痛,诊断为类风湿关节炎,其下列临床表现的特征中错误的是()
A:晨僵
B:关节痛
C:反复肿胀
D:关节畸形
E:单侧关节受累
成人髋内翻诊断标准为颈干角()
A:小于85度
B:小于90度
C:小于95度
D:小于100度
E:小于110度
强直性脊柱炎患者一般不会出现()
A:类风湿因子阳性
B:血沉增快
C:HLA-B27阳性
D:尿17-酮皮质激素增高
E:白细胞增高
在脊柱骨折病人在搬运过程中,最正确的体位是( )
A:侧卧位
B:仰卧屈曲位
C:半坐卧位
D:俯卧过伸位
E:仰卧过伸位
关于手外伤的处理,下面哪种做法是错误的( )
A:创口与皮纹垂直者,采用“Z”字成形术
B:不适于游离植皮者,考虑用带蒂皮瓣移植
C:创底组织血循环不佳者,宜采用自体中厚皮片覆盖
D:手部创口术后10~14天拆线
E:如距受伤的时间较长,清创后不宜立即缝合创口
骨折急救处理中哪项不恰当()
A:凡有骨折可疑的患者,均按骨折处理
B:复位已戳出创口的骨折端
C:创口包扎,止血
D:妥善固定患肢,若有显著畸形,可手力牵引,使之挺直
E:迅速运往医院
男,35岁,右膝关节内侧疼痛,肿胀半年,曾在外院摄X线片,见右胫骨上端内侧有一5cm×4cm大小透明中间有肥皂泡沫阴影,骨端膨大,近1个月来肿胀明显,夜间疼痛难忍,右膝关节活动受限,入院后X线摄片示胫骨上端病变扩大,肥皂泡沫阴影消失,呈云雾状阴影,病变侵入软组织。 上述病人若病变处于早期阶段时,治疗应选择( )
A:病灶不处理,严密观察
B:病灶刮除+植骨
C:瘤段切除,装假体
D:瘤段切除,植骨
E:放射治疗
男性,28岁。骶髂部被撞伤后疼痛1小时。查体:T36.5℃,P110次/分,R22次/分,BP85/60mmHg。神志清楚,表情淡漠,口唇苍白。头颅、胸、腹部检查无异常发现。指肛检查:肛门括约肌收缩有力。右侧腹股沟和骶髂关节处压痛,骨盆挤压分离试验阳性。双下肢感觉、运动、血运均正常。根据患者目前情况,应采取的治疗措施是(提示:入院以来一直抗休克,经快速输注平衡溶液和红细胞悬液2500ml,血压稍有上升后又开始下降。)()
A:紧急转入ICU救治
B:继续进行液体复苏
C:紧急手术后腹膜止血
D:紧急动脉造影并进行髂内动脉栓塞
E:紧急剖腹探查
胸椎休门病存在特征性的影像学表现
不包括
()
A:侧凸畸形
B:椎体的楔形变
C:终板不规则
D:椎间隙变窄
E:Schmorl结节
下列关于骨肉瘤的X线表现,描述正确的是()
A:日光放射现象
B:Codman三角
C:常见于青少年,好发于四肢长骨
D:肥皂泡样改变
E:直径<1cm的椭圆形透亮区
患者男,41岁,骑车与汽车相撞跌倒,右手撑地,随后腕部肿痛,活动障碍,检查后初步诊断为腕舟状骨骨折。诊断确立后应采取的措施是()
A:切开复位,加压螺丝钉内固定
B:切开复位,骨栓内固定
C:无须固定,局部外敷药消肿
D:拇指“人”字石膏固定
E:护腕夹板固定
手指的鹅颈畸形()
A:类风湿性关节炎晚期
B:陈旧伸指肌腱远止点断裂
C:风湿性关节炎晚期
D:骨性关节炎晚期
E:化脓性关节炎晚期
坐骨神经损伤的表现
不包括
()
A:高位损伤,引起股后部肌肉及小腿和足部所有肌肉全部瘫痪
B:高位损伤,导致膝关节不能屈、踝关节与足趾运动功能完全丧失,呈足下垂
C:膝关节呈屈曲状态,行走时呈震颤步态
D:足部出现神经营养性改变
E:小腿后外侧和足部感觉丧失
患者女,45岁,外翻扭伤左膝1d,有关节错动感,关节当时未出现肿胀,X线未见骨折表现。查体:关节内无积液,膝关节内侧压痛,以内上髁处明显,胫骨近端内侧无压痛。外翻试验阳性。这位患者最可能的诊断是()
A:后交叉韧带断裂
B:外侧副韧带断裂
C:内侧副韧带断裂
D:前交叉韧带断裂
E:髌骨脱位
27岁女性,外伤致胫腓骨中1/3骨折,复位后,用长腿管型石膏固定,4个月骨折愈合拆除石膏后,发现膝关节功能障碍,其原因是( )
A:肌肉萎缩
B:关节僵硬
C:关节强直
D:骨折复位不理想
E:骨折畸形愈合
首页
<上一页
56
57
58
59
60
下一页>
尾页