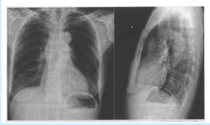
患者,男,48岁。眼睑下垂,胸痛1个月。X线平片如下图所示。

第1题,共3个问题
(多选题)上图X线平片所示异常包括()
A:左下肺斑片影
B:主动脉迂曲
C:膈下游离气体
D:上纵隔影增宽
E:右侧肺门影增大
F:肺动脉增宽
第2题,共3个问题
(单选题)该患者的胸部CT如下图,前纵隔内类圆形肿物,密度稍低于骨骼肌密度,最可能的诊断是() 
A:神经源性肿瘤
B:畸胎瘤
C:胸腺瘤
D:淋巴瘤
E:脂肪瘤
F:转移瘤
第3题,共3个问题
(多选题)该病例组织学分型分为哪三型()
A:上皮细胞型
B:淋巴细胞型
C:血管型
D:脂肪细胞型
E:混合型
F:纤维细胞型