自考题库
首页
所有科目
自考历年真题
考试分类
关于本站
游客
账号设置
退出登录
注册
登录
出自:消化内科学高级职称
下列各项中最能支持慢性胰腺炎诊断的是()。
A:反复发作上腹痛
B:血糖增高
C:粪苏丹Ⅲ染色镜下有脂肪滴
D:B超检查胰腺增大
E:CT检查胰腺增大、有钙化影
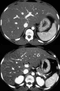
男,56岁,体型肥胖,有饮酒史30余年,CT检查见图,最可能的诊断是( )
A:脂肪肝
B:肝色素沉着症
C:肝硬化
D:肝癌
E:肝豆状核变性
食管的抗反流屏障中起主要作用的是食管与胃底间的锐角
女,30岁,低热,右下腹痛3个月,伴腹胀;近一个月加重,出现右下腹绞痛,便秘.查体一般情况欠佳,体温38℃,右下腹稍隆起,未扪及包块,似可见肠型,肠鸣音亢进。为明确诊断,应首选的检查是( )
A:乙状结肠镜
B:腹部B超
C:胃镜
D:钡灌肠
E:全程钡餐
女,40岁。反复双下肢瘀点30天。骨髓象示红系细胞增生占40%,幼红细胞可见双核、多核及核质发育不平衡。粒细胞系增生,原始粒细胞+早幼粒细胞为15%,部分细胞可见核分叶过多及胞质中颗粒减少,未见Auer小体。巨核细胞增生,可见小原巨核细胞及明显畸形的巨核细胞。最可能的诊断是()。
A:MDS-RA
B:MDS-RAS
C:MDS-RAEB
D:MDS-CMML
E:MDS-RAEB-T
腹胀患者不宜进食的蔬菜和水果为()。
A:洋葱
B:芹菜
C:胡萝卜
D:香蕉
E:西红柿
早期胃癌是指( )
A:癌肿小于1.0cm者
B:癌肿局限而深度不超过粘膜层
C:癌肿局限而深度不超过粘膜下层
D:癌肿局限而深度不超过肌层
E:没有局部淋巴结转移者
小肠性腹泻的特点是( )
A:多为脐周疼痛
B:大便量多,烂或稀薄,可含脂肪,粘液少,臭
C:大便次数多,每日10次以上
D:可有里急后重
E:常有体重减轻
对诊断消化性溃疡穿孔最有价值的临床表现是()。
A:突发上腹部剧痛
B:腹式呼吸消失
C:上腹部压痛明显
D:上腹部有反跳痛
E:肝浊音界消失
炎症性肠病的病因和发病机制目前认为由多因素所致,主要包括___________、___________、_______、和________。
患者女,34岁,因乏力就诊,根据AIH诊断评分系统治疗前积分为17分,诊断为自身免疫性肝炎,目前ALT389U/L,AST412U/L,同时合并1型糖尿病。
第1题,共3个问题
(单选题)如果患者完全缓解停药后首次复发,可给予的治疗方案是()。
A:重新选用初治方案
B:初治方案剂量加倍
C:熊去氧胆酸
D:环孢素A
E:肝移植
F:布地奈德
第2题,共3个问题
(单选题)如果此患者使用泼尼松与硫唑嘌呤联合,下列方案中适宜的是()。
A:泼尼松60mg(第1周)、40mg(第2周)、30mg(第3、4周)、20mg维持用量+硫唑嘌呤50mg,1次/d
B:泼尼松30mg(第1周)、20mg(第2周)、15mg(第3、4周)、5mg维持用量+硫唑嘌呤50mg,1次/d
C:泼尼松30mg(第1周)、20mg(第2周)、15mg(第3、4周)、10mg维持用量+硫唑嘌呤25mg,1次/d
D:泼尼松60mg(第1周)、40mg(第2周)、30mg(第3、4周)、15mg维持用量+硫唑嘌呤25mg,1次/d
E:泼尼松30mg(第1周)、20mg(第2周)、15mg(第3、4周)、10mg维持用量+硫唑嘌呤50mg,1次/d
F:泼尼松60mg(第1周)、30mg(第2周)、15mg(第3、4周)、5mg维持用量+硫唑嘌呤50mg,1次/d
第3题,共3个问题
(单选题)首选的治疗药物是()。
A:单用泼尼松
B:泼尼松与硫唑嘌呤联合
C:熊去氧胆酸
D:环孢素A
E:他克莫司
F:硫唑嘌呤
患者男,45岁,近半年出现体重减轻、腹痛及右下腹包块。
第1题,共2个问题
(单选题)不会出现典型的右下腹包块的疾病是()。
A:肠结核
B:盲肠肿瘤
C:克罗恩病
D:阿米巴痢疾
E:梅毒
第2题,共2个问题
(单选题)对明确诊断,意义相对较大的是()。
A:血沉
B:血常规
C:C-反应蛋白
D:X线钡剂透视
E:结肠镜检查
肝源性水肿患者,水肿主要表现于()。
A:全身
B:下肢
C:眼睑
D:胸腔
E:腹腔
硝酸酯类药物治疗心功能不全的主要机制为()。
A:减低心肌耗氧
B:减慢心率
C:改善心肌供血
D:降低心脏的前、后负荷
E:增强心肌收缩力
男性患者,51岁。乙肝病史19年,大量饮酒史30年,1年来出现乏力、腹胀、尿量减少,偶有牙出血和鼻出血。1天前,劳累后突然出现恶心,呕新鲜血,含有血块,共约1000ml。查体:BP85/40mmHg,P130次/分,神志淡漠。关于预防肝肾综合征的出现,错误的是()。
A:预防感染
B:预防上消化道出血
C:大剂量利尿
D:避免使用肾毒性药物
E:预防水电解质紊乱
诊断肠易激综合征最关键的是( )
A:除外器质性疾病
B:具有腹痛症状
C:腹痛与排便有关
D:大便次数增加
E:粪便化验检查正常
肝性脑病患者灌肠或导泻时应禁用()。
A:25%硫酸镁
B:生理盐水
C:生理盐水加食醋
D:肥皂水
E:乳果糖加水
慢性乙型病毒性肝炎的临床表现以下哪种描述有误()。
A:常在婴幼儿时期感染引起
B:多数有急性肝炎史
C:感染乙型肝炎病毒时的年龄影响临床结果
D:青壮年男性居多
E:少数急性起病而持久不愈
男,32岁,因呕血200ml,黑便2次伴晕厥抬送入院。 上述病例为了确诊,首选的检查方法是( )
A:X线钡餐检查
B:B超检查
C:急症胃镜检查
D:CT检查
E:MRI检查
肝硬化腹水时以下哪一类最常见( )
A:低钾低氯血症
B:高钾血症
C:低钠血症
D:低钠合并碱中毒
E:低钙血症
临床上以水泻、低血钾、无胃酸(或低胃酸)为特征的是( )
A:VIP瘤
B:促胃泌素瘤
C:类癌综合征
D:甲状腺髓样瘤
E:嗜铬细胞瘤
下列哪些药物可以引起急性胰腺炎()。
A:糖皮质激素
B:磺胺类
C:氢氯噻嗪
D:硫唑嘌呤
E:四环素
属于胰腺外分泌试验的是( )
A:血清胰多肽测定
B:血清缩胆囊素测定
C:血清胰岛素水平测定
D:1undh试验
E:胰功肽试验
溃疡性结肠炎腹痛、腹泻明显时,若应用较大剂量苯乙哌啶有引起下列哪种并发症的
A:肠穿孔
B:直肠周围脓肿
C:肠出血
D:肠梗阻
E:中毒性巨结肠
男性,60岁。乙肝病史15年,2年来乏力、腹胀、双下肢水肿,查体:巩膜黄染,肝掌,蜘蛛痣,肝不大,脾大,移动性浊音阳性,下列哪项不能说明肝功能减退()。
A:肝掌
B:蜘蛛痣
C:腹壁静脉曲张
D:黄染
E:白球蛋白比例倒置
肝移植术后早期引起死亡的主要并发症包括()。
A:重症感染
B:原发病复发
C:肾衰竭
D:药物性肝损害
E:排斥反应
患者男,47岁。以“呕吐暗红色血1天”为主诉入院。1天前患者饮酒后出现恶心、上腹不适,呕吐暗红色血,量约1000ml,排柏油样便共约100ml。伴有头晕,心慌。既往史:否认肝炎病史;有间断上腹痛3年。个人史:饮酒10年,每日2~3瓶。查体:血压80/40mmHg,脉搏114次/分,嗜睡,呼之可应,定向力正常,计算力差。面色晦暗,巩膜无黄染,睑结膜苍白,腹膨隆,无压痛、反跳痛及肌紧张,未触及明显包块。肝脾触诊不满意。肠鸣音8次/分。该患者入院后检查结果示:血常规:血红蛋白65g/L,血小板68×10/L;肝功能:白蛋白28.4g/L,总蛋白60.5g/L,谷丙转氨酶34U/L,谷草转氨酶51U/L,总胆红素70.6μmol/L,直接胆红素24.6μmol/L:肝炎病毒:乙肝表面抗原(+),乙肝e抗原(+),乙肝核心抗体(+);血氨:105μmol/L;彩超:符合肝硬化改变;脾大,少量腹水。胃镜:食管静脉重度曲张,RC征阳性;胃角溃疡(H2期)。对该患者目前需要采取的治疗措施有哪些()。
A:禁食水
B:脾切除
C:输血补液
D:PPI
E:生长抑素
F:乳果糖灌肠
男,45岁,近2个月来感胸闷、心悸、气促、乏力,逐渐出现少尿、下肢水肿。查体:颈静脉充盈,血压90/60mmHg,心浊音界向两侧扩大并随体位而改变,心音低钝,肝大,肝颈静脉回流征阳性。X线提示心脏阴影普遍性向两侧扩大,心脏搏动减弱。如需与心力衰竭鉴别,最重要的心脏体征是有无()。
A:心率增快
B:心音低钝
C:舒张期奔马律
D:心房颤动
E:三尖瓣区或心尖区收缩期吹风样杂音
男性,30岁,经常发生周期性上腹部疼痛,服用制酸剂不能缓解,采用左侧卧位症状可缓解。
第1题,共2个问题
(单选题)最可能的诊断是( )
A:十二指肠溃疡
B:胃溃疡
C:胃窦部炎症
D:胆石症
E:胃粘膜脱垂症
第2题,共2个问题
(单选题)反流性食管炎的最典型症状是( )
A:上腹痛
B:咽下困难
C:进食后胸骨后烧灼痛
D:进食后呕吐
E:反酸,嗳气
肝硬化、肝性脑病患者,血PH7.49,K3.7mmol/L,Na137mmol/L,FBS5.8mmol/L,首选下列哪种药物治疗( )
A:精氨酸20g静滴
B:谷氨酸钠23g静滴
C:支链氨基酸250ml静滴
D:灭滴灵0.2tid
E:食醋灌肠
首页
<上一页
55
56
57
58
59
下一页>
尾页