自考题库
首页
所有科目
自考历年真题
考试分类
关于本站
游客
账号设置
退出登录
注册
登录
出自:神经病学高级职称
布朗-塞卡(Brown-sequard)综合征
以下哪些临床表现表明患者已出现了脑死亡( )
A:自主呼吸停止,须用呼吸机维持换气
B:脑干反射障碍,持续时间至少12小时
C:脑电图呈一直线,对任何刺激无反应,至少持续30分钟
D:过深昏迷,对外界刺激毫无反应
E:去大脑强直
共济失调毛细血管扩张症的特征性眼征是_________。
以下不适宜进行溶栓治疗的脑血栓形成患者是( )
A:年龄在75岁以上
B:CT显示右额顶叶大面积低密度影并昏迷状
C:有胃溃疡病史多年
D:发病已8小时,病情仍在逐渐加重
E:血压显示:220/105 mmHg,并且呕吐咖啡样胃内容物
单纯疱疹病毒性脑炎对脑的损害,以()叶和()叶最突出。
右侧胸髓损伤的主要表现是( )
A:右上下肢痉挛性瘫,左侧半身痛觉障碍
B:右下肢瘫及深感觉障碍,左侧损伤平面以下痛温觉障碍
C:左下肢瘫及深感觉障碍,右侧损伤平面以下痛温觉障碍
D:右下肢瘫、膝腱反射消失、Babinski征(-)
E:左下肢瘫,右侧损伤平面以下痛温觉障碍
线粒体脑肌病分为_________、_________、_________、_________。
重症肌无力危象抢救的关键是( )
A:积极控制感染
B:给予新斯的明肌注
C:给予免疫抑制剂治疗
D:气管切开,呼吸机辅助呼吸
E:去除病情加重的诱因
试述脑脊液常规检查的内容及其意义?
膝腱反射消失。病变部位在()。
A:胸髓第11、12节段
B:腰髓第2、3、4节段
C:腰髓第5节段和骶髓第1节段
D:腰髓第1、2节段
E:骶髓第1、2节段
延髓背外侧综合征
去皮层综合征
痉挛性偏瘫步态
动眼神经麻痹的临床床表现中
不包括
( )
A:上睑下垂
B:内斜视
C:复视
D:外斜视
E:瞳孔扩大
瞳孔对光反射的传入神经为____________,传出神经为_____________。
丘脑病变时可出现( )
A:分离性感觉障碍
B:深感觉障碍重于浅感觉
C:远端感觉障碍重于近端
D:常伴有自发性疼痛,止痛药无效
E:可有感觉过度
男,67岁,在打麻将时突然言语不清,并摔倒在地,二便失禁,并随即出现意识不清并短暂性肢体抽搐,呕吐频繁。体查:血压200/105mmHg,双瞳孔等大等圆,脑膜刺激征阳性,此时首选的检查是( )
A:立即行MRI检查明确是出血还是梗死
B:脑电图检查
C:经颅多普勒超声
D:腰穿
E:立即行头颅CT检查
关于遗忘综合征临床特点
不正确
的表述是( )
A:脑肿瘤也可导致遗忘
B:慢性遗忘常伴发于痴呆
C:脑缺血缺氧可导致急性遗忘
D:脑炎后遗忘症属于急性遗忘综合征
E:导致严重意识丧失的头部外伤必定伴发遗忘综合征
上运动神经元瘫痪肌张力增高的特点是( )
A:上、下肢均为屈肌张力高
B:上肢伸肌张力高,下胶屈肌张力高
C:上肢屈肌张力高,下肢伸肌张力高
D:上、下肢均为伸肌张力高
E:上、下肢屈、伸肌张力均高
男,53岁,近3个月出现走路不稳,走路似踩棉花样,尤以夜间为重。查体发现双下肢位置觉、震动觉消失,Romberg征阳性,肌力正常,双侧跟腱反射消失,跖反射无反应。其病变定位在( )
A:皮质脊髓侧束
B:脊髓后索
C:小脑
D:前庭神经
E:锥体外系统
何谓Creutzfeldt-Jakob病(CJD)?临床有哪几种类型?
手术治疗效果最好的癫痫类型是哪种?
有关Shy-Drager综合征,需鉴别的疾病是( )
A:晕厥
B:颈静脉综合征
C:神经系统、内分泌代谢疾病、低血容量贫血所致直立性低血压
D:药物所致直立性低血压
E:帕金森病
下列哪项不应列为病理反射( )
A:Rossolimo征
B:Oppenhamn征
C:Chaddock征
D:Babinski征
E:Gordon征
患者,男性,30岁,突发头痛、呕吐,脑膜刺激征(+),右侧偏身感觉障碍,CT显示左顶叶高密度灶。应考虑的可能诊断是( )
A:脑叶出血
B:蛛网膜下隙出血(原发性)
C:蛛网膜下隙出血(继发性)
D:颅内动脉瘤
E:脑血管畸形
与周期性瘫痪可以伴发的常见疾病为( )
A:癔病
B:糖尿病
C:甲状腺功能亢进
D:原发性醛固酮增多症
E:甲状旁腺功能亢进
Lambert-Eaton综合征的诊断要点。
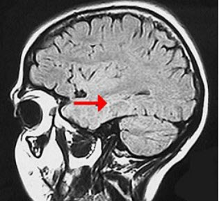
如图箭头所示为大脑哪个部位( )
A:壳核
B:丘脑
C:尾状核
D:岛叶
E:海马
腰椎穿刺对哪些神经疾病的诊断有价值?
Adie syndrome
首页
<上一页
55
56
57
58
59
下一页>
尾页