自考题库
首页
所有科目
自考历年真题
考试分类
关于本站
游客
账号设置
退出登录
注册
登录
出自:神经病学高级职称
滑车神经受损时( )
A:眼球向内上方运动障碍
B:眼球向内下方运动障碍
C:眼球向外上方运动障碍
D:眼球向外下方运动障碍
E:眼球向上方注视有复视
早期帕金森病的纹状体核素显像诊断中可发现( )
A:多巴胺转运体(DAT)功能亢进,多巴胺D2受体功能减退
B:DAT功能亢进,多巴胺D2受体功能正常
C:DAT功能减低,多巴胺D2受体功能超敏
D:DAT功能减低,多巴胺D2受体功能正常
E:DAT功能正常,多巴胺D2受体功能超敏
静脉注射免疫球蛋白治疗格林—巴利综合征时,其禁忌证是________或_________。
一个携带DMD基因的女性其血清中哪种物质的水平可能升高( )
A:氨
B:肌球蛋白
C:磷酸果糖激酶
D:肌酸磷酸激酶
E:己糖胺酶
各种一般感觉传导路第2级神经元的特点?
亚急性硬化性全脑炎的临床分期和各期的主要临床表现是什么?
失认症包括:__________、__________、_____________。
构音障碍
简述格林-巴利综合征的诊断要点。
一个55岁的昏迷患者,检查发现双侧瞳孔缩小如针尖,要考虑( )
A:脑桥被盖出血
B:脑桥被盖软化
C:阿托品中毒
D:安眠药中毒
E:吗啡中毒
以下关于痫性发作
不正确
的表述是( )
A:发作期及发作间期脑电图均有异常
B:可表现运动性、感觉异常发作
C:常表现发作性意识障碍
D:伴有情绪、内脏、行为改变.
E:脑神经元过度异常放电导致短暂的神经功能异常
腹壁反射中心为________,提睾反射中心为_________,肛门反射中心为________。
何为肝豆状核变性?
Duchenne型肌营养不良症(DMD)的临床表现特征?
运用功能的皮质代表区位于( )
A:优势半球颞上回后部
B:优势半球颞中回后部
C:优势半球额下回后部
D:左侧缘上回
E:左侧角回
脑囊虫病的治疗主要是__________和__________。
去大脑强直表现为()。
A:四肢强直,双上肢屈曲,双下肢伸直
B:四肢强直,双上下肢均伸直
C:四肢呈齿轮样强直
D:四肢扭转性痉挛
E:蜡样屈曲
肢共济运动的检查包括:___________、____________、____________。
以下哪个部位的病变可以出现Gerstmann综合征( )
A:优势侧顶叶角回皮质损害
B:优势侧缘上回损害
C:优势侧角回、缘上回损害
D:优势侧中央前回病变
E:非优势侧角回、缘上回损害
感觉性共济失调
肌张力障碍
DMD患儿的智力水平常常( )
A:显著受损。
B:轻度受损
C:正常
D:较正常人群略好
E:显著优于正常人群
人类周期性瘫痪中最常见类型为_________。
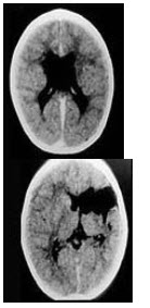
患儿,男,1岁,运动发育落后半年。生后5分钟Apgar评分5分。家族史阴性。查体:智力正常,双上肢活动正常,双下肢肌张力增高,腱反射亢进,踝阵挛阳性。CT检查如图。
第1题,共2个问题
(单选题)本病最可能诊断为( )
A:椎管内肿瘤
B:脑炎后遗症
C:遗传性痉挛性截瘫
D:脑性瘫痪
E:Louis-Barr综合征
第2题,共2个问题
(单选题)上述疾病诊断后,当前不宜采用的治疗方法是( )
A:物理疗法
B:康复训练
C:试服巴氯芬
D:口服安坦
E:选择性脊神经后根切断术
下列
不属于
运动系统检查的是哪项( )
A:肌力
B:肌张力
C:竖毛试验
D:姿势及步态
E:肌营养
什么是脑性瘫痪?
脑梗死病灶在CT上可出现低密度改变,一般多在发病后( )
A:3~6小
B:6~8小时
C:8~12小时
D:12~24小时
E:24~48小时
隐球菌性脑膜炎是真菌侵犯中枢神经系统______的一种形式( )
A:最常见
B:较常见
C:较少见
D:罕见
E:以上均不是
试述癫痫外科手术治疗的适应证和手术方式。
牵涉性疼痛
首页
<上一页
54
55
56
57
58
下一页>
尾页