自考题库
首页
所有科目
自考历年真题
考试分类
关于本站
游客
账号设置
退出登录
注册
登录
出自:神经病学高级职称
头痛的治疗包括以下原则( )
A:减轻症状
B:终止发作
C:预防复发
D:手术探查
E:病因治疗
对于重症肌无力病人应禁用的药物是()。
A:利尿剂,如螺旋内脂固醇(安体舒通)
B:氨基甙类抗生素(卡那霉素、链霉素、庆大霉素)
C:环磷酰胺
D:肾上腺皮质激素
E:麻黄素
简述胫神经麻痹的临床特点。
病史中必须询问的内容有哪些?
看图做题:
第1题,共1个问题
(配伍题)
如图B中1所示为下肢哪根神经( )
如图B中2所示为下肢哪根神经( )
如图B中3所示为下肢哪根神经( )
脊柱裂最好发的部位是( )
A:腰骶部
B:后颅窝
C:颈部
D:腰部
E:鼻根部
下列哪些情况是腰穿适应证( )
A:中枢神经系统感染性疾病
B:蛛网膜下隙出血
C:脱髓鞘疾病
D:脊髓病变
E:颅内转移癌
试述线粒体脑肌病分型及临床特点。
重症肌无力的发病机理可能是( )
A:胆碱脂酶活性降低
B:突触前乙酰胆碱释放减少
C:胆碱脂酶活性增高
D:突触后膜乙酰胆碱受体敏感性降低和受体数目减少
E:以上均不是
简述全面性强直—阵挛发作的临床表现。
HIV主要侵犯__________及__________。
同心圆性硬化
重症肌无力主要是由细胞免疫异常所介导。( )
四肢远端对称性的感觉、运动和自主神经功能障碍疾病定位在( )
A:肌肉病变
B:多发性周围神经病变
C:脊髓病变
D:脑干病变
E:神经肌肉接头处病变
脊髓的圆锥构成的节段是( )
A:L~S的脊髓
B:尾髓
C:S~S
D:S~S和尾髓
E:S~S和尾髓
MRI表现见双侧豆状核区T1低信号,T2高信号,考虑为何种疾病( )
A:特发性震颤
B:肝豆状核变性
C:帕金森病
D:进行性核上性麻痹
E:多系统萎缩
脑型血吸虫主要分布地域在( )
A:长江中下游和南方水网地带
B:东北平原
C:西北地区
D:西南山岭地区
E:南方海岛区域
试述血管性痴呆的治疗。
农民病员,男,40岁。右上肢疼痛4个月,右下肢无力1个月,逐渐加重。既往无特殊。检查:右瞳<左瞳,光反射好。右手小鱼际肌萎缩并有束颤。右上肢腱反射减弱,右手尺侧面痛觉消失,左上肢正常。右下肢肌力3级,肌张力高,腱反射亢进,病理反射阳性。左上肢肌力、张力、反射正常。右上下肢深感觉明显减退,左侧第二肋骨平面以下痛觉消失。双侧触觉正常。如果作脑脊液检查,是否有异常发现?如果有,可能是什么改变?
造成中枢神经系统急性感染的病毒最多见的是( )
A:M蛋白缺陷型麻疹病毒
B:单纯疱疹病毒
C:乳头状多瘤空泡病毒
D:朊蛋白
E:风疹病毒
如图箭头所示为大脑哪个部位( )
A:前连合
B:后连合
C:室间孔
D:乳头体
E:垂体
TCD的异常所见表现在哪些方面?
锥体束由何处发出?
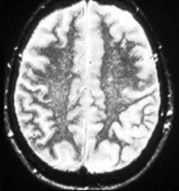
根据MRI表现考虑为何种疾病是( )
A:羊瘙痒病
B:皮质一纹状体-脊髓变性
C:进行性多灶性白质脑病
D:亚急性硬化性全脑炎
E:进行性风疹全脑炎
吡喹酮治疗脑囊虫病时,成人每个疗程的总剂量为________。
小脑扁桃体下疝畸形( )
颅底凹陷症( )
A:头痛
B:构音障碍
C:两者均有
D:两者均无
蛛网膜下腔出血的一般处理主要是绝对卧床()周;适当给予()药;保持()通畅。
脊髓亚急性联合变性与_____________有关。
检查感觉最应该注意()。
A:疼痛
B:感觉过度
C:感觉障碍的部位
D:感觉异常的性质
E:感觉障碍的程度
CJD常见的临床类型是( )
A:散发型
B:医源型
C:家族型
D:变异型
E:以上均是
首页
<上一页
51
52
53
54
55
下一页>
尾页