自考题库
首页
所有科目
自考历年真题
考试分类
关于本站
游客
账号设置
退出登录
注册
登录
出自:眼科高级职称
下列哪一项不是角膜血染的基本条件()
A:前房积血
B:持续高眼压
C:角膜内皮损害
D:房水循环停滞
E:前房角后退
皮样囊肿来源于( )
A:胚胎期表皮外胚叶
B:胚胎期中胚叶
C:胚胎期表皮中胚叶
D:胚胎期神经外胚叶
E:脑神经脊细胞
下面关于最大屈光力说法正确的是( )
A:和最小屈光力主子午线相互垂直者为顺规散光
B:和最小屈光力主子午线不相互垂直者为逆规散光
C:主子午线在90°±30°位置者为规则散光
D:主子午线在180°±30°位置者为不规则散光
E:主子午线在30°~60°位置者为斜向散光
病毒性结膜炎的分泌物常为( )
A:黏液性
B:浆液性
C:脓性
D:水样
E:黏稠丝状
同侧偏盲伴黄斑回避常见于()
A:视束病变
B:视交叉处损害
C:视乳头水肿
D:颈内动脉硬化
E:距状裂皮质损伤
试述白内障术前应做哪些眼部及全身检查?
Foster-Kennedy综合征的表现为()
A:患侧视神经萎缩,对侧视盘水肿
B:患侧视神经水肿,对侧视盘萎缩
C:双侧视神经萎缩,对侧视盘水肿
D:患侧视神经萎缩,双侧视盘水肿
E:对侧视神经萎缩,患侧视盘水肿
女,35岁,患有风湿性关节炎史,除阴天时关节酸痛外,无任何不适,未给予治疗。3天来感冒、发热、咳嗽、咳黄色黏痰。入院前突感呼吸困难,频频咳嗽,咳粉红色泡沫样痰,烦躁不安。检查:血压100/60mmHg,呼吸32次/分,心率120次/分,律齐,心尖区滚筒样舒张期杂音,肺动脉瓣区递减型高调叹气样舒张期早期杂音,于吸气末增强,双肺散在哮鸣音,肺底湿啰音。
第1题,共1个问题
(单选题)其肺动脉瓣区杂音最可能为()
A:肺动脉瓣关闭不全
B:肺动脉瓣狭窄
C:Graham-Steell杂音
D:动脉导管未闭
E:风湿活动
患者,女性,40岁,右眼视力下降1个月,无眼红、眼痛、畏光、流泪。眼科检查:视力右眼0.6,左眼1.5,右眼无充血,角膜透明,KP(+),星形,弥漫分布于角膜后,虹膜可见脱色素改变,未见粘连,前房闪辉(+),未见炎性细胞,晶状体后囊下轻度混浊,玻璃体轻度混浊,眼底未见异常,眼压右25mmHg,左16mmHg。
第1题,共2个问题
(单选题)本例诊断为()
A:Fuchs虹膜异色性葡萄膜炎
B:青-睫综合征
C:Vogt-小柳原田综合征
D:中间葡萄膜炎
E:疱疹病毒性前葡萄膜炎
第2题,共2个问题
(单选题)除降眼压外,进一步的治疗()
A:全身应用糖皮质激素
B:应用非甾体类抗炎药滴眼液
C:结膜下注射糖皮质激素
D:结膜下注射抗生素
E:全身应用抗生素
冲洗泪道时有阻力,若冲洗液部分反流,部分流鼻腔,说明( )
冲洗泪道时,若冲洗液完全从原路反流,说明( )
冲洗泪道时,若冲洗液自下泪小点注入,液体由上泪小点反流,说明( )
经下泪小点注入冲洗液,若口咽部有液体的感觉,则说明( )
A:泪总管阻塞
B:鼻泪管阻塞
C:鼻泪管狭窄
D:泪道通畅
E:泪小管阻塞
一名远视患者,远视力为0.1,先作主观验光,用+2.5DS的镜片后,远视力提高到1.5,再慢慢增加镜片的度数至+5.5DS时远视力仍然保持1.5,再增加镜片的度数远视力下降,用阿托品麻痹使睫状肌调节放松后检影结果为+6.5DS。该患者的隐性远视度数为()
A:+2.5D
B:+3.0D
C:+5.5D
D:+1.0D
E:+6.5D
患者,男性,54岁,右眼红痛、视力下降10天。10天前被玉米叶划伤右眼,后出现右眼畏光、流泪、眼红、眼痛,视力进行性下降。眼科检查见:Vod0.05,结膜混合充血(++),角膜中央浸润灶呈牙膏样外观,可见卫星灶,前房积脓约1mm。该病人可能的诊断为()
A:细菌性角膜溃疡
B:病毒性角膜溃疡
C:真菌性角膜溃疡
D:棘阿米巴性角膜炎
E:神经麻痹性角膜炎
如受试者视力低于______,须加______检查,如视力有改善,则可能是______,并记录之。
酸碱烧伤后的组织反应,可分为三种不同程度的烧伤:轻度________、中度________、重度_______。
女性,76岁,左眼昨天行超声乳化及人工晶状体植入术,进检查人工晶状体夹持,最先考虑的治疗方法是( )
A:扩瞳
B:降眼压治疗
C:立即手术复位
D:扩瞳、平躺、降眼压治疗
E:抗炎、激素治疗
闭角型青光眼临床前期的表现
不正确
的是()
A:虹膜膨隆
B:一眼急性发作后,另一眼未发作者
C:在激发试验下,眼压无升高
D:前房浅
E:房角狭窄
新中国成立以前以下哪些是致盲的主要原因( )
A:传染性眼病
B:维生素A缺乏
C:外伤
D:青光眼
E:白内障
下斜肌的主要作用为外旋。
患者,男性,26岁,反复双眼虹膜睫状体炎与前房积脓,且有复发性口腔溃疡和阴部溃疡史。
第1题,共2个问题
(单选题)可能性最大的诊断()
A:天疱疮
B:Behcet病
C:急性风湿热
D:Reiter综合征
E:Graves病
第2题,共2个问题
(单选题)合适的治疗是()
A:青霉素
B:土霉素
C:糖皮质激素
D:多黏菌素
E:金霉素
青光眼黄斑功能改变除外()
A:获得性色觉障碍
B:图形视网膜电图改变
C:视诱发电位改变
D:眼电图改变
E:视觉对比敏感度改变
不符合Eale病特征性改变的是()
A:青年男性较多见
B:单眼性
C:由结核性视网膜静脉炎或静脉周围炎引起
D:反复玻璃体积血
E:继发性视网膜脱离
角膜后KP按其形状可分哪几种类型及各种类型由何种细胞构成,可发生在哪些葡萄膜炎?
正常结膜囊最大容量为多少()
A:10μl
B:20μl
C:30μl
D:40μl
E:50μl
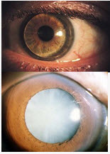
该图最有可能是何种类型的白内障()
A:老年性白内障
B:先天性白内障
C:外伤性白内障
D:后发性白内障
E:以上都不是
有关视神经缺损(如图)说法正确的是()
A:常单眼发病
B:视力明显低下,视野检查生理盲点扩大
C:视盘大,缺损区为淡青色,边缘清,凹陷大而深
D:缺损区常多位于鼻侧
E:可伴有葡萄膜缺损及其他先天性眼部异常
泪道冲洗时清水从下泪点注入,清水从上泪点流出时,则表明()
A:泪小管阻塞
B:泪小点阻塞
C:泪总管阻塞
D:鼻泪管阻塞或泪总管阻塞
E:鼻泪管阻塞合并慢性泪囊炎
黏弹性保护剂在眼科手术中的作用是()
A:保护角膜
B:维持前房恒定的深度
C:防止玻璃体和虹膜的脱出
D:预防高眼压
E:对前房出血或伤口渗血有止血作用
角膜病引起混浊是我国致盲主要原因()
A:以感染所致角膜炎症为多见
B:应积极预防细菌性、病毒性、真菌性等角膜炎
C:积极治疗角膜炎是减少角膜病致盲的重要手段
D:角膜移植术是治疗角膜病致盲的有效手段
E:加强角膜病的防治研究可减少角膜病致盲
膜性白内障
单纯性糖尿病性视网膜病变(DRP)硬性渗出(如图)最常见于()
A:视盘处
B:周边部
C:黄斑部
D:后极部
E:全视网膜
首页
<上一页
51
52
53
54
55
下一页>
尾页