自考题库
首页
所有科目
自考历年真题
考试分类
关于本站
游客
账号设置
退出登录
注册
登录
出自:放射医学技术(士)
和中心注射对比剂相比,外周注射时碘信号值大约减少()
A:20%
B:40%
C:60%
D:80%
E:100%
在20cm×20cm照射野,被照体厚度超过15cm时,对胶片来说,散射线的影响趋势是()
A:增大
B:减小
C:先增大后减小
D:先减小后增大
E:不再增加
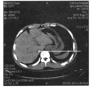
下面上腹部断层图像中箭头所指为()
A:腹主动脉
B:门静脉
C:下腔静脉
D:肝静脉
E:胆总管
关于体层摄影层间距的叙述,正确的是()
A:焦点至支点的距离
B:层面至病灶的距离
C:层面中心与相邻层面中心之间的距离
D:层面与床面的距离
E:病灶与体表的距离
鞍区CT扫描可以诊断的疾病
不包括
()
A:垂体肿瘤
B:垂体泌乳素微腺瘤
C:颅咽管瘤
D:脑膜瘤
E:垂体萎缩
下述使影像产生运动模糊的因素是()
A:管电流大
B:管电压低
C:物-片距小
D:被照体移动
E:显影时间长
光子与物质相互作用过程中唯一不产生电离的过程是()
A:相干散射
B:光电效应
C:康普顿效应
D:电子对效应
E:光核作用
关于扁平颗粒胶片叙述错误的是()
A:光采集容量提高
B:可获得最大光吸收
C:可减少影像模糊
D:增加荧光交叠效应
E:可减少散射光
腹主动脉的分支包括脏支和壁支,其脏支
不包括
()
A:腹腔动脉
B:肠系膜上动脉
C:肠系膜下动脉
D:肾动脉
E:腰动脉
下列关于三叉神经的叙述错误的是()
A:三叉神经属混合神经,含躯体感觉和躯体运动两种纤维
B:眼神经为感觉神经
C:上颌神经为感觉神经,穿眶上裂,为眶上神经
D:下颌神经为混合神经,经卵圆孔出颅分为数支
E:三叉神经周围突形成眼神经、上颌神经和下颌神经的大部分
关于中心线叙述正确的是()
A:中心线是摄影方向的表示
B:斜射线能正确反映被照体状况
C:中心线一般通过被摄部位边缘
D:可分为阳极中心线和阴极中心线
E:从球管发出的射线都是中心线
关于胶片特性曲线的叙述,错误的是()
A:是描绘曝光量与所产生密度之间关系的一条曲线
B:曲线可以表示出感光材料的感光特性
C:特性曲线也称H-D曲线
D:曲线的横坐标为曝光量,纵坐标为密度
E:曲线的横坐标为密度,纵坐标为曝光量
数字减影系统(DSA)一般常用的减影方法为()
A:时间减影法
B:空间减影法
C:二维TOF法
D:直接减影法
E:飞跃法
在X线诊断能量范围内,Q、N的取值分别是()
A:Q=2、N=2
B:Q=1、N=2
C:Q=1、N=1
D:Q=3、N=2
E:Q=2、N=3
放大摄影能将细小结构显示清楚,其原因是()
A:空气滤过散射少
B:照射野小,清楚度高
C:将高频信号转换成低频信号
D:焦点面积变小
E:模糊阈值变大
体层摄影中选择层间距大小的依据是()
A:被照体的厚度
B:被照体的深度
C:被照体的密度
D:照射角的大小
E:被检病变的大小
下列叙述正确的是哪项()
A:线衰减系数与吸收物质的密度成反比
B:质量衰减系数与物质密度有关
C:质量衰减系数与物质的物理形态有关
D:水、冰和水蒸气的质量衰减系数相同
E:水、冰和水蒸气的线衰减系数相同
腹部前后位摄影,影像中不可清晰显示的是()
A:肾脏边缘
B:腰大肌
C:腹膜外脂肪线
D:骨盆
E:子宫
入射光子能量恰好等于原子轨道的结合能时,光电效应的发生几率发生下列哪种变化()
A:突然减少
B:突然增大
C:变为零
D:变为10%
E:无变化
下述二尖瓣型心脏的影像特点,错误的是()
A:形态近于梨形
B:右心缘较突出
C:心腰隆起
D:主动脉结影增宽
E:常见于二尖瓣病变、房间隔缺损和肺源性心脏病
消除运动模糊的方法
不包括
()
A:加强对X线设备的定期检测,尤其保证X线管、诊断床以及活动滤线栅托盘的机械稳定性
B:采用短时间曝光法
C:屏气与固定肢体
D:尽量缩小肢-片距
E:应用滤线栅
关于肝脏分段的标记,错误的是()
A:以肝静脉为主要分段标记
B:肝中静脉将肝分成左、右叶
C:肝右静脉将肝分成左、右叶
D:肝左静脉将肝分成内、外两段
E:背裂将尾状叶与左内叶和右前叶分开
X线信息影像转换成可见密度影像,转换介质不含()
A:增感屏-胶片系统
B:影像增强器系统
C:电影胶片
D:观片灯
E:荧光屏
X线摄影用胶片可分为:①感蓝胶片:其吸收光谱的峰值在420nm。主要为标准感度的通用型胶片,适用于一般摄影中的大部分,性能适中,低灰雾高对比,可使骨骼、空气和造影剂之间对比增强。②感绿胶片(扁平颗粒胶片):其吸收光谱的峰值在550nm。它是将三维卤化银颗粒切割成扁平状,以预期的方式排列,并在乳剂中加入了一层防荧光交叠效应的染料。③乳腺摄影用胶片:是一种高分辨率、高对比、对绿色光敏感的乳腺专用胶片。④高清晰度摄影用胶片:是一种高分辨率、高对比度胶片。特别适用于要求提供高清晰的图像、显示组织微细结构信息的四肢摄影。关于乳腺摄影用胶片叙述错误的是()
A:也称正色片
B:为单面乳剂结构
C:采用扁平颗粒技术
D:不利于放大摄影
E:荧光交叠效应低
CR的全称是()
A:计算机扫描摄影
B:计算机X线摄影
C:计算机体层摄影
D:直接X线摄影
E:计算机横断体层扫描
关于原子核结构的叙述,错误的是()
A:原子均由核及核外电子组成
B:电子沿一定轨道绕核旋转
C:核外电子具有不同壳层
D:K层最多容纳8个电子
E:K层电子半径最小
患者,男性,60岁。外伤后长期卧床,突发胸痛;既往无吸烟史。影像学检查显示右肺上叶纹理稀疏,透光度增强。
第1题,共1个问题
(单选题)进一步检查应选()
A:穿刺活检
B:MRI检查
C:胸腔镜
D:纤支镜
E:肺动脉造影
内分泌腺与一般腺体的不同是()
A:分泌活性物质
B:没有排泄管道
C:分泌的激素影响一定器官
D:腺体小
E:持续分泌
有关鞍上池毗邻关系的正确描述是()
A:前为额下回,侧为海马,后为脑桥
B:前为眶回,侧为颞叶,后为脑桥
C:前为额叶,侧为颞叶,后为脑桥
D:前为直回,侧为海马,后为中脑
E:前为额叶,侧为颞叶,后为延髓
通过控制层面选择梯度场和射频脉冲来完成MR图像层面和层厚的选择。在完成了层面选择后还必须进行层面内的空间定位编码。层面内的空间定位编码包括频率编码和相位编码。频率编码让来自不同位置的MR信号包含有不同的频率,采集到混杂有不同频率的MR信号后,通过傅里叶变换才能解码出不同频率的MR信号,而不同的频率代表不同的位置。在前后方向上施加了频率编码梯度场后,经傅里叶转换的MR信号仅完成了前后方向的空间信息编码,必须对左右方向的空间信息进行相位编码,才能完成层面内的二维定位。下列叙述正确的是()
A:磁共振的空间定位由准直器完成
B:梯度场的强度与空间位置有关
C:梯度场的强度决定能取得的最小层厚
D:射频脉冲的频谱越宽,层厚越薄
E:实现空间定位,需要2组梯度
首页
<上一页
51
52
53
54
55
下一页>
尾页