自考题库
首页
所有科目
自考历年真题
考试分类
关于本站
游客
账号设置
退出登录
注册
登录
出自:放射医学主治医师
患者,男性,28岁,咳嗽咳痰1年余,CT检查如图所示。
关于肺隔离症的叙述正确的是()
A:右侧比左侧更常见
B:与支气管相通
C:一般无临床症状
D:上叶与下叶发生率相符合
E:绝大多数血供来源于主动脉
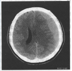
患者男,24岁。头部被球击中,1周后出现持续性头痛、头晕,结合CT图像,最可能的诊断是()
A:硬膜外血肿
B:脑挫裂伤
C:急性硬膜下血肿
D:亚急性硬膜下血肿
E:慢性硬膜下血肿
患者,男,33岁,吞咽时感不适,咽痛,转头时疼痛显著,行X线片检查如下,可诊断为()
A:右侧茎突综合征
B:颞下颌关节半脱位
C:颞下颌关节紊乱
D:环枢椎关节紊乱
E:颈椎病
患者,女,52岁,CT和MRI发现盆腔内有囊实性肿块,壁和内隔厚而不规整并有明显的实性部分。最可能的诊断是下列哪一项()
A:卵巢囊肿
B:卵巢腺瘤
C:卵巢畸胎瘤
D:卵巢囊腺癌
E:卵巢脓肿
两个相邻区域信号强度的相对差别是()
A:对比度
B:信噪比
C:对比噪声比
D:空间分辨率
E:以上都不是
一个可靠的骨肿瘤诊断必须依靠()
A:病理活检或穿刺
B:临床各项化验结果
C:影像各种诊断方法
D:临床、病理、影像三结合
E:以上均不全面
肾脏实质内见单发或多发圆形或类圆形大小不等均匀低密度区,呈水样密度,病灶边界清楚锐利,部分病灶可见囊壁弧状或环状高密度钙化影,较大病灶可突向肾轮廓之外()
A:肾上腺囊肿
B:卵巢囊肿
C:肾单纯性囊肿
D:前列腺囊肿
E:输尿管囊肿
患者,女,82岁,上腹部不适,大便带脓性血性黏液3个月余,既往结肠息肉病史,现上腹部CT检查发现肝脏密度不均匀,其内可见数个低密度病灶,增强扫描强化程度低于肝脏,实验室检查AFP正常。
第1题,共2个问题
(单选题)下列出现哪一种影像学征象有助于肝转移瘤的诊断()
A:增强扫描病灶见填充式强化
B:牛眼征
C:晕圈征
D:靶征
E:以上都不是
第2题,共2个问题
(单选题)结合以上临床资料,患者肝内多发病灶最有可能的诊断是()
A:肝细胞性肝癌并肝内转移
B:胆管细胞癌
C:肝转移瘤
D:肝腺瘤
E:肝血管瘤
甲状旁腺功能亢进骨病的特征性影像学表现是()
A:骨质密度减低,骨小梁稀疏
B:病理性骨折
C:骨外膜下骨吸收
D:皮质内骨吸收
E:软骨下骨吸收
关于先天性子宫发育畸形中哪项描述不妥()
A:子宫先天畸形主要与胚胎发育有关
B:子宫畸形由苗勒管发育演变异常造成
C:包括双角、单角、纵隔子宫、幼稚子宫等多种畸形
D:可导致不孕、流产和早产
E:子宫输卵管造影可诊断所有子宫畸形
观察关节软骨损伤,请问选用何种影像学检查()
A:平片
B:透视
C:MRI
D:血管造影
E:椎管造影
患者,婴幼儿,肺纹理增浓,模糊,肺下野内带有片状阴影,密度较淡,边界模糊,病灶周围可有肺气肿或肺不张,肺门阴影增大或有结节状阴影,考虑为()
A:过敏性肺炎
B:吸入性肺炎
C:支原体肺炎
D:腺病毒肺炎
E:机化性肺炎
慢性胰腺炎较具特征性的表现是()
A:胰管、胆管扩张形成"双管征"
B:动态增强扫描动脉期为低密度
C:胰腺萎缩、胰腺内钙化并假囊肿形成
D:胰腺肿胀,胰周脂肪间隙模糊
E:肾筋膜增厚、肾前间隙、小网膜囊内肾后间隙积液
部位、大小、数目可一日数变的肺气囊是下列哪种疾病的特征性表现()
A:肺吸虫病
B:肺囊虫病
C:葡萄球菌肺炎
D:过敏性肺炎
E:系统性红斑狼疮肺炎
眼球CT平扫中密度最高的是()
A:玻璃体
B:巩膜
C:晶状体
D:视乳头
E:房水
右肺上叶不张的X线表现为()
A:右肺水平裂外侧部上移
B:侧位呈底向前胸壁、尖指向肺门的三角形阴影
C:正位片底向膈面、尖指向肺门的三角形影
D:纵隔向健侧移位
E:斜裂向前上方移位
膀胱结核()
A:膀胱壁毛糙不平,膀胱容积缩小
B:边缘多不规则,表面凹凸不平,基底宽,局部膀胱壁变硬,膀胱变形
C:逆行造影,表现为充盈缺损且随体位而动
D:造影早期无明显异常,晚期膀胱容积减小,表面毛糙,偶可见膀胱壁线样钙化
E:可见膀胱一侧壁向膀胱内突出的充盈缺损影,形态可呈圆形或不规则形,体位变后病灶无变化
患儿,男,1岁。出现烦躁、啼哭1天,1小时前出现血便。行空气灌肠检查如图。
对该病最有价值的影像学检查是()
A:空气或钡灌肠
B:CT
C:MRI
D:腹部平片
E:超声
F:肠镜
患者,45岁。反复咳嗽、咳脓痰3年余,每次患病行消炎止咳治疗,症状有所缓解。最近1个月反复咯血3次,故来院就诊;查体:气管居中,右下肺可闻及固定而持久的局限性粗细湿啰音,患者有杵状指。行X线胸片检查示,肺纹理增粗、紊乱,并于右下肺叶内见多个囊状透亮影,囊腔内可见液平,左下肺内亦见。
第1题,共3个问题
(单选题)分析上述病例,你认为最可能的诊断是()
A:右下肺支气管囊肿
B:右下肺支气管扩张并感染
C:右下肺肺结核
D:右下肺肺脓肿
E:右下肺大叶性肺炎
F:右侧液气胸
第2题,共3个问题
(单选题)为明确诊断,该患者需进一步做下列哪项检查为宜()
A:B超
B:MRI
C:HRCT
D:DSA
E:核素扫描
F:纤维支气管镜
第3题,共3个问题
(单选题)下列哪项不是HRCT的特点()
A:空间分辨率高
B:清晰的显示肺组织的细微结构
C:使用1mm薄层扫描技术
D:准确显示支气管壁、腔及所伴行血管直径变化
E:目前评价小气道病变的最好影像学技术
F:以上均不是
过敏性结肠炎的X线表现为()
A:乙状结肠不规则狭窄
B:局部结肠不规则挛缩及多发性小龛影
C:肠袋加深,排钡后见线样征
D:乙状结肠黏膜皱襞破坏
E:乙状结肠内不规则充盈缺损
患者,男性,53岁,发现鼻塞及左侧颈部包块、面部疼痛1个月余,查体左颈部有一质硬包块。MRI如下图所示
第1题,共1个问题
(单选题)以下关于本病的描述,
不正确
的是()
A:发生于鼻咽黏膜上皮
B:男性多于女性
C:与EB病毒无关
D:好发于鼻咽侧壁和顶壁
E:MRI对鉴别本病复发有重要价值
患者,女,32岁,进行性膀胱刺激症状,经抗生素治疗不见好转,且伴有右侧腰部胀痛及午后潮热。尿液检查对诊断有决定意义的是()
A:血尿
B:脓尿
C:尿普通细菌培养
D:尿沉渣找结核分枝杆菌
E:尿细胞学检查
目前能够进行活体组织内化学物质无创性检测的方法是()
A:PWI
B:DWI
C:MR波谱分析
D:MR动态增强
E:MRA
肾癌动脉血管造影的表现,正确的描述是()
A:肾动脉不增粗
B:患侧肾动脉增粗,肿瘤周围血管移位、分离,呈"抱球"状
C:局部肾实质染色消失
D:肿瘤血管呈漩涡状或放射状排列
E:病灶内小动脉呈葡萄样扩张
介入治疗中,血管内给予罂粟碱的意义是()
A:扩血管
B:抗肿瘤
C:缩血管、止血
D:溶栓
E:降低血液黏度
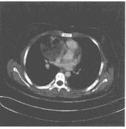
女,35岁,查体发现右下前纵隔占位性病变,CT如图,最可能的诊断为()
A:淋巴瘤
B:支气管囊肿
C:心包囊肿
D:脂肪瘤
E:畸胎瘤
以下
不属于
血管内介入治疗技术的是()
A:动静脉血管畸形栓塞治疗
B:实体良、恶性肿瘤的术前栓塞或姑息性治疗
C:经口食管胃肠道狭窄扩张术
D:内科性内脏器官消除功能治疗
E:肝脏动脉门静脉瘘栓塞治疗
有关膀胱癌和结石的鉴别,下列错误的是()
A:双重对比造影两者等同
B:癌与结石均不随体位改变而移动
C:膀胱癌浸润膀胱壁,使膀胱壁不光整和硬化
D:膀胱癌的充盈缺损边缘不光整,而结石则光滑
E:X线平片易于诊断结石
无骨髓水肿的病变是()
A:外伤
B:应激反应
C:反射性交感神经营养不良
D:再障
E:一过性骨质疏松
关于DSA的X线录像机结构的叙述,错误的是()
A:有磁带
B:有磁头
C:录相磁头又称视频磁头
D:磁带宽约2.5-5m
E:录相磁头是一个圆形铁芯
首页
<上一页
51
52
53
54
55
下一页>
尾页