出自:神经病学高级职称

何谓肌源性延髓麻痹?
如图箭头所示为小脑哪个部位( )
A:小脑上脚
B:小脑下脚
C:小脑蚓部
D:小脑扁桃体
E:小脑中脚
智能障碍的主要症状包括( )
A:记忆障碍
B:思维判断力障碍
C:性格改变
D:运动障碍
E:情感障碍
患者经压眶、针刺或反复大叫后能够醒来,能作简单模糊的回答,外界刺激停止后立即入睡,这种意识状态称为( )
A:清醒
B:嗜睡
C:昏睡
D:浅昏迷
E:深昏迷
关于高血钾型周期性瘫痪,下列哪项描述是不正确的( )
A:该型罕见,多见于北欧国家
B:为常染色体显性遗传
C:多在运动后发作,饥饿、寒冷可诱发
D:给予葡萄糖和胰岛素静滴可诱发发作
E:预防发作首选乙酰唑胺
高血压脑病是血压突然升高,造成脑血流自动调节机制的障碍,此时平均动脉压应高于( )
A:160mmHg
B:170mmHg
C:180mmHg
D:190mmHg
E:200mmHg
有骨髓与肝损害的抗痫药物有( )
A:非氨酯
B:卡马西平
C:苯妥英钠
D:丙戊酸钠
E:苯巴比妥
男性,25岁。3小时前与人争吵时突发炸裂样头痛,伴呕吐,入院查体:神志清楚,颈有抵抗,克氏征阳性,余未见明显异常;头颅CT示蛛网膜下隙出血。 若该DSA检查有异常发现,根据DSA结果为颅内哪根血管病变( )
A:大脑前动脉
B:大脑中动脉
C:前交通动脉
D:大脑后动脉
E:基底动脉
图为大脑静脉图,分别标出如图所示1_______________2_______________3_____________4___________5____________6_______________7_______________部位。
失眠的临床表现包括( )
A:入睡困难
B:睡眠维持障碍(睡中易醒)
C:早醒
D:睡眠时间缩短
E:多梦
红核综合征
癫痫持续状态的诱因包括______________________、___________、______________、___________、_______。
脑卒中的一级预防和二级预防
典型失神发作脑电图呈双侧对称()周/秒()波。
强直性发作和无张力性发作的临床表现?
左侧颈膨大(C~T)病变可出现( )
A:左上肢弛缓性瘫,左下肢痉挛性瘫
B:病变水平以下右侧痛温觉减退
C:病变水平以下左侧痛温觉减退
D:左上、下肢深感觉减退
E:左侧瞳孔缩小
多发性硬化的主要临床特点是什么?

女性,40岁。搓洗衣服后左手桡侧3个手指发麻2年。检查发现左大鱼际肌萎缩,左拇指外展,对掌无力,上肢腱反射对称,余无异常神经损害体征。



第1题,共3个问题
(单选题)可能的诊断是( )
A:肘管综合征
B:腕管综合征
C:桡神经麻痹
D:颈椎病
E:胸廓下口综合征

第2题,共3个问题
(单选题)最有利于诊断的检查是( )
A:颈椎平片正侧位
B:颈髓MRI
C:胸部CT
D:肌电图
E:颈动脉B超

第3题,共3个问题
(单选题)根治办法是( )
A:颈椎牵引
B:手术减压
C:局部封闭
D:泼尼松
E:布洛芬
13岁患儿,1年前出现四肢无力、僵硬感,行走呈剪刀样步态,病情逐渐加重。查体:四肢肌力4级、折刀样肌张力增强、腱反射亢进,Babinski征(+),肌容积正常。最可能的病变部位在( )
A:前角
B:皮质脊髓束
C:脊髓小脑束
D:灰质前联合
E:脊髓丘脑束
一眼呈视乳头水肿,另一眼呈视神经萎缩,常因为( )
A:一侧颞叶病变
B:一侧额叶底面的肿瘤
C:视交叉蛛网膜炎
D:颅内压增高
E:眶上裂附近的病变
重症肌无力的发病机理是什么?
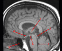
图为大脑正中失状层面,分别标出如图所示1_______________2_______________3_____________4___________5___________6___________________部位。
诊断病毒性脑膜炎惟一可靠的方法是( )
A:PCR检查脑脊液中的病毒
B:有无头痛
C:有无脑膜刺激征
D:血清或脑脊液中病毒抗体滴度的增高
E:病毒分离和组织培养
试述脑桥中央髓鞘溶解症的临床表现、诊断和治疗。
试述蛛网膜下隙出血后导致颅高压的病理机制。
临床疑诊脑出血的首选检查是()。
Horner征
下列疾病中属X性连锁遗传的有( )
A:低钾型周期性瘫痪
B:少年近端型脊髓性肌萎缩症
C:Andersen综合征
D:先天性肌强直
E:假肥大型肌营养不良症
Gerstmann综合征多见于__________病变。
Duchenne型肌营养不良症与Becker假肥大型肌营养不良症共同具有的临床特点为( )
A:性连锁隐性遗传
B:腓肠肌肥大
C:近端肢体无力
D:血清CK增高
E:EMG和肌肉病理呈肌病表现